Commotio Retinae in a Teenager
Commotio retinae (CR) is a self-limited transient opacification of the retina secondary to direct blunt ocular trauma. The most common causes of CR are assault, falls, and occupational, exercise-related, and sports injuries.1-5 CR occurs in an estimated 9.4% of all ocular trauma cases.1,6-8
Affected patients may experience other concurrent trauma-related complications such as subretinal fluid (14%), a choroidal rupture (4%), a subretinal hemorrhage (6%), a vitreous hemorrhage (4%), a blowout fracture (33%), and, most commonly, traumatic iritis (82%).2
CR has been shown to be related to photoreceptor damage of the outer segment. The retinal pigment epithelium may be included as well.1,2,6,9 When confined to the macula and other retinal areas in the posterior pole, CR is referred to as Berlin edema.3,4,10,11 In a small case series, women were more likely than men to experience macula-involved CR.1
DIAGNOSIS
On average, patients presenting with CR are 24 to 43 years of age, and the majority are male (72-79% of cases).1,2,5,7,10
OCT imaging has revealed no increase in retinal thickness suggestive of edema, thereby resolving the debate over whether CR is retinal edema or a disruption of the photoreceptors.1,3 The mechanism of photoreceptor damage is believed to be mechanical in nature. Blunt trauma transmits a concussive force to the photoreceptors, making the disruption clinically visible.2,7,9
OCT scans of CR typically show hyperreflectivity of the involved retinal tissues, the junction of the photoreceptor outer segment, and the retinal pigment epithelium.1,2,6,9,10,12 Because spectral-domain OCT provides superior resolution of retinal tissue, this modality is better than time-domain OCT for imaging the hyperreflectivity.1,2,10
AREAS OF CURRENT RESEARCH
The Potential Role of OCT Angiography
A small number of studies using OCT angiography have demonstrated a change in the macular capillary plexus in CR eyes compared with the uninvolved contralateral eyes.13,14 A recent case report, however, indicated that OCT angiography might also be a useful modality for evaluating peripheral CR.8 Further research on the technology’s clinical utility is required.
The Effects of CR
A retrospective study analyzed alterations in choroidal structure in 51 eyes with CR. The central choroid was found to be significantly less thick in the injured versus the healthy contralateral eye in 70% of cases.15 Another study suggested rods may be more involved in and susceptible to CR than cones.11 Further research is required to examine these findings.
MANAGEMENT
Observation is appropriate for most patients with CR. Clinical symptoms typically resolve without treatment in approximately 1 month, and most affected individuals regain their baseline visual acuity.3,7,9,10 Approximately 92% of patients of CR had a final UCVA of 20/40 or better 6 months after trauma.9
CASE EXAMPLE
A 13-year-old girl presented with a painful right eye secondary to trauma. She had been hit in the eye by a door 24 hours earlier. The patient ranked the severity of her ocular pain as an eight on a scale of zerio to 10 and reported significant photophobia since the injury had occurred.
Her ocular history was unremarkable. Her medical history was positive for mild season allergies that were well-controlled with OTC cetirizine administered as needed. The patient reported no drug allergies.
Upon examination, the pupils were equal in size, round, reactive to light, and without an afferent pupil defect. Confrontation visual field testing in both eyes was full to finger count. Extraocular motility testing showed a normal, full range of motion without diplopia in each eye. Her UCVA was 20/15 OD and 20/15 OS. IOP readings with an iCare tonometer (iCare USA) were 19 mm Hg OD and 15 mm Hg OS.
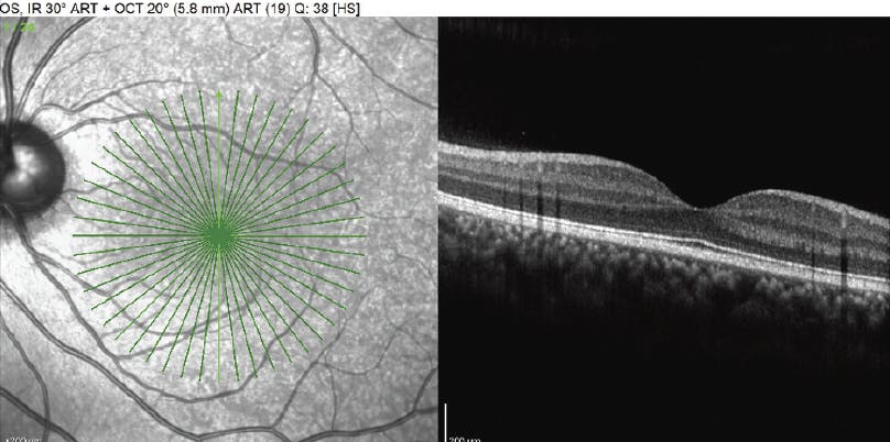
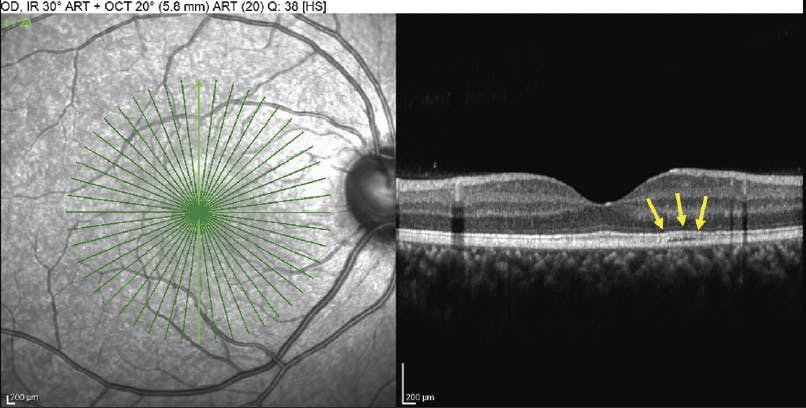
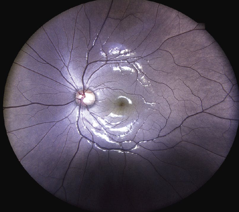
An anterior segment examination yielded normal findings in the left eye and revealed moderate conjunctival injection with 2+ cells in the anterior chamber in the right eye consistent with traumatic iritis. A dilated fundus examination found mild retinal whitening immediately superior to the fovea in the right eye (Figure 1) and yielded normal findings in the left eye (Figure 2).


