The Optometrist’s Guide to Serology
A practical overview of which labs to order, when to order them, and how to use the results.
AT A GLANCE
- Serologic testing is useful when you are faced with unexplained inflammation, optic nerve changes, or retinal findings that do not fit the usual pattern.
- Baseline labs, infectious disease serology, and autoimmune and inflammatory panels are among the labs you may need to order.
- Whether it is confirming syphilis in papillitis, screening for sarcoidosis in granulomatous uveitis, or ordering labs for optic neuropathy, serologic workups can transform your clinical efficiency and elevate patient care.
Optometrists are increasingly managing complex cases and identifying systemic disease. As our clinical scope grows, so does the need to order lab tests and accurately interpret the results.
Serologic testing is especially useful when we are faced with unexplained inflammation, optic nerve changes, or retinal findings that do not fit the usual pattern. This article breaks down what to order, when to order it, and how to use the results in these situations.
GETTING STARTED
If you have never ordered labs before, do not worry; it is easier than you think. Most optometrists can set up a lab account with a diagnostic laboratory or work with a nearby hospital or clinic-based lab. Call the lab and ask to set up a physician account. They will walk you through how to order tests and receive results. You can order labs via your electronic health record if integrated, a secure online portal, a paper lab form, or a prescription sent with the patient. Once your account is active, ordering labs will become a part of your workflow.
BASELINE LABS
Baseline labs are the most relevant and frequently ordered panels in practice (Table 1). These are helpful in cases of systemic comorbidities or unexplained inflammation or when initiating broader workups. The tests are often the first step in determining whether a localized ocular issue is a sign of systemic disease.

INFECTIOUS DISEASE SEROLOGY
Keep infectious causes on your radar when evaluating posterior uveitis, papillitis, retinal vasculitis, or neuro-ophthalmic complaints (Table 2). Many are serologically confirmed, even without systemic symptoms. Positive tests should prompt referrals and can be comanaged with infectious disease or internal medicine.

AUTOIMMUNE PANELS
Recurrent uveitis, bilateral optic nerve edema, and scleritis often have an underlying autoimmune component. Although optometrists may not directly manage the underlying systemic condition, initiating the right labs can speed up the diagnostic process and improve outcomes (Table 3). Combining these panels with a thorough review of systems and systemic history can help you build a more complete differential and accelerate specialty referrals.
READING LAB RESULTS
Every lab report includes reference ranges that tell you what is considered normal based on a healthy population. A few tips:
- Do not panic about one out-of-range value. Make sure to look at the whole picture.
- Use the date of collection to confirm the results are current.
- Reflex testing helps. For example, an antinuclear antibodies with reflex test will automatically run additional autoimmune-related tests if the first result is positive.
- Correlate the results with your clinical findings. The labs do not make the diagnosis. You do.
- The bottom line: You do not need to be an internist to order basic lab tests. Focus on learning when to order them and when to partner with the patient’s primary care provider or specialist.
CASE EXAMPLE
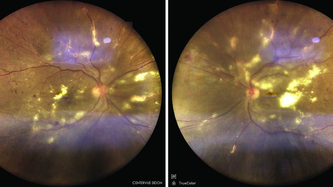
A 48-year-old Hispanic woman presented for a diabetic eye examination (Figure). Her history included poorly controlled type 2 diabetes (A1c: 10.8%), hypertension, and hyperlipidemia. Her BCVA was 20/300 OD and counting fingers at 5 feet OS. Her IOPs were normal. The retinal findings, however, did not match the classic appearance of diabetic retinopathy. The degree of vasculitis and vitreous haze suggested another underlying etiology, prompting further lab work. My primary working differentials were syphilis and herpes, both of which can mimic or compound retinal vascular disease. Serology results are summarized in Table 4 with elevated values in red. Notably, her elevated inflammatory markers and herpes simplex virus 1 positivity provided important context as posterior segment involvement with vitreous inflammation can be consistent with herpetic vasculitis. The patient was started on oral valacyclovir 500 mg three times daily, and comanagement was coordinated.

STREAMLINING LAB ORDERING
- Start with baseline labs. Then, add infectious or autoimmune tests.
- You do not need to memorize lab values—just know when to dig deeper and ask further questions.
- Simplify panels with reflex testing.
- Partner with the patient’s primary care provider when labs reveal new or uncontrolled systemic conditions that require comanagement.
GET ON BOARD
Optometrists are often the first to spot signs of systemic disease, and serologic testing is a powerful tool to back up your clinical suspicions. As optometrists continue to take on broader roles in health care, familiarity with serology is not just helpful; it is essential.
Serologic testing should not feel overwhelming. You do not need to memorize every lab—just recognize patterns, know your go-to panels, and have a plan for follow-up. Whether it is confirming syphilis in papillitis, screening for sarcoidosis in granulomatous uveitis, or ordering labs for optic neuropathy, serologic workups can transform your clinical efficiency and elevate patient care for the best overall outcomes.
Ready to Claim Your Credits?
You have attempts to pass this post-test. Take your time and review carefully before submitting.
Good luck!









