Intermediate AMD Identified: Now What?
AT A GLANCE
- AMD is a progressive disease, which means symptoms get worse as time goes on.
- Use of the latest technology to help detect AMD and monitor its progression at home for patients with intermediate AMD can help to prevent permanent vision loss through early treatment.
A 69-year-old white woman with an unremarkable ocular history presented for a routine in-person visit in October 2018. Her BCVA was 20/30, a drop from her previous 20/20 BCVA. Clinical examination revealed evidence of bilateral intermediate age-related macular degeneration (AMD). What clinical evidence points to a diagnosis of intermediate AMD, and what steps should be taken next for this patient?
INTERMEDIATE AMD DEFINED
AMD is among the diseases that optometrists screen for as patients age. AMD is classified as either dry or wet (neovascular), and dry AMD may manifest as early, intermediate, or advanced disease.1 Any stage of dry AMD can turn into wet AMD, which typically causes faster vision loss. Patients with early dry AMD typically don’t have any symptoms. Those with intermediate dry AMD also may not have symptoms or may notice mild symptoms, such as mild blurriness in their central vision or trouble seeing in low lighting.1 AMD is a progressive disease, so symptoms get worse as time goes on. That’s why it’s important to diagnose the progression of the disease to wet AMD as early as possible, before vision is severely affected, because once vision is lost it cannot be restored.2
MAKING THE I.D.
Despite being seen for annual eye exams using current imaging technology, many patients with AMD are underdiagnosed.3
A diagnosis of intermediate AMD includes patients with multiple medium drusen, at least one large druse (>125 μm or the approximate size of a vessel coming off the optic nerve), and/or non-center involving geographic atrophy. Depending on the extent of drusen formation and RPE abnormalities, patients may develop mild visual changes, such as metamorphopsia or reduced visual acuity. These are the patients for whom proper intervention can have a tremendous effect on preserving vision. In addition to routine dilated examinations, OCT imaging and fundus photos are valuable diagnostic tools for identifying the intermediate AMD stage.
THE PLAN OF ACTION
Once a patient has been diagnosed with intermediate AMD, what’s the optometrist’s next best course of action? Referring patients with wet AMD to a retina specialist is common practice, but for patients with intermediate AMD, optometrists may feel that their options are limited. These patients require frequent monitoring to watch for development of wet AMD.
Current standard of care used by some eye care practitioners includes sending patients home with an Amsler grid and instructing them to use the grid every day to monitor their vision and report back to them with any changes in their vision. Although many optometrists still rely on the Amsler grid, we now have a new option available for monitoring a patient’s vision: the ForeseeHome AMD Monitoring Program (Notal Vision). ForeseeHome allows at-home monitoring, which can alleviate the fear of missing conversion from intermediate AMD to neovascular AMD. An at-home monitoring regimen can provide frequent monitoring for at-risk patients, increase the likelihood of early detection of conversion to neovascular AMD, and reduce the risk of vision loss after conversion.
CASE PRESENTATION
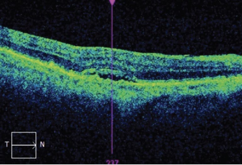
In the case of the patient mentioned at the beginning of this article, OCT imaging was acquired and multiple drusen with irregular RPE were noted (Figure 1). We directed the patient to begin taking AREDS2 vitamins and to return for planned routine eye examinations every 6 months. We referred her to the Notal Vision Monitoring Center (Notal Vision) for home monitoring between in-office visits.

WHAT ARE THE NEXT STEPS?
The patient tested her vision for changes and metamorphopsia at home several times a week using the ForeseeHome. In October 2020, 2 years after she started using the device, an aberration was detected. The aberration was reviewed by an in-house clinician at the Notal Vision Monitoring Center, who confirmed that it was likely not a false positive, and the referring practice was alerted. The practice contacted the patient, who returned for an in-person evaluation.
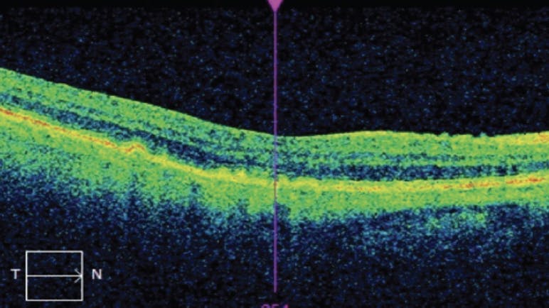
The clinical examination confirmed evidence of conversion to neovascular AMD. The patient’s BCVA had dropped to 20/40 OD, and OCT imaging revealed subretinal fluid in that eye (Figure 2). The patient was referred for retina care, and the first of three planned anti-VEGF injections was administered.

She returned to our practice for a clinical examination before her second anti-VEGF injection. Her BCVA had returned to 20/20 OD, and the subretinal fluid had resolved (Figure 3).

BACK TO OUR PATIENT
This case illustrates how supplementing in-person clinical examination and imaging with at-home monitoring can lead to early detection of conversion from intermediate to wet AMD. Thanks to early detection, the patient was able to receive timely therapy and experienced rapid resolution of retinal fluid. Continued therapy will be required to maintain her vision.
Ready to Claim Your Credits?
You have attempts to pass this post-test. Take your time and review carefully before submitting.
Good luck!







