Identifying the Evolving Needs and Expectations of Today’s Patients With Dry Eye
AT A GLANCE
- Customizing your treatment and education approaches lets patients know you acknowledge their individuality.
- Involve your whole office in the dry eye treatment experience; display photos and posters that list symptoms and treatment options and train staff to ask specific, relevant questions.
- Consider alternative treatment options for different daily activities.
We all know that dry eye disease (DED) has many facets. It flares, improves, and changes due to a multitude of systemic and environmental factors. Dry eye is one of the few diseases that can affect a patient’s daily living at onset, even in the early or mild stages. Waking up with sandy, gritty eyes can set a bad tone for the entire day, contact lens discomfort on an evening out can ruin the vibe, and fluctuating vision at work can be frustrating.
Successful treatment is rewarding for practitioners and life-changing for patients, so we don’t want to miss out on this opportunity. If we can improve just one thing a week for our patients, that’s a huge win that can prevent bigger issues down the road. Below are some pearls for managing patients with dry eye.
CHECK-ON ENVIRONMENTAL FACTORS
DED is subject to environmental influence more than any other ocular disease. I use this as an opportunity to get to know my patients better and even be a little nosy, which can be fun. I ask questions about pets, seasonal allergies, work environment, diet, stress, and more. Patients are always thankful to hear that there are ways we can tailor a plan to alleviate the influence that these factors may have on their ocular signs and symptoms.
Not only does every patient with DED have unique environmental influences and needs, but they will also have different aggravating factors and related needs on different days. For example, we may talk about needs and routines related to:
- Days outside doing yard work, swimming, or biking;
- Flying or driving long distances;
- Days of sleeping less or stressing more;
- Long days working on the computer or weekends wearing makeup and hair products; or
- Allergy season or winter days running heaters and dealing with dry skin.
The above are all areas my patients are fascinated to learn about, and they appreciate it when I take the time to explain. Relating their condition and treatment plans to their changing life demands makes them feel special and understood.
ASK ABOUT FAMILY
When we talk about environmental effects, I like to prompt patients to consider dry eye symptoms in their family members. Patients tend to take dry eye more seriously when I inform them dry eye is multifactorial and genetics can play a role. With this information in mind, they begin to recognize potential issues in their parents and siblings.
Patients also appreciate my concern when I remind them that many of our environmental factors are shared with our spouses and children. It is great for both compliance and business, too. For example, providers can suggest that a patient’s spouse follow the same routine so they keep each other accountable. I then offer to have the spouse come in to see me so I can evaluate how they are doing and see what I might be able to do to improve their situation.
INVOLVE THE WHOLE OFFICE
My entire team—from the front desk, optical, technicians, and scribe—really understand DED and the importance of educating patients about it and managing it. I make a concerted effort to do dry eye evaluations, photos, and treatments on all my staff so they can share with patients their firsthand experience. My team is also trained to ask specific questions regarding burning, blurring, watering, crusting, and more. At every visit, my techs ask questions relating to their dry eye and what dry eye routine they are actually following.
In our office, we have screensavers and posters showing photos, listing symptoms, and discussing treatment options. We also use an abridged SPEED questionnaire with some other office questions on erasable sheets handed out by our front desk to every patient. This helps to get patients thinking so they give better answers and are better prepared to receive my treatment plans. We also use this to track progress and help patients conceptualize and appreciate their improvement.
GIVE ROUTINES AND HOMEWORK
Our society is programmed to follow daily maintenance tasks such as brushing our teeth and washing our hair. Although our eyes are vital to life as we know it, there is little to no emphasis on a daily eye routine. I have seen our office make some big progress in encouraging our patients to use preservative-free artificial tears every night. We can make some big changes if we all keep making it a priority.
