Ocular Effects of Pituitary Tumor
AT A GLANCE
- Pituitary adenoma (PA) is the most common etiology of optic chiasm compression and can present with a broad range of visual symptoms, including visual acuity loss, visual field defects, dyschromatopsia, headaches, extraocular muscle weakness/diplopia, seesaw nystagmus, photophobia, and loss of stereopsis.
- Eye care providers are the first to identify signs of PA in 27% of cases—more often than any other medical subspecialty.
- Management of PA from an eye care perspective should involve comprehensive examination, visual field testing, OCT and neuroimaging, and referrals to neurosurgery, endocrinology, and other medical specialties as required.
A 35-year-old male presented to our clinic with complaints of a blurry spot just to the right of his field of view in his right eye. He denied any visual changes in his left eye. Onset was approximately 6 to 8 months but seemed to be getting a little worse, according to the patient. He also reported slowly worsening headaches during this timeframe. His ocular and medical histories were unremarkable, and he denied using any medications other than OTC ibuprofen as needed. He reported no known drug allergies, and his social history was unremarkable.
EXAMINATION FINDINGS
This patient’s uncorrected VA was 20/25 OD and 20/20 OS and his confrontation visual fields were counting fingers OU. His pupils were equal, round, and asymmetrically reactive to light (OS > OD), with a small, relative afferent pupillary defect OD. Extraocular motilities were full range of motion OU. Subjective manifest refraction resulted in BCVA of 20/20 OU. Slit-lamp examination was unremarkable OU, and the patient’s IOP was 15 mm Hg OU with Goldman tonometry.
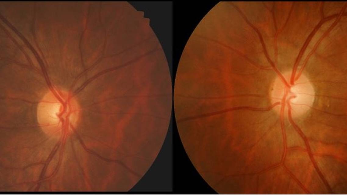
Dilated fundus examination appeared normal OD, but mild optic nerve pallor was noted OS, which was consistent with mild optic atrophy (Figure 1). OCT imaging of retinal nerve fiber layer (RNFL) and ganglion cell layers supported the diagnosis of optic atrophy bilaterally (Figures 2 and 3). Formal automated visual field testing showed normal results OS and a superior temporal defect OD that respected the vertical meridian (Figure 4).




MRI showed a pituitary adenoma that was compressing the optic chiasm (Figure 5). Urgent referral to a local neurosurgeon confirmed pituitary adenoma (PA), and lab work revealed high prolactin levels, confirming the diagnosis of prolactinoma. The patient was started on oral cabergoline, a dopamine receptor agonist, and was instructed to follow up in 3 months.

TUMORS OF THE PITUITARY GLAND
The pituitary gland sits snugly within the bony sella turcica. It is covered by a dural fold (ie, diaphragma sellae), is about the size of a pea, and secretes nine hormones that affect tissues throughout the body.1 On average, the distance between the top of the pituitary gland and the underside of the optic chiasm is approximately 10 mm.1,2 Most pituitary tumors need to reach an adequate size to bridge this 10 mm space before they start compressing the visual pathway structures2; therefore, most pituitary adenomas are of considerable size (ie, ≥ 10 mm) when finally diagnosed based on visual signs and symptoms.2-4
PA in Perspective
PA is the most common etiology of optic chiasm compression, comprising approximately 75% of lesions.5,6 The term adenoma refers to a benign tumor formed from glandular structures in epithelial tissue.7 After PA, the next most common etiologies of optic chiasm compression are craniopharyngioma (12%), Rathke cleft cyst (4.7%), meningioma (4.5%), and other tumors (2%).5,6
PAs account for 10% to 15% of all intracranial tumors with an average age of onset of 39 to 48 years of age.1,8,9 PA can be categorized in several different ways, but the two most common are size (microadenoma vs macroadenoma) and hormone secreting ability (nonfunctional vs functional).1,8,9 The term macroadenoma applies when an adenoma is > 10 mm in diameter. This type is reported in 43% of cases compared with microadenomas (57%).3,4 Functional (active) adenomas occur in approximately two-thirds of cases, whereas nonfunctional (inactive) adenomas occur in approximately one-third of cases.1,9 The most common type of functional adenoma is a prolactinoma (ie, PA secreting excess prolactin hormone), which occurs in about 50% of cases.10-12
It's critical to differentiate functional from nonfunctional PA because prolactinomas can usually be treated with a medical approach first, compared with other subtypes of PA, which generally require surgery as first-line therapy.13,14 Bromocriptine 1.25 mg taken once daily or cabergoline 0.25 - 1.0 mg taken once to twice per week are dopamine receptor agonists commonly used as first-line therapies for prolactinomas.13,14 Dopamine receptor agonists decrease intracellular signaling, leading to reduced prolactin secretion and reduced tumor size in approximately 62% of cases and remission/normalization rates of approximately 70% to 90%.13,14 These relatively high rates of tumor reduction and remission rates may allow many patients with prolactinomas to forego surgical resection.
