Beyond the Diopter: Myopia’s Mark on the Retina and Choroid
Watch out for posterior segment complications in this patient population.
AT A GLANCE
- Increases in myopia severity cause certain mechanical and vascular stresses to be placed on the posterior segment, which can intensify or contribute to various structural complications.
- Patients with low myopia are clinically at low risk of serious complications, whereas those with moderate myopia typically present with changes in both the structure and vasculature of the retina and choroid, and those with high myopia are at a significantly higher risk of serious degenerative and tractional complications in the retina and choroid.
- Because choroidal thinning is not just a consequence, but also a predictor of myopia progression, it may be helpful to routinely monitor axial length and perform scans and fundus photography on moderate and high myopes.
Myopia affects 30% of the global population and is predicted to reach nearly 50% by 2050.1,2 As the severity of myopia increases, certain mechanical and vascular stresses are placed on the posterior segment, which can intensify or contribute to various structural complications. While it may seem convenient and natural to use spherical equivalent as the standard clinical metric for judging myopia severity, it can also be helpful to evaluate axial length, which offers a more direct understanding of structural risk. After all, just a 1-mm increase in axial length increases myopia by 3.00 D.3 This article reviews the changes that occur in the retina and choroid with varying levels of myopia and offers insights on risk stratification and early intervention.
LOW MYOPIA
In low myopia (-3.00 D or better, 24.5 mm to 25 mm), fundus appearance is typically similar to an emmetrope or low hyperope, but subtle changes can be observed. Early signs include mild tessellation (Figure 1), which reflects thinning of the choroid and increased visibility of the choroidal vasculature beneath the retina.4 Occasionally, benign peripheral retinal findings or lattice may be seen. Foveal contour and retinal thickness are typically intact and within normal limits. Choroidal thickness remains relatively well-preserved at 250 µm to 300 µm.5 Clinically, these patients are at a low risk of serious complications; however, documenting axial length and obtaining baseline imaging is recommended to track progression and enable future comparisons.

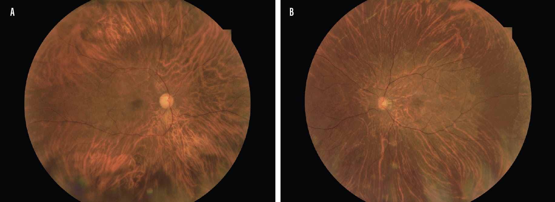
MODERATE MYOPIA
Moderate myopia (-3.25 D to -6.00 D, 25 mm to 26.5 mm) typically presents with changes in the structure and vasculature of the retina and choroid compared with low myopia. For example, there may be more fundus tessellation, lattice degeneration, pavingstone degeneration (aka cobblestone degeneration), vitreoretinal traction, pigmentary changes, and peripheral tears (Figure 2). While the fovea usually remains intact, perifoveal and parafoveal thinning of the retina can occur, resulting in reduced capillary density and blood flow to these regions. Choroidal thickness often drops to less than 200 µm, which has been linked to both reduced choroidal blood flow and a higher risk of scleral remodeling.5

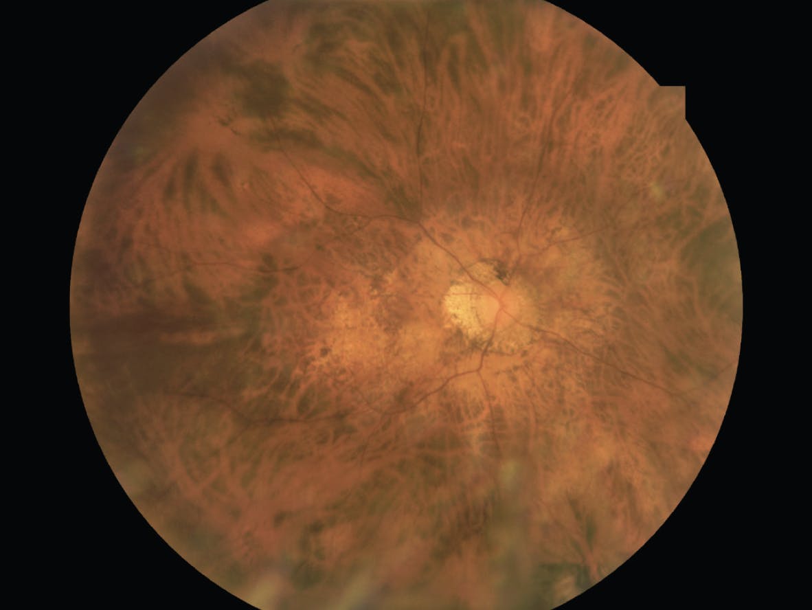
HIGH MYOPIA
Patients with high myopia (-6.00 D or worse, > 26.5 mm) are significantly more vulnerable to serious degenerative and tractional complications in the retina and choroid (Figure 3).6 Most patients at this stage develop a posterior staphyloma, which is a key indicator of long axial length and a weakened sclera. OCT findings often include retinoschisis, myopic foveoschisis, paravascular microfolds, and internal limiting membrane traction. Retinal breaks occur with greater frequency, including atrophic holes, tears from early posterior vitreous degeneration, operculated tears, and other complications. Choroidal thickness at this stage often drops to less than 150 µm, diminishing support and perfusion to the outer retina.5,7 The myoid and ellipsoid zones within the photoreceptor layer become compromised due to mechanical stretch and ischemia.8

