Ethambutol Toxic Optic Neuropathy
AT A GLANCE
- Ethambutol is a proven treatment for the symptoms of tuberculosis but carries the known risk of causing optic neuropathy.
- Timing of ethambutol optic neuropathy symptom onset is difficult to predict, but typically presents between 2 and 4 months after starting treatment.
- Carefully review your patients’ medication lists at each office visit and reinforce the importance of including every drug they take, no matter how harmless they seem.
Ethambutol is an antibacterial medication primarily used to treat tuberculosis. Despite being well-proven to treat the symptoms of this disease, ethambutol carries the known risk of causing optic neuropathy. The patient case below highlights the classic presentation of painless, profound vision loss secondary to ethambutol use.
THE CASE
A 61-year-old woman presented for her annual comprehensive eye examination with no new complaints. Her past ocular history included monovision Epi-LASIK refractive surgery in 2008 with her right eye set for distance vision and her left eye set for near vision. The patient also had a history of normal tension-glaucoma (NTG) in the left eye and cataracts, posterior vitreous detachment, and lattice degeneration in each eye. She was taking latanoprost ophthalmic solution 0.005% (Xalatan, Viatris) in the left eye every night and had a new medical diagnosis of mycobacterium avium complex (MAC) lung disease, for which she had started taking an oral antibacterial combination of azithromycin 250 mg, ethambutol 400 mg, and rifampin (Rifadin, Sanofi-Aventis) 300 mg daily 2 months earlier. The patient reported that her pulmonologist planned to keep her on the oral triad of medications for 12 to 18 months.
My examination confirmed her NTG with asymmetric optic nerve cupping OS > OD with superior nerve thinning OS. Her formal visual field showed a long-standing inferior nasal defect OS, consistent with NTG. All other findings were initially unchanged with uncorrected distance visual acuities (UCDVA) of 20/25 OD and 20/30 OS. Baseline color vision was 12/12 with Ishihara plates OU. The patient was asked to return monthly for ethambutol optic neuropathy screenings.
CHANGES EMERGE
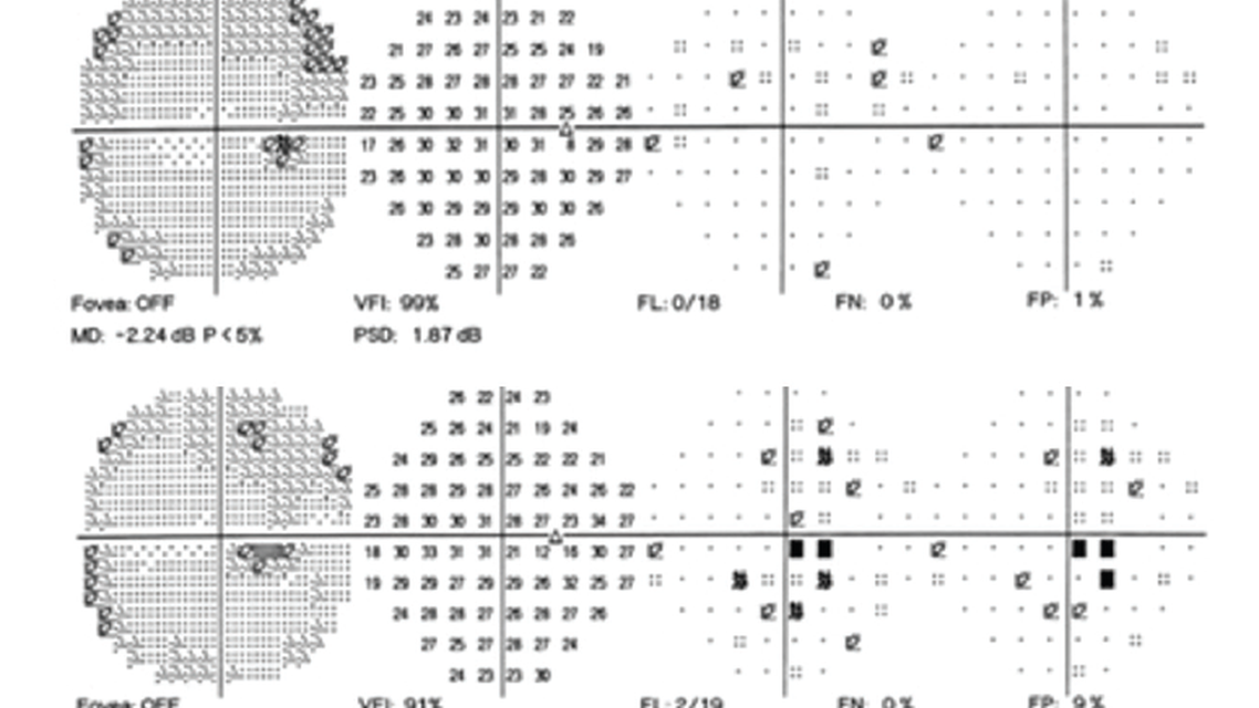
At the patient’s 6-month ethambutol optic neuropathy screening, 8 months into ethambutol treatment, she reported a chief complaint of blurred vision OU, which she described as a significant change in both her uncorrected distance and near vision for the past week. Her uncorrected distance acuities were reduced to 20/100 OD and 20/80 OS. A manifest refraction provided no improvement in visual acuity. Pupils were equal, round, and reactive to light without evidence of an afferent pupillary defect. Extraocular movements were full without restriction, and her dilated examination was consistent with baseline findings. There was no evidence of optic disc edema or pallor. Her 30-2 SITA Standard visual field test showed a new paracentral defect OD and an inferior arcuate defect OS showing progression from the longstanding inferior nasal defect (Figures 1 and 2). Color vision had declined to 3/12 OU. Together, these findings strongly suggested ethambutol toxic optic neuropathy. I contacted the patient’s pulmonologist, and we mutually decided that the patient should immediately discontinue taking ethambutol.


