Is it Glaucoma? Perimetry Cracked the Case
Advanced imaging can be very useful, but don’t neglect this tried-and-true diagnostic tool when differentiating nonglaucomatous etiologies.
AT A GLANCE
- Standard automated perimetry (SAP) revealed repeatable superior nasal defects that respect the vertical midline to create a right superonasal quandrantanopia defect of the left eye—a finding that is highly suspicious for neurological disease versus glaucoma.
- In cases of Pallister Hall Syndrome, surgical removal of the hamartoma is generally not indicated, as it is a malformation versus a malignancy.
- While spectral domain OCT can offer significant advantages, this case highlights the clinical value of using all available testing measures, including SAP, when deciphering glaucoma from nonglaucomatous etiologies.
A 53-year-old White woman presented as an emergency with complaints of flashes and floaters in her right eye for 1 day. She reported no pain, diplopia, curtain/veil effect, or loss of vision, nor did she experience significant visual changes or blurred vision. Her remarkable history included knee surgery, deviated septum repair, and surgery for polydactyly at 3 years of age. Her BCVA was 20/25 OU. Entrance testing of her pupils, extraocular movement, confrontation visual fields (CVF), and convergence testing were normal. Her IOP was notably elevated to 24 mm Hg OD and 26 mm Hg OS. Her corresponding central corneal thickness was 496 μm OD and 498 μm OS.
DIAGNOSTICS AND IMAGING
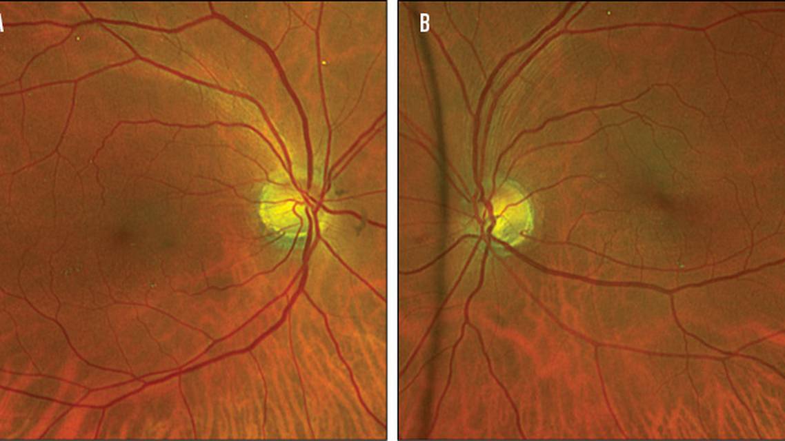
Slit-lamp examination revealed all normal findings, apart from +1 nuclear sclerosis OU. Dilated fundus examination was performed. On fundus imaging, her right eye presented with an acute posterior vitreous detachment (PVD), increased optic disc cupping (0.60 v) with inferior thinning of the neuroretinal rim (NRR), peripapillary atrophy inferiorly, and possible inferior retinal nerve fiber layer (RNFL) thinning (Figure 1A). Her left eye demonstrated significantly increased optic disc cupping (0.80 v) with definitive inferior notching of the NRR and RNFL thinning inferiorly (Figure 1B). No retinal breaks or tears in either eye were noted with binocular indirect ophthalmoscopy. The patient was provided with appropriate instructions, and a follow-up examination was scheduled with orders for additional testing.

ONGOING MANAGEMENT
At the next visit, examination demonstrated cessation of previous flashes with notable persistent floaters OD. IOP measured 23 mm Hg OD and 26 mm Hg OS. Gonioscopy revealed open angles (open to the scleral spur 360° OU) with minimal pigment; no peripheral anterior synechiae or neovascularization was noted. Spectral domain OCT (SD-OCT) showed mild inferior NRR thinning OD with possible RNFL thinning at the 7 to 9 clock region OD and markedly increased inferior notching of the NRR OS with significant RNFL loss noted inferiorly, temporally, and superiorly (Figure 2).