I have a standard “dry eye homework” printout on which I mark with star areas I want them to focus on. I write in extra notes that we have talked about to personalize the homework for each patient without spending too much time or overwhelming them. My initial homework sheet is more about lifestyle and environmental modifications, such as using moist heat eye compresses (eg, Bruder Moist Heat Eye Compress [Bruder], Optase Moist Heat Eye Mask [Scope]) for 10 to 15 minutes, allergen defense air filters and pillow protectors, “clean” beauty and household products, eyelid hygiene, staying hydrated, following a healthy diet, and taking blink breaks. I also have a “phase 2” dry eye homework printout, which involves in-office treatments, punctal plugs, pharmaceutical product regimens, and more.
If the patient’s treatment requires a lot of unique details, my scribe will type up my plan and print it out so that it is saved in their chart. I always explain to patients that there are so many factors contributing to their ocular issues, and if we don’t do something about them, they will get worse. When we are old and gray together, I don’t want them to have any trouble seeing pictures of their great grandkids, driving to bingo, or watching bad TV.
INDIVIDUALIZE YOUR PATIENT INTERACTIONS AND TREATMENT
Patients want acknowledgement, and they appreciate a proactive approach. Remember, their situation can feel overwhelming for them. Most of my patients will agree with me when I say that my eye exams are more thorough and involved than any other doctor’s appointment they go to. Most comprehensive eye exams address many different ocular needs, including glasses, contact lenses, glaucoma, macular degeneration, ocular surface disease, and more. That’s a lot to pack into just one visit.
When discussing treatment options, it’s also important to read the room. If your patient gives you an overwhelmed, blank stare when you talk about OTC eye drops or a daily homework routine, you may need to change your approach. If this happens, I will instead offer a patient more in-office treatments or pharmaceuticals with a less involved daily routine.
Another way to individualize your approach is to change your verbiage. If DED doesn’t seem pressing to the patient or they deny having issues, then I will use different lingo. Sometimes patients respond better when I use terms such as “ocular surface damage,” “eyelid inflammation,” “ocular rosacea,” “meibomian gland dysfunction,” or rough patches.” It can also be helpful to echo the patient’s own words or concerns. Patients want us to be smart and professional, but also cool and relatable. As doctors, we need what we say to be memorable and to be taken seriously.
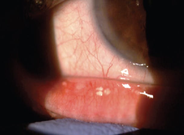
Patients these days also expect to be educated and empowered. Whether they actually ask you or not, many of our patients are likely wondering what is going on with their eyes, what is causing whatever is going on, and what they—or you—can do about it. To help alleviate these concerns, I have my technicians take extraocular photos with the slit lamp to show the patient meibomian gland dysfunction, telangiectasias, band keratopathy, blepharitis, concretions, superficial punctate keratitis, and other findings, to mark improvement or progression (Figures 1-4). Sometimes, I will also take a close-up photo with my tablet or the patient’s own cell phone to show them lissamine green staining on their conjunctiva (Figure 5). These photos are so helpful for patient education and for tracking improvement or showing the need for additional treatments. Noting and explaining tear break-up time to patients and comparing it to previous visits is also a great tool to mark progress, as well as improve patient understanding and compliance.





I prefer to evaluate most of my patients with dry eye every 2 to 4 months. This communicates the urgency of this condition, keeps them compliant, and allows flexibility in scheduling. I also try to discuss some future treatment options and plans specifically for them so they are motivated to be compliant and excited to come back (noting this in charts usually makes the next visit quick and easy).
SHARE YOUR FINDINGS And YOUR KNOWLEDGE
We are well-versed in managing glaucoma and explaining to patients how damage to their eyes can occur in the absence of symptoms. It can be helpful to approach your management of dry eye the same way. Patients are more in tune with preventive care and rely on us to address their individual needs based on our findings and expertise, not just their complaints. Patients expect us to read their minds, understand their routines and demands, give them effective but realistic treatments, and plan for and protect their futures. It may seem like a tall order, but it is fun to be the hero!
Ready to Claim Your Credits?
You have attempts to pass this post-test. Take your time and review carefully before submitting.
Good luck!