Patients with high myopia are managed with regular imaging and axial length tracking. Refer to an ophthalmologist if macular or peripheral retinal complications arise.
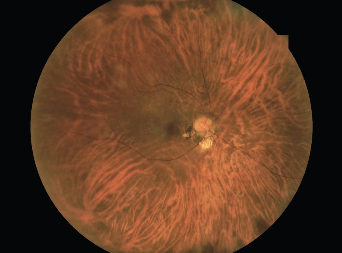
PATHOLOGICAL MYOPIA
Pathological myopia is the name for myopia so severe there is a reduction in BCVA due to structural changes in the macula, rather than refractive error alone (typically > 28 mm). Although it is almost always seen in eyes with high myopia, its complications—especially posterior staphyloma (Figure 4)—can occur in eyes with moderate myopia.9 Other prominent characteristics include diffuse and patchy chorioretinal atrophy, lacquer cracks, Fuch spots, myopic macular holes, myopic maculopathy, and choroidal neovascular membranes.8,9 Retinal holes and tears occur in one of 15 patients, and retinal detachments occur in one in 20.10

OCT may reveal disruption of the outer retina, including loss of the ellipsoid and myoid zones and signs of photoreceptor damage. The choroidal thickness in these patients is often severely thin (≤100 µm), which leads to significantly impaired perfusion and loss of retinal integrity.11 Thus, these patients require close monitoring and may benefit from multimodal imaging such as OCT angiography and autofluorescence. The meta-analysis of pathologic myopia classification system defines these changes into five categories (Table).8

MECHANISMS OF DAMAGE
The eye’s ability to detect hyperopic and myopic defocus rapidly shifts choroidal thickness and triggers downstream signals affecting scleral remodeling,12 which is the initiating event in the progression of high myopia. The choroid and retina are affected next, following an outward-to-inward cascade. Recent studies show that choroidal thinning is not just a consequence, but also a predictor of myopia progression.9,13 As a result of improper vascularization and hypoxia, myopia accelerates, and nutrient delivery to the photoreceptors declines, damaging the outer segments, and ultimately, impairing visual function.
From the literature, it is clear that choroidal thickness is a sensitive early biomarker.9,13 In the clinic, it may be helpful to routinely monitor axial length—even in low myopes—and perform scans and fundus photography on moderate and high myopes. It is critical to educate high-risk patients about the symptoms of retinal detachment and vitreoretinal traction and the importance of early intervention.
BENEATH THE BLUR
As the prevalence of myopia increases worldwide, the structural consequences on the retina and choroid demand increased attention, especially for patients who progress beyond moderate levels. Remember that posterior segment changes, from subtle choroidal thinning to retinal degeneration and staphyloma formation, are not simply incidental findings, but key indicators of disease progression and visual prognosis. Recognizing the specific anatomic shifts that occur at each stage of myopia can help you stratify risk, personalize follow-up intervals, and preserve the long-term retinal health of your patients with this type of refractive error.
Ready to Claim Your Credits?
You have attempts to pass this post-test. Take your time and review carefully before submitting.
Good luck!







