Meningioma Masquerader
Compression of the optic chiasm mimics pituitary adenoma in this case.
A 50-year-old woman presented as a new patient to our clinic with a chief complaint of difficulty with her peripheral vision in both eyes. The problem had started about 2 to 3 years prior and had progressed over time without pain. She reported no trauma or previous neuroimaging. Her medical history was significant for major depressive disorder, anxiety disorder, bipolar disorder, alcoholism, and mitral valve prolapse. The patient’s current drug regimen included atenolol and clonazepam. She did not have any drug allergies. Her social history was unremarkable, and she reported 18 months of sobriety.

EXAMINATION FINDINGS
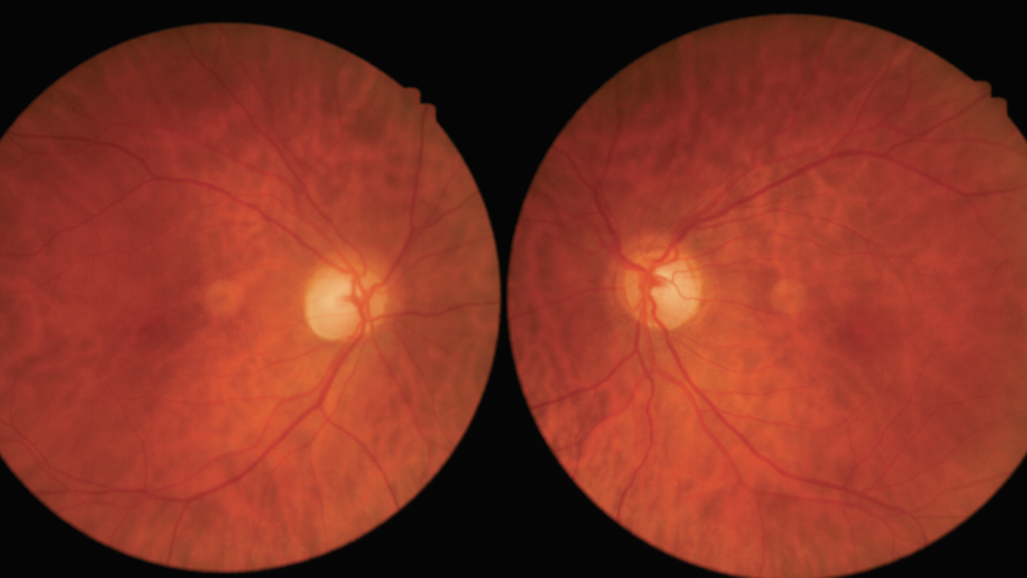
Her BCVA was 20/60 OD and 20/50 OS. Her pupils were round, equal, mildly reactive to light, and without a relative afferent pupillary defect. Extraocular motilities were full in each eye without diplopia. Confrontation visual field testing showed temporal depressions bilaterally. An anterior segment examination was otherwise unremarkable. Her IOP was 12 mm Hg OD and 14 mm Hg OS. A dilated fundus examination revealed pale optic nerves consistent with bilateral optic atrophy (Figure 1). Subsequent OCT and threshold visual field testing confirmed retinal nerve fiber layer (RNFL) and ganglion cell layer (GCL) loss in each eye (Figure 2) and bitemporal visual field defects (Figure 3).

The patient was urgently referred to a neurosurgeon, who ordered neuroimaging and scheduled the patient for a neurosurgical consultation a few days later. MRI confirmed compression of the patient’s optic chiasm by meningioma rather than presumed pituitary adenoma (Figure 4). She underwent successful meningioma resection 1 week later but was lost to follow-up.

DISCUSSION
The optic chiasm is situated superior to the pituitary gland and the tuberculum sellae of the sphenoid bone along the midline of the brain structures.1 It is composed of specific patterns of retinal nerve fiber axons as they pass through the optic chiasm en route to synapses in the lateral geniculate nuclei.1 Nasal retinal nerve fibers of each eye (53%) cross in the optic chiasm, whereas the remaining 47% of the temporal retinal nerve fibers stay ipsilateral in the optic chiasm.1 Compression of predominantly the nasal-crossing fibers in the optic chiasm results in the classically described bitemporal hemianopia, as in this case.1,2 Given the proximity of the optic chiasm to the pituitary gland and surrounding structures, compression of the chiasm can occur with several pathologies, causing visual loss and/or visual field loss.1,3 However, other visual signs and symptoms such as headache, nystagmus, diplopia from cranial nerve involvement, photophobia, and optic atrophy can also occur.1,3 The most common cause of optic chiasm compression is pituitary adenoma.3,4 Pituitary adenomas occur in approximately 50% to 63% of pituitary mass lesions, followed by a Rathke cleft cyst (21%), craniopharyngioma (10%–25%), meningioma (6%–10%), and glioma (7%).3,4

Visual field loss with optic chiasm lesions can range from monocular, junctional, homonymous to heteronymous (ie, bitemporal) scotomas.2,3 These patterns of visual field loss depend on the overall shape and size of the tumor as well as the patient’s individual optic chiasm anatomy in relationship to the underlying pituitary gland location (ie, prefixed, central, and postfixed optic chiasms).1,2
OCT has the potential to identify some of the earliest optic atrophy signs from retrograde degeneration in cases of optic chiasm compression.5-7 OCT RNFL loss has been shown to be highly correlated with the presence of visual field defects in optic chiasm compression and other optic neuropathies.6,7 In our experience, OCT may also identify optic chiasm compression before visual field defects are identifiable on standard automated visual field testing in some cases. It therefore seems advisable to use all available tools to make the correct diagnosis and monitor patients closely once the correct diagnosis has been made. We strongly recommend using OCT RNFL and GCL analyses in conjunction with automated visual field testing in all patients suspected of having optic chiasm lesions.

GCL analysis aids comparison of nasal to temporal GCL loss, where the GCL loss respects the vertical meridian.7 Respecting the vertical meridian can be one of the earliest indicators of optic chiasm compression and should raise suspicion of neurological causes of optic atrophy.7 We call this the vertical cut in our clinic to denote that GCL loss is greater nasally than temporally and have used this finding during several other patient encounters to help diagnose pituitary and optic chiasm lesions before the visual field defects became evident (Figures 5 and 6). We recommend looking for this finding anytime a GCL analysis is performed in clinical situations.

BE ON THE LOOKOUT
This case serves as a reminder that, although pituitary adenomas are the most common cause of optic chiasm compression, they are not the only cause.3,4 A timely investigation with neuroimaging is important to ascertain the true underlying cause of suspected optic chiasm compression. This patient’s large meningioma was the culprit rather than the presumed pituitary adenoma we expected. Timely recognition of optic chiasm compression with visual field testing and OCT, along with a referral for a neurosurgical consultation, is critical. We recommend that all eye care providers become familiar with their local neurosurgeons to ensure timely referrals when indicated in situations similar to ours. Should this patient return for follow-up care in the future, we believe she would be an excellent candidate for a low vision evaluation.
Ready to Claim Your Credits?
You have attempts to pass this post-test. Take your time and review carefully before submitting.
Good luck!