Macular OCT showed disruption of the photoreceptors in the right eye consistent with Berlin edema (Figure 3) and a normal macula in the left eye (Figure 4).


Treatment with loteprednol 0.5% ophthalmic suspension administered four times daily was initiated in the right eye. The traumatic iritis fully resolved in 1 week, and the patient was asked to return to the clinic in 2 months for a dilated fundus examination to determine if the CR had resolved.
FOLLOW-UP ON OCULAR TRAUMA CASES
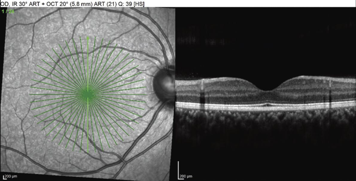
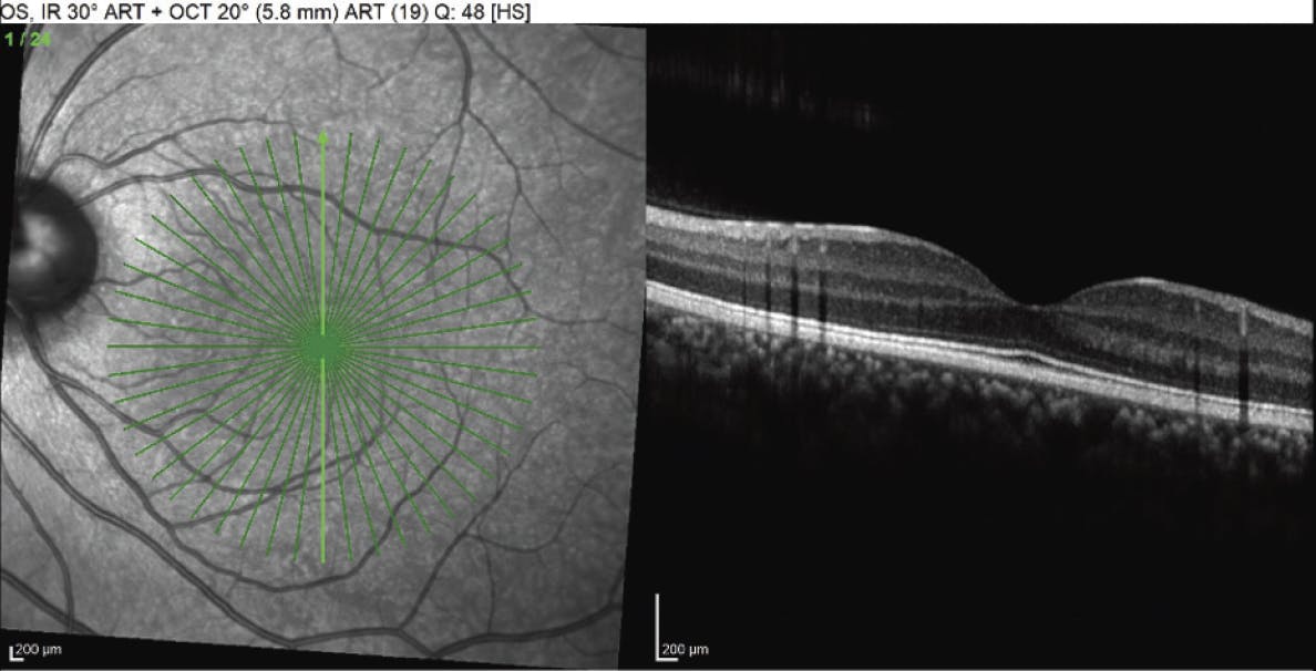
This case highlights the importance of performing a dilated fundus examination after ocular trauma—even when the patient’s visual acuity is normal. This patient exhibited the classic signs of Berlin edema, which completely resolved 9 weeks after the injury (Figures 5-8). Given her excellent recovery, she was asked to return yearly thereafter for an examination.




A dilated eye examination is warranted in patients who have a recent history of ocular trauma to facilitate the accurate identification and proper management of posterior segment complications.
Ready to Claim Your Credits?
You have attempts to pass this post-test. Take your time and review carefully before submitting.
Good luck!







