A Clinical Case of Tattoo-Associated Uveitis
AT A GLANCE
- All patients with uveitis should be asked whether they have any tattoos, and all tattoos should be thoroughly examined for any signs of inflammation.
- Coexisting inflammation of the eye and tattooed skin is a hallmark sign of tattoo-associated uveitis, especially if there is no systemic etiology.
- Optometrists can play a critical role in the recognition and management of this rare and potentially vision-threatening form of uveitis.
A 28-year-old White woman presented to our rural clinic for the first time for a routine eye examination. She complained of gradual blurring of spectacle-corrected vision in both eyes over the past 3 months. Upon further questioning, the patient reported having an unremarkable medical history, no systemic conditions, and said she was not taking any medications. She did, however, report that she had a constantly elevated tattoo on her right arm that she had received 8 months before her visit.
CLINICAL FINDINGS
On examination, her BCVA was 20/80 OD and 20/150 OS, with no improvement on pinhole testing. IOP was 14 mm Hg OD and 17 mm Hg OS. Anterior segment evaluation revealed 2+ white blood cells in the anterior chamber in each eye. She had a round reactive right pupil. In the left eye, posterior synechiae at the 2, 4, 8, and 10 clock positions created an irregular “cloverleaf” pupil. The left eye also displayed approximately 20 mutton fat keratic precipitates, accumulated along the inferior corneal endothelium.
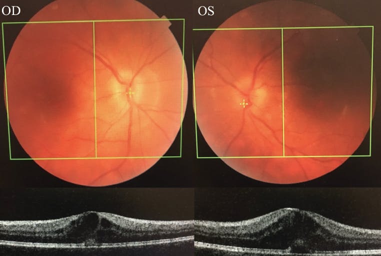
On OCT, she had what appeared to be bilateral optic nerve edema and severe petaloid-pattern cystoid macular edema (CME), for which the left eye was worse than the right (Figure). The patient was comanaged with a local ophthalmologist, who later confirmed the OCT findings with fluorescein angiography. Blood and lab work were also performed, for which results were unremarkable.

TREATMENT AND CURRENT STATUS
The patient was prescribed prednisone 70 mg per day in addition to prednisolone acetate ophthalmic suspension 1% eye drops every hour to both eyes and dexamethasone sodium phosphate ointment at night.
She was seen 2 weeks later for follow-up, at which time she reported that her corrected vision in both eyes had significantly improved, and she could now complete daily activities without issue. The patient also reported that her tattoo elevation had entirely resolved after 2 days on the prednisone.
On examination, BCVA was 20/25 OU, and both anterior chambers were deep and quiet. Her left pupil still had the posterior synechiae cloverleaf. The CME had completely resolved in both eyes. On OCT, her central foveal thickness had decreased from 500 µm to 200 µm, which is near normal. The optic nerve swelling was, however, still present.
The course of therapy was continued for another 2 weeks, after which the patient was examined again. At this second follow-up, the optic nerve swelling appeared to have resolved.
At that time, a diagnosis of tattoo-associated bilateral acute panuveitis was established. The patient was also referred to dermatology to help with the elevated tattoo skin reaction and to rheumatology to help with the autoimmune-like phenomenon caused by the ink in the tattoo.
DISCUSSION
Tattoo-associated uveitis is a rare ophthalmic complication that is incompletely understood. Because it is so rare, longitudinal patient follow-ups are inadequate, making the condition difficult to study. Coexisting inflammation of the eye and tattooed skin is a hallmark sign of tattoo-associated uveitis, especially if there is no systemic etiology. But the link is unclear because it has not yet been determined whether the tattoo is triggering the uveitis or if there is an underlying inflammation manifesting in both the eye and the tattoo.1
Typically, the onset of uveitis develops 6 or more months after tattooing. It is important to note that a tattoo does not need to be adjacent to the eye to cause tattoo-related uveitis. There is typically a temporal association, with the onset of uveitis and the tattoo skin reaction starting within a similar time period.2 This helps the clinician to determine that the connection between skin and eye inflammation is not just coincidental.
Most patients present with complaints of blurred vision, eye pain, redness, and photophobia bilaterally. The ocular inflammation these patients experience puts them at risk for severe vision-limiting complications. The inflammation can be limited to the anterior uvea, with signs of conjunctival chemosis, inflammatory cells in the anterior chamber, posterior synechiae, hypopyon, and keratic precipitates. Involvement of the posterior uvea can present with vitreous inflammation, retinal hemorrhage, CME, optic disc involvement, and retinal vasculitis.2
Clinical studies have suggested that the inflammatory response in these cases can resemble sarcoidosis or may represent a delayed hypersensitivity reaction. If the cause is a delayed hypersensitivity reaction, it remains unclear whether this is due to a dye contaminant, heavy metals, or other organic compounds that constitute the ink. The cause is difficult to determine because tattoo ink composition is largely unregulated.3
All patients with uveitis should be asked whether they have any tattoos, and all tattoos should be thoroughly examined for signs of inflammation. To rule out infectious causes, patients should be asked about any history of tuberculosis or sexually transmitted diseases and should undergo testing for sarcoidosis.
Clinical studies suggest that tattoo-associated uveitis results in chronic inflammation, in which case immunosuppression may be needed to prevent blinding complications and multiple ocular comorbidities, including glaucoma, macular edema, and retinal involvement. Management options include local steroids, systemic prednisone, and excision of tattooed skin.
Mild or moderate ocular inflammation should initially be managed with topical steroids and topical cycloplegics to prevent formation of synechiae. Oral steroids are generally reserved for patients who do not respond to topical steroids and patients with severe uveitis, neovascularization, or optic nerve compromise.
If you’re not comfortable managing patients with aggressive immunosuppressive therapy, you should immediately refer the patient to a uveitis specialist. If you’re unsure about the diagnosis but suspect that uveitis might be linked to tattoos, consider referring the patient to a dermatologist for a full body exam.4
Patients should also be advised to avoid getting additional tattoos, as this may worsen their uveitis. Some data suggest that excising tattoos may alleviate the uveitis; however, most patients with this condition have multiple tattoos, and removing them is simply not practical. If a patient wants a tattoo removed, it may be prudent to tell him or her that the removal procedure can disperse the ink into the body; thus, if the ink is the inflaming factor, dispersing it may actually make the uveitis worse.5
Ready to Claim Your Credits?
You have attempts to pass this post-test. Take your time and review carefully before submitting.
Good luck!