Based on these findings, topical IOP-lowering medication (latanoprost ophthalmic solution 0.005% once daily at nighttime in each eye) was initiated, and orders for standard automated perimetry (SAP) and repeat IOP measurement were placed.
With no other data besides the elevated IOP and optic nerve appearance, the working diagnosis at this stage was glaucoma.
At the next follow-up evaluation, the patient’s IOP had significantly reduced to 15 mm Hg OD and 16 mm Hg OS, well below the set target IOP of 19 mm Hg OU. Baseline SAP data of the left eye demonstrated reliable results with notable dense superior nasal region defects and a possible small early inferior nasal step (Figure 3), but her right eye presented with poor reliability due to a high level of false positive data (19%), nullifying the results. In subsequent visits, repeat SAP testing and SD-OCT scans were ordered. Repeat SD-OCT imaging with comparable signal strength and quality demonstrated no definitive progression. The fourth repeated SAP test ultimately demonstrated improved reliability with isolated, mildly reduced test points superiorly OD (Figure 4).


THE CULPRIT: PALLISTER HALL SYNDROME
Clinical data garnered throughout this case, particularly SAP, necessitated neuroimaging that may not have been ordered otherwise. In glaucomatous disease, visual acuity deficits will eventually connect between the optic disc blind spot and a deepening nasal step defect to delineate an arcuate defect. Instead, SAP in this case revealed repeatable right superior quadrantanopia defects that respect the vertical midline in the superonasal region of the left eye—a finding that is highly suspicious for neurological disease versus glaucoma.
Somewhat perplexing, however, was that the defect presented as monocular, rather than as bilateral right superior quadrantanopia (conveying left temporal lobe damage) or even as the exceptionally rare binasal defect. Nonetheless, MRI of the brain and orbits was ordered to investigate further for nonglaucomatous etiologies. Predictably, neuropathology was detected in the only location expected to produce the visual defects this patient experienced: a hypothalamic hamartoma compressing her left optic nerve within the chiasmal space (Figure 5). Hypothalamic hamartomas often have associated systemic findings, as were documented in this case, and a subsequent diagnosis of Pallister Hall Syndrome (PHS) was assigned after consultation and examination with Neurology.

PHS tends to affect men and women equally with the range and severity of associated symptoms varying greatly.1 Infants with PHS who have decreased or absent pituitary function (ie, hypopituitarism) must be treated immediately with hormone replacement therapy (ie, thyroxine and hydrocortisone) to help resolve the associated hypoglycemia, abnormal electrolyte levels, and metabolic acidosis.2
The seizures or hormone abnormalities of PHS can be life-threatening in infancy, causing malformations of the airway (ie, bifid epiglottis), obstruction of the anal opening (ie, imperforate anus), kidney abnormalities, and polydactyly and cutaneous syndactyly (ie, skin fused between fingers and toes).3 However, only a small percentage of affected people experience serious complications. Surgical removal of the hamartoma is generally not indicated, as it is a malformation rather than a malignancy. In this case, the patient remains on IOP-lowering medication, as there is preexisting ocular hypertension, and thinned pachymetry and RNFL damage, albeit from compressive causes.
NEWER ISN’T ALWAYS BETTER
While advances such as SD-OCT can offer significant advantages for earlier recognition of structural optic disc changes, as well as the detection of progressive loss of the ganglion cell complex and RNFL, this case highlights the clinical value of using all available testing measures, including SAP, when deciphering glaucoma from nonglaucomatous etiologies.
Ready to Claim Your Credits?
You have attempts to pass this post-test. Take your time and review carefully before submitting.
Good luck!
Recommended
- Glaucoma
The Brain-Eye Axis: Understanding Neurodegenerative Overlaps
Jacqueline Theis, OD, FAAO, FNAPJacqueline Theis, OD, FAAO, FNAP







