Editorially independent content, supported with advertising by Astellas
GA Case Compendium: The Optometrist as Advocate for the Patient with Geographic Atrophy
This Case Report is Interactive!
Strengthen your understanding of geographic atrophy by answering the challenge questions below.
Case Presentation
A 77-year-old man presented for a 6-month re-evaluation of age-related macular degeneration (AMD). Since his last visit, he noticed that he was having more difficulty reading fine print in both eyes. His ocular history was remarkable for a diagnosis of AMD for which he was taking AREDS2 supplements, as well as cataract surgery 4 years prior. Medical history was remarkable for hypertension. His medications included azilsartan/chlorthalidone and amlodipine.
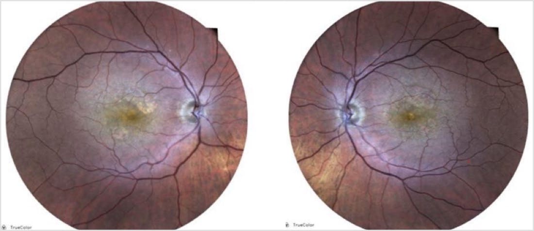
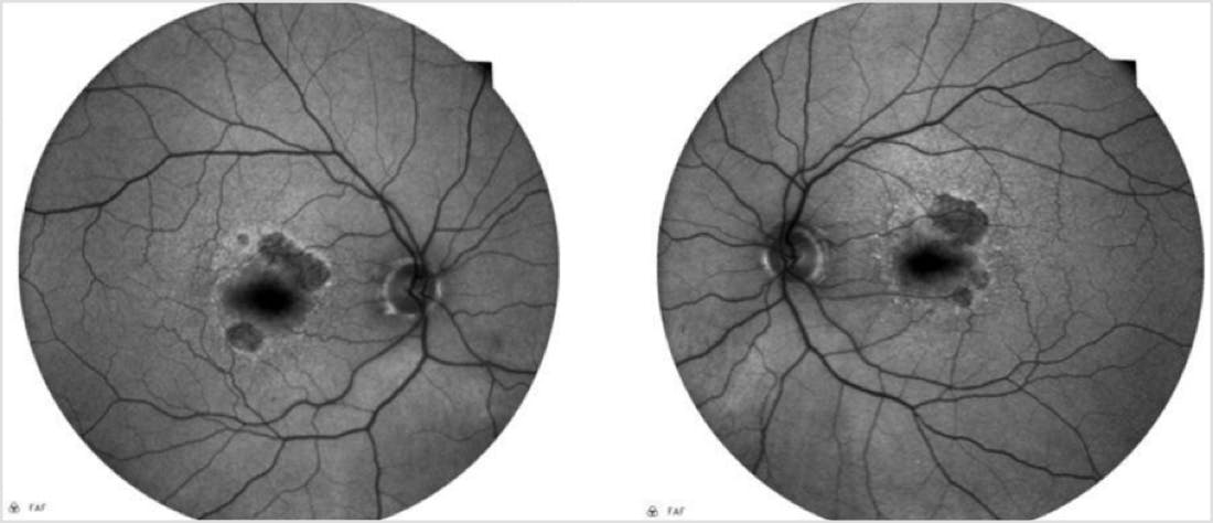
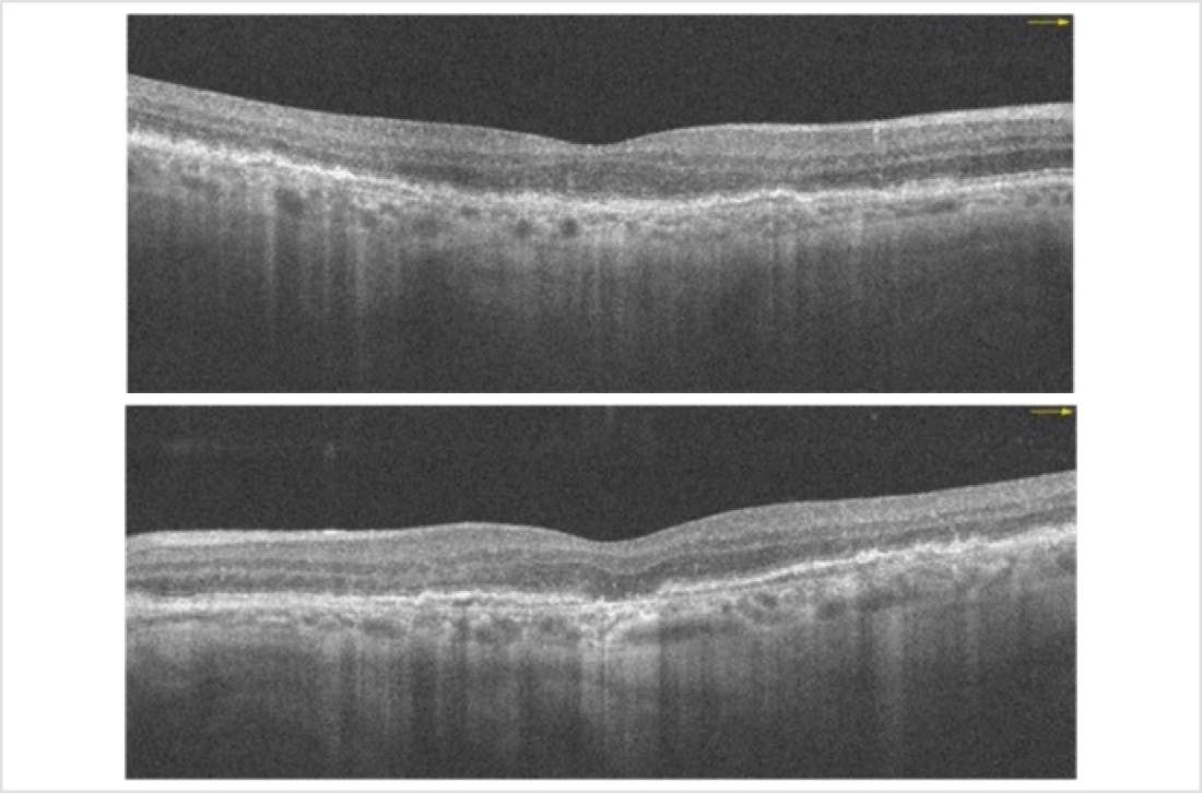
The patient’s BCVA was 20/25 bilaterally. Examination of the anterior segment revealed well centered posterior chamber IOLs with trace posterior capsular fibrosis in both eyes. Ophthalmoscopy revealed medium size drusen, mild RPE changes, and multiple areas of non-central geographic atrophy (GA) in both eyes. Color photography confirmed the clinical findings (Figure 1). Fundus autofluorescence (FAF) demonstrated well demarcated areas of parafoveal hypoautofluorescence consistent with GA. Additionally, these lesions had hyperautofluorescent borders, a known risk factor for progression (Figure 2). Optical coherence tomography (OCT) showed drusen, intraretinal hyperreflective foci, ellipsoid zone attenuation, early choroidal hypertransmission defects, and no evidence of intraretinal or subretinal fluid (Figure 3).



The patient was diagnosed with advanced non-exudative AMD with GA sparing the fovea. The pathogenesis and natural history were discussed in detail. His clinical exam and imaging showed multiple risk factors for GA progression, including multiple non-central lesions with hyperautofluorescent borders on FAF. The risks/benefits of referral for consideration of complement inhibition therapy were discussed. The patient opted for a referral to a retina specialist. A follow-up exam in our clinic at 6 months was also scheduled, knowing that there was some potential for treatment to not be recommended for his GA, as it had been just a few months since FDA-approved treatment was available. In addition, the need to monitor for progression of his posterior capsular opacity was noted.
The patient was seen a few weeks later by a retina specialist. The diagnosis was confirmed. However, complement inhibition therapy was not recommended, with the retina specialist citing risk-benefit ratio and insurance coverage concerns. A follow-up visit wasn’t scheduled, although the guidance to refer back for re-evaluation in the future was given.
