Reinforcing Healthy Contact Lens Wear
An 18-year-old man presented with the report of a painful red right eye. When asked about his wear of contact lenses, he reluctantly reported sleeping in his 7-day-old daily disposable (DD) lenses.
Unfortunately, for many eye care professionals, this scenario is not rare. Despite the numerous benefits of contact lenses as a safe form of vision correction for millions of people worldwide, their misuse can put individuals at risk for sight-threatening and life-disrupting complications.
Now more than ever, when a pandemic has made access to eye care different from normal, a busy practitioner’s time is well spent educating patients on good contact lens behaviors and warning them about the high level risks associated with poor adherence and unhealthy behaviors.
This article highlights key healthy habits that we should strive to instill in our patients in an effort to prevent soft contact lens (SCL) complications. Armed with the latest knowledge and strategies, described here, clinicians and patients together can best ensure safe and successful SCL wear.
MINIMIZE MICROBES
Hand Hygiene is Essential
Patients are exposed to an army of microorganisms on a daily basis. Because of this, it is essential for them to wash their hands, every time, before inserting or removing their SCLs. This is the first essential, simple step in preventing SCL complications associated with microbial contamination. Poor or absent hand hygiene is a risk factor for both microbial keratitis (MK) and contact lens–associated corneal infiltrative events (CIEs).1 However, up to 50% of SCL wearers do not wash their hands as directed, especially before lens removal.2 Hand hygiene is a fundamental, modifiable patient habit that can be improved with proper emphasis.
Wear Daily Disposables Properly
Intuitively, daily replacement of contact lenses should decrease bioburden, including that from lens storage cases, multipurpose solutions, and the eyelids.3 In fact, the use of reusable contact lenses is recognized as a risk factor for the development of CIEs.4,5 Proper use of DD lenses reduces the risk of CIEs by 12.5 times.4
Chalmers et al demonstrated that the incidence of CIE for hydrogel and silicone hydrogel DD lenses is very low (0% and 0.4%, respectively) compared to that with reusable SCLs (3-4%).5 Although DD wear is ideal, patients should be made aware that inappropriate use of this modality (ie, overnight wear, reusing their lenses) can result in severe corneal infection with an incidence as high as that of other modalities.1,6,7 Practitioners should prescribe DD lenses when possible but should not become complacent regarding minimizing the potential risks. Every opportunity should be taken to safeguard patients’ health, as with all types of contact lenses.
Clean and Replace Lens Storage Cases Frequently
Today, 50% to 60% of patients are fit with reusable lenses.8 For our patients in reusable lenses, optometrists must emphasize habits that will reduce the microbial load in their lens storage cases. Microbial contamination of contact lens storage cases is associated with a substantial increased risk of CIEs and MK.9,10 Continual reuse of cases and lack of lens case hygiene allows the lens case to become a reservoir of infectious microorganisms. Cases that are 6 or more months old increase the risk of CIEs 8-fold, and poor case hygiene increases the risk of MK 4-fold.9,10
Unfortunately, lens case hygiene and lack of replacement rank high as areas of SCL noncompliance.10 Lens cases should be cleaned after each use and replaced at least every 3 months.11 This is a message that eye care providers must hammer home to SCL wearers. Studies show that an alarming number of SCL wearers are grossly unaware of when to replace their cases, or they replace and clean them significantly less frequently than suggested.10,12,13 In these studies, roughly three-quarters of wearers were unsure when to replace their cases, roughly half reported replacing their cases only every year or more than a year, and almost a third of users cleaned their cases monthly or less frequently.12,13
Remove Lenses Before Sleeping
Overnight SCL wear is associated with a substantially increased risk of serious SCL-related complications, with reports as high as an 8-fold increased risk of developing MK and a 7-fold increased risk for CIE.6,7,9,14 Moreover, overnight SCL wear is a major risk factor for serious SCL complications, regardless of lens material or modality.15 However, approximately one in four patients reports sleeping in lenses, a number that is consistent across all lens modalities, including DD lenses.10 Again, this is a message that we must be delivering to patients.
Avoid Water Exposure
Exposure of SCLs to water—whether through rinsing or storing lenses in tap water, or swimming or showering with them in—is a well-established risk factor for CIEs and MK, especially the visually devastating Acanthamoeba keratitis.10,16 Unfortunately, SCL wearers appear to be largely unaware of the risk of SCL water exposure.13,16 In a study examining contact lens noncompliance, water exposure was the most frequent noncompliant behavior reported.13 Studies have shown that approximately 90% of SCL wearers shower and 60% swim while wearing lenses.9,13 Roughly half of SCL wearers rinse and/or store their lenses in tap water at least infrequently.9,13 We should be making it clear to patients that any form of water exposure can potentially lead to substantial vision loss. Increasing awareness of this risk is paramount.