I received correspondence from the pulmonologist shortly after the patient stopped taking the ethambutol. Her respiratory status was stable and she was instructed to continue the azithromycin and rifampin. One month later, the pulmonologist added doxycycline to complete the suggested triad of medications and to decrease drug resistance. The patient’s follow-up appointments after her diagnosis of ethambutol toxic optic neuropathy were shared between our office and the neuro-ophthalmologist.
FOLLOW-UP CARE
One month after discontinuing ethambutol, the patient reported no improvement in her blurred vision. Her UCDVA further declined to 20/200 OU. A manifest refraction provided no improvement in visual acuity. Pupils were equal, round, and reactive to light without evidence of an afferent pupillary defect. Extraocular movements were full without restriction, and her dilated examination was consistent with baseline findings without evidence of optic disc edema or pallor. Her 30-2 SITA Standard visual field test showed a slight worsening of the defect OU and her color vision remained unchanged.
Three months after discontinuing ethambutol, the patient had a remarkable improvement in her vision. Her UCDVA improved to 20/30 OD and 20/25 OS and her pupils were equal, round, and reactive to light without evidence of an afferent pupillary defect. Extraocular movements were full without restriction, and her dilated examination remained unchanged. Her 30-2 SITA Standard visual field had reduced reliability due to false positive errors, but essentially showed a normal field OD and her baseline inferior nasal defect OS. Color vision improved to 12/12 OU.
MAKING CORRELATIONS
MAC is a noncontagious, nontuberculosis group of bacteria that can lead to lung disease.1 Although MAC is not the same as tuberculosis, the two share similar treatments, including ethambutol. The antibacterial treats tuberculosis and MAC by inhibiting cell wall synthesis.2 Ethambutol is typically prescribed with a group of other drugs rather than being a standalone agent. Adult dosing is available in 100 mg and 400 mg tablets.
Ethambutol toxic optic neuropathy is reported in 1% to 2% of individuals treated with the drug.3 The risk of optic neuropathy is dose-dependent. Those taking ≤ 15 mg/kg per day have a < 1% risk, those taking 25 mg/kg per day have a 5% to 6% risk, and those taking > 35 mg/kg per day have an approximately 18% risk of developing ethambutol toxic optic neuropathy.4 The optic neuropathy is most commonly identified as retrobulbar optic neuritis, as it affects the axial fibers, periaxial fibers, and sometimes a combination of both. The hallmark presentation of retrobulbar optic neuritis is a normal optic nerve appearance with decline in visual function, as evidenced by the patient case presented here. Other recognized mechanisms of ethambutol toxic optic neuropathy are mitochondrial dysfunction and metal chelating effects on the retinal ganglion cells. Despite these proposed mechanisms, the exact mechanism remains unidentified.3,5
Some risk factors for ethambutol toxicity include renal disease, age, long duration of use, high daily dosages, and preexisting cardiovascular disease. Timing of symptom onset is difficult to predict, but typically presents between 2 and 4 months after starting ethambutol.4 Painless decreased central vision is usually a presenting symptom of toxicity. Afferent pupillary defect is generally unexpected due to the bilateral nature of the neuropathy. Bitemporal or central scotomas are the expected visual field defects. Both blue-yellow and red-green dyschromatopsia have been reported. The normal optic nerve appearance is classic, but pallor may be visible in more chronic cases as vision loss progresses.3
Once toxicity is identified, the only treatment available is to stop the drug. As evidenced in this case, visual decline can progress even with discontinuation. Optic nerve pallor as a result of ethambutol toxic optic neuropathy confirms a poor prognosis. Although some individuals experience permanent visual deficits, 30% to 64% of affected patients will have improvement in their visual function with immediate discontinuation of ethambutol. Those who improve show an average of 2 lines of vision on the Snellen chart.3 Some patients make a full visual recovery within a few months.
MONITORING ADVICE
I recommend obtaining a baseline dilated examination before a patient begins taking ethambutol to rule out other potential causes of progressive vision loss. Plan to monitor the patient monthly after they start ethambutol. Each examination should include visual acuity, Amsler grid testing, color vision, a formal visual field, and a dilated examination. I also obtain optic nerve photographs for comparative purposes to look for potential development of optic nerve pallor that may be difficult to detect at the slit lamp.
DUE DILIGENCE
Take time to carefully review your patient’s medical history and medication list at every office visit. Some patients may not know that they should bring drugs such as ethambutol to your attention. Missing ethambutol toxic optic neuropathy could be catastrophic to a patient’s quality of life. Identifying it can result in prompt drug discontinuation and a potential return of normal visual function.
Ready to Claim Your Credits?
You have attempts to pass this post-test. Take your time and review carefully before submitting.
Good luck!