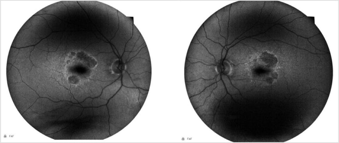
The patient presented back in my clinic approximately 6 months after the initial consultation. He noted persistent symptoms of difficulty with reading and using the computer but denied any significant worsening since the last visit. His BCVA was 20/25 OD and OS. Anterior segment examination revealed well centered posterior chamber IOLs with trace posterior capsular fibrosis in both eyes. His clinical examination was unchanged. Careful review of his retinal imaging revealed progression of the hypoautofluorescent lesions on FAF (Figure 4). OCT revealed worsening choroidal hypertransmission defects OS>OD with no evidence of exudation (Figure 5).


The patient was educated that his GA was showing evidence of progression in both eyes. The patient was agreeable to considering complement inhibition therapy but asked that he be referred to another specialist. This was arranged, in addition to a 6-month F/U in our clinic. The patient was seen a few weeks later by another retina specialist. The diagnosis was confirmed, and the patient was offered the option of complement inhibition therapy for both eyes. The patient elected to proceed with treatment.
Summary/Clinical Take-Home
This case is notable for several reasons. First, it shows the utility of multimodal imaging, and in particular, the use of FAF imaging for monitoring patients with GA. Note that in Figure 1, it is difficult to appreciate the borders of the GA lesion, whereas in Figure 2, clearly evident are hypoautofluorescent areas (indicating areas of already dead retinal pigment epithelium) and hyperautofluorescent areas (indicating areas of potential expansion of the GA lesion). Meanwhile, the OCT image in Figure 3 helped support the diagnosis of GA while also demonstrating key signs of potential progression. With the benefit of serial imaging captured at the follow-up visit (Figure 5), it was possible to detect progression of this patient’s GA despite stable visual acuity and no change on clinical examination.
Second, the patient’s visual acuity remained stable despite signs of progression of the GA on imaging. This is not uncommon in eyes with GA, as there is no known correlation between visual acuity and the prognosis for GA development or progression. Furthermore, currently available treatment options are intended to slow the progression of GA lesions and thereby preserve remaining viable retina tissue. However, there is no evidence that patients can regain vision once it is lost. Taken together, these facts support the need for early diagnosis and recognition of GA before it affects the fovea, with prompt referral to a retina specialist to discuss the viability of treatment.
Finally, with complement inhibition therapy being a new option for GA patients to potentially slow progression of disease, practice patterns are still being developed. Efficacy of treatment, patient expectations regarding treatment outcome, potential adverse events, and variable insurance coverage are just a few of the factors to consider. Not all optometrists and ophthalmologists will be aligned on determining when to offer treatment. It is important that the patient have a trusted eye care provider to help guide them through a rapidly evolving landscape.
ABOUT THIS SERIES
Newly available treatment options for geographic atrophy (GA) have the potential to change the prognosis for long-term eye health. However, their newness also raises important practical questions, including about who should be referred and when. The Geographic Atrophy Clinical Case Compendium was developed, with guidance from Carolyn E. Majcher, OD, FAAO, FORS, and Julie Rodman, OD, MSc, FAAO, to demonstrate real-world patient encounters and the impact of treatment on the clinical course.
Ready to Claim Your Credits?
You have attempts to pass this post-test. Take your time and review carefully before submitting.
Good luck!
Recommended
- Geographic Atrophy Case Compendium
GA Case Compendium: Patient Education, Advanced Technologies, and Timely Referrals Are Crucial in Geographic Atrophy
Sherrol A. Reynolds, OD, FAAO, FNAP, FORSherrol A. Reynolds, OD, FAAO, FNAP, FOR - Geographic Atrophy Case Compendium
GA Case Compendium: Challenges in Patient Education and Treatment Decision-Making for Geographic Atrophy
Roya Attar, OD, MBA, DHARoya Attar, OD, MBA, DHA - Geographic Atrophy Case Compendium
Clinical Case Compendium: A Journey Through Detection, Treatment Initiation, and 2 Years of Active Complement Inhibition
Jessica Haynes, OD, FAAOJessica Haynes, OD, FAAO