BEYOND THE LENS
The noncompliant behaviors outlined above appear to drive the greatest risk of serious SCL adverse events. However, other unhealthy habits can also increase the probability of an adverse event. Smoking, topping off solutions, self-pay or internet purchase for SCL replacements, and wearing SCLs when ill are other modifiable risks that we should be talking to patients about. Nonmodifiable risk factors such as younger age (15-29 years), male sex, history of a red eye event, and high refractive error should also be taken into consideration when making prescribing decisions.3,9,10 For example, an 18-year-old man with a history of a CIE should be strongly encouraged to wear DD lenses.
The Contact Lens Assessment in Youth (CLAY) research group’s Contact Lens Risk Survey can be used to query patients regarding risk factors associated with SCL complications.14 (The survey will be available for use in the clinical setting in the near future.) It is an excellent tool to help us quickly identify unhealthy SCL habits and mitigate poor outcomes.
GETTING THE MESSAGE ACROSS
Awareness of healthy SCL habits is the first step toward a successful wearing experience (see Good Habits for Healthy SCL Wear). By connecting the value of safe SCL wear to good health, we can invoke and maintain proper behaviors in our SCL patients. Following are some tips to get new SCL wearers on the road to success and to keep established wearers on track.
Good Habits for Healthy SCL Wear
- Display these reminders where patients can see them, or send patients home with a copy.
- • Always wash and dry your hands before touching your contact lenses.
- • Do not sleep or nap in your contact lenses unless told otherwise by your doctor.
- • Replace your contact lenses as recommended by your doctor.
- • Clean your contact lens case daily and replace your case at least every 3 months.
- • Do not bring your lenses into contact with water; avoid swimming and showering while wearing them.
Stress the Negative, Highlight the Positive
One reason SCL wearers are noncompliant is their lack of awareness of the consequences of their actions.17 Be sure to describe the benefits of compliance, such as comfort, health, and white eyes, as well as the risks of noncompliance such as vision loss, infection, and discomfort.18
Unhealthy Habits, Unsafe Wear
Outlining to patients how a specific poor behavior contributes to unsafe wear may help to prevent complications and misconceptions. For example, be sure to tell patients that, over time, lens cases become invisible petri dishes like toothbrushes. Explain that keeping a lens in a case with old solution is similar to bathing in dirty bath water. Descriptions like these may propel patients to replace their cases as recommended and prevent them from carrying around cases with old solution for emergency uses.
Keep the Message Simple
Patients appreciate jargon-free, concise, and clearly presented information.19 Their comprehension of information presented in this fashion can potentially improve adherence.19,20 It is best to minimize complex regimens that can be barriers to success. For my monthly lens wearers, I have found that streamlining lens accessory replacement to a monthly schedule, and sequencing instructions to fit in with a patient’s morning and evening routines goes a long way.
Use Visual Aids
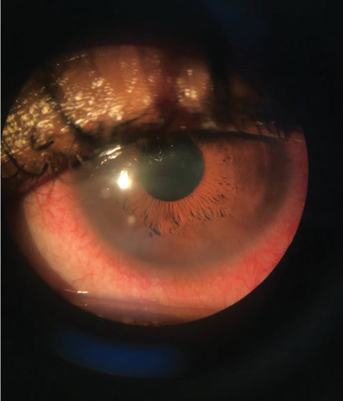
Illustrations, images, and videos can help in communicating the importance of SCL safety and ensuring adherence.20,21 A picture is truly worth 1,000 words. When I show my nonadherent patients their corneal scars (Figure) or videos of their grossly deposited lenses, it helps them to get back on the right track.

Reiterate Messaging
Education alone is not likely to significantly sustain long-term behavior change.22 Regularly remind patients throughout the exam and throughout the year of the importance of healthy habits for successful wear. Repeated messages can be delivered in monthly boosters via social media or with reminder labels on lens cases. Repeated messages change behaviors.23 If possible, enlist others such as family members to reinforce your message. A repeated, unified message from those socially close to the wearers strongly affects compliance and emphasizes the importance of SCL safety.18
THE MORE THEY KNOW
One strategy alone will not completely prevent all SCL complications. However, by elevating the importance of healthy habits in the mindset of our patients, we can help them successfully enjoy this valuable mode of vision correction for the long term.
Ready to Claim Your Credits?
You have attempts to pass this post-test. Take your time and review carefully before submitting.
Good luck!
Recommended
- Contact Lenses
Managing Contact Lens Complications
Roxanne Achong-Coan, OD, FAAO, FIAOMC, FSLS, FBCLARoxanne Achong-Coan, OD, FAAO, FIAOMC, FSLS, FBCLA