Visual Effects
Many medical specialties can be the first to identify pituitary tumors, eye care providers are the one that most often identifies PA first compared with other medical specialties (27% of cases).15 Other common medical specialties to identify PA include internal medicine (24%), neurosurgery (22%), otolaryngology (3%), and psychiatry (2%).15
In general, PA invades the central nervous system vertically and/or laterally via the floor of the sella turcica, the parasellar dura, and the cavernous sinus.11 Compression of the surrounding structures can ultimately lead to neuronal dysfunction, axonal degeneration, and possible cell death within the visual pathway, all of which can lead to the visual complications often seen in pituitary adenoma, including visual acuity loss (42 - 88%), visual field defects (28 - 100%), dyschromatopsia (56%), headaches (19 - 75%), extraocular muscle weakness/diplopia (2 - 10%), seesaw nystagmus, photophobia, and loss of stereopsis.11,16,17
When diplopia occurs as a result of PA compression (2- 10% of cases), the most common cranial nerve involved is the oculomotor nerve (CN III) in 42% of cases, followed by CN VI (40%) and CN IV (18%).3,17 CN III is most common because it is the cranial nerve usually anatomically closest to the path of tumor expansion as it grows laterally towards and into the cavernous sinus.3,17
The cerebral tissues are devoid of pain receptors, however the meninges are not; thus, headaches associated with PA are thought to stem from stretching and disruption of the dural tissues from the tumor expansion through the diaphragm sellae.11 Pain receptors are also present in the cavernous sinus structures, which could be a second source of headaches with PA as they grow to invade these areas.11
Visual symptoms can occur within a very broad range of time (7 - 2,160 days), but have a mean onset of approximately 1 year; still, about 16% of patients remain asymptomatic.1 The most common symptoms are bitemporal visual defects (41%) followed by monocular defects (33%).18 However, there are a variety of possible visual field defects, largely depending on how the tumor grows and the relationship between the optic chiasm and pituitary gland in the individual patient (ie, central-fixed, pre-fixed, post-fixed).11,17-19 Clinicians should be diligent when studying visual fields for possible clues that suggest a neurological etiology.
Imaging
OCT has become a powerful tool in the diagnosis and monitoring of optic atrophy secondary to retrograde axonal degeneration from PA compression of the visual pathway.19,20 RNFL thicknesses of < 80 µm is suggestive of poorer visual outcomes.20,21 However, OCT ganglion cell analysis appears to have an improved diagnostic sensitivity compared with RNFL and may precede visual field defect onset also.3,19-21 Specifically, binasal thinning on OCT ganglion cell analyses is a key finding that can suggest optic chiasm compression.19-21
MRI is the imaging modality of choice when pituitary tumors are suspected due to its generally excellent resolution of these soft tissue tumors, especially when used with contrast (ie, gadolinium) in T1-weighted sequences.22
SURGICAL APPROACH
When medical therapy does not work or surgery is otherwise indicated, PAs have been treated with transcranial or transsphenoidal surgery.5,23-26 PA resection surgeries account for approximately 25% of all intracranial surgeries.26 Recovery rates of PA-induced cranial nerve palsies are generally considered very favorable with surgical resection.27
Transsphenoidal surgeries are the most common surgeries used to resect PA (approximately 97% of cases).5,23,24,26 Recurrence rates are considered high (33 - 50% over 5 to 10 years).25 However, recurrence rates of PA are the lowest when complete surgical resection is performed (7 - 12% over 10 years) compared with partial-resection surgeries (80% over 10 years).25 Patients with a history of PA should be followed regularly throughout their lives to check for signs and/or symptoms of tumor regrowth.
BE READY TO ASSUME THE RESPONSIBILITY
Eye care providers are often the first medical specialists to identify signs and symptoms of PA, ultimately leading to the identification of the adenoma.15 As such, we should all be well versed in how PA can affect the visual system, and the appropriate tests needed to help diagnose and manage these patients. A comprehensive examination followed by visual field testing, OCT, neuroimaging, and appropriate referrals to other medical subspecialties, including neurosurgery and endocrinology, is the mainstay of PA management.
As of writing this article, the patient in this case has not returned for follow-up as directed; however, I am optimistic that his visual symptoms have significant potential for improvement after starting the dopamine receptor agonist prescribed by his neurosurgeon.
Ready to Claim Your Credits?
You have attempts to pass this post-test. Take your time and review carefully before submitting.
Good luck!
Recommended
- Glaucoma
Rationalizing the Red: When RNFL Atrophy Is Not Glaucoma
Katherine Rachon, OD, FAAO, Dipl ABOKatherine Rachon, OD, FAAO, Dipl ABO







