MEK Inhibitors and the Eye
Dysregulation of the mitogen-activated protein kinase (MAPK) pathway found in certain cancers, including ocular cancers, such as uveal melanoma, has become a target for treatment by our oncology colleagues.1 MEK is a component of the MAPK pathway, and MEK inhibitors, such as selumetinib, have been proven successful in prolonging the survival of patients with cancer.
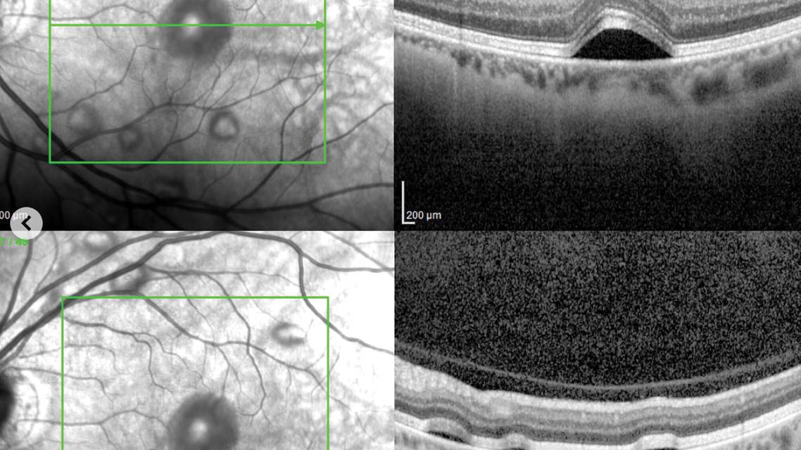
However, use of MEK inhibitors may lead to ocular side effects, including self-limited, multifocal, serous-like retinal detachment.1 This side effect has previously been described as a variation of a multifocal serous chorioretinopathy, but has since been more accurately named MEK inhibitor-associated retinopathy (MEKAR).1 As retina specialists continue to explore MEKAR and its similarities to central serous chorioretinopathy, it is becoming clear that these are two distinct pathologies. MEKAR is predominantly bilateral and multifocal, with fluid accumulating in nongravitational, rounded globules without fluid tracking or guttering (Figure).1

INCIDENCE AND SYMPTOMS OF MEKAR
MEKAR can be seen in up to 90% of patients on MEK inhibitors; in one study by Francis et al, 92% of participants had simultaneous bilateral fluid foci, and 77% had multifocal foci with a median number of six foci per eye.1 This large study increased the suspected incidence of MEKAR, and although many patients were asymptomatic, these findings should raise our awareness of this drug-associated ocular pathology.
The symptoms of MEKAR are similar to those reported in patients with central serous chorioretinopathy. Interestingly, only 48% of patients in the study reported visual symptoms, the most common being blurry vision, although 83% of eyes had fluid foci involving the fovea.1 Other symptoms include metamorphopsia, seeing a bubble or “doughnut” shape, and the sensation of an “orange glow” around objects.1 MEKAR was also found to have a mild effect on visual acuity, although no eye lost more than 2 lines of Snellen VA.1 Because MEK inhibitors are typically life-extending medications, they are rarely discontinued, but screening for this possible side effect is critical to help patients make educated decisions about their care.
Ready to Claim Your Credits?
You have attempts to pass this post-test. Take your time and review carefully before submitting.
Good luck!







