Collaborative Case #003: What Matters & What Doesn’t
This Case Report is Interactive!
Challenge your understanding of diagnostic and treatment conventions by entering your answers to the questions below. Follow @collaborativeeye on Instagram for more cases like this.
Case Presentation
A 33-year-old male with a 19-year history of type 1 diabetes mellitus presented for an eye examination upon referral from his endocrinologist. He was asymptomatic and reported his last eye examination was 5 years prior, where he was told he had “early changes” due to diabetes. The patient was on insulin glargine, levothyroxine, and lisinopril for microalbuminuria. His most recent hemoglobin A1c measurement was 9.1% (ranging from 8.2-12.7%). BCVA was 20/20 OU and IOPs were 19 mm Hg OU. Anterior segment examination showed minimal nuclear sclerosis.

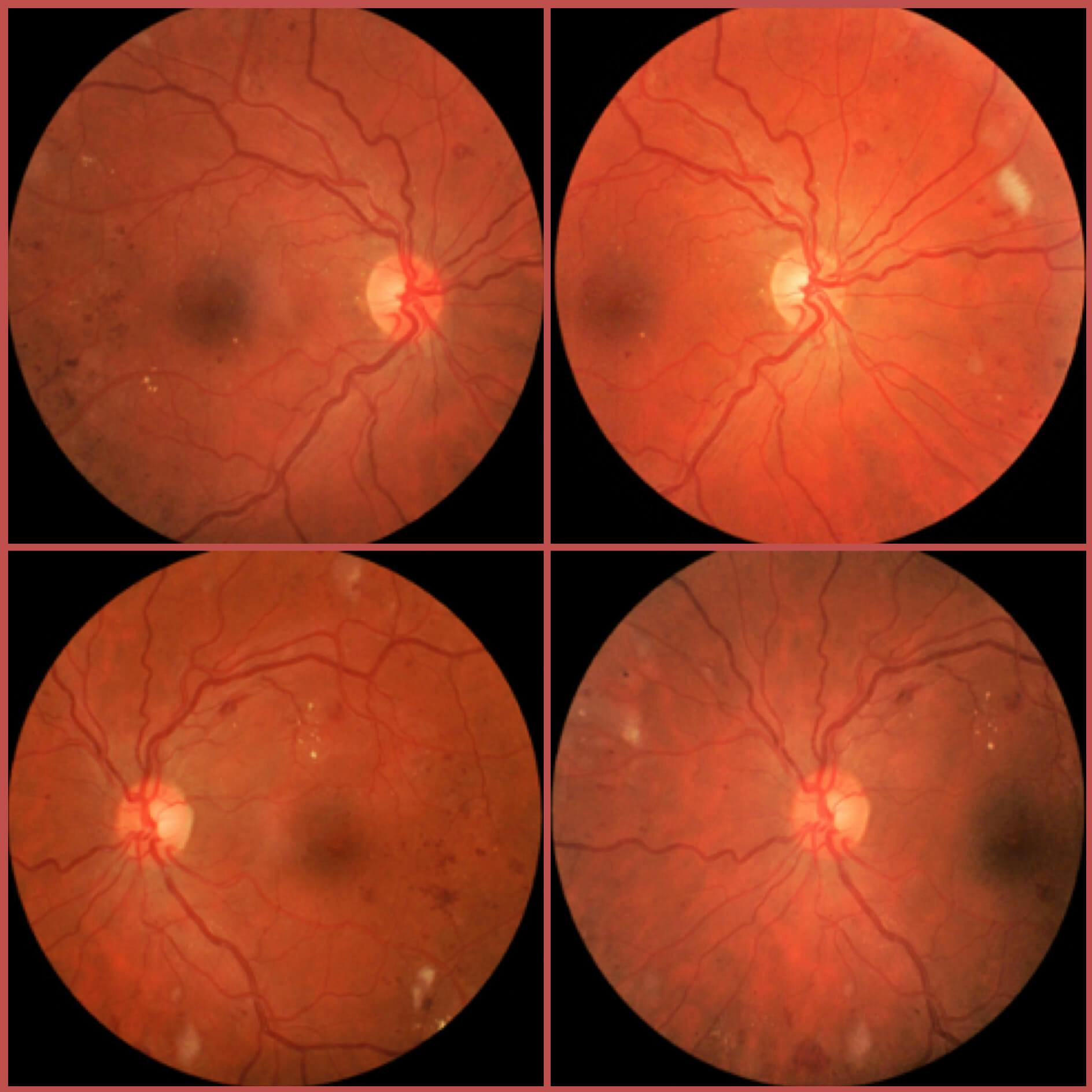
This patient has severe NPDR, which reveals significant retinal hemorrhage and supero-temporal vein beading. Cotton wool spot formation likely reflects retinal ischemia due to diabetes in a patient without anemia or known Hypertension-associated A/V crossing changes .
OCT is indicated to assess for the presence of diabetic macular edema (DME), which is more likely to occur as the level of DR worsens. The presence of lipid exudate within the macula bolsters the possibility of coexiting DME. Fluorescein angiography is another useful tool in the evaluation of DME, but mostly likely used as ultrawide-field fluorescein angiography (UWFA) to assess the presence of capillary dropout/nonperfusion (ischemia), intraretinal microvascular abnormalities, or coexiting neovascularization. These cases need treatment and further evaluation by a retina specialist. More recent studies demonstrate that a global DR Severity Score based on full-field flicker electroretinography (ffERG) and pupillary response to the ERG stimulus predicts which patients with DR are most likely to require retinal intervention over the following 3 years,1 with better sensitivity for progression than both standard 7-field DRSS photography and OCT angiography vessel density (RetEval, LKC Technologies), but this test was not available at this patient encounter and would not have altered the decision to refer based on clinically evident DR severity.
Recent analyses have shown that improving a patient’s glycemic control as measured by HbA1c will likely have no clinically meaningful impact on progression to vision-threatening complications such as center-involving DME (CI-DME) and/or PDR once NPDR severity is more than moderate, given “metabolic memory” demonstrated in every major prospective DR study. That is, patients with long-lived poor glucose control remain at much higher risk for developing both DR and DME and for worsening disease severity despite subsequent improvement in glucose control, a process mediated by mitochondrial damage. Conversely, patients with good long-term control, who subsequently have worsening control demonstrate relative protection against DR over time. The PANORAMA trial comparing anti-VEGF therapy to observation in patients with moderately severe or severe NPDR (DRSS level 47 or 53) showed that good HbA1c at study entrance afforded no protection whatsoever against developing PDR or CI-DME.2
SD-OCT was performed and revealed central subfield thickening OD (Figure 2).

Important Takeaways
DR and DME remain the most common causes of vision loss in Americans of working age. The risk of vision-threatening complications such as PDR, anterior segment neovascularization, and CI-DME increases as underlying NPDR severity worsens and is as high as 50% within 1 year in patients with severe NPDR (the 4-2-1 rule: retinal hemorrhages/MAs in four quadrants, and/or vein beading in two quadrants, or one quadrant of IRMA). Established risk factors for DR and its progression include but are not limited to T1DM over T2DM, male gender, younger age, depression, subclinical hypothyroidism, longer diabetes duration, long-term history of poor glycemic control (both HbA1c and glucose time-in-range), untreated comorbidities (hypertension and dyslipidemia), and untreated sleep apnea.3,4 This patient has multiple risk factors for severe vision loss, including long-term, poor metabolic control; significant NPDR with DME; younger age; male gender; and follow-up nonattendance. Interestingly, serum labs in this case confirmed subclinical hypothyroidism, with elevated TSH but normal T4.
Diagnostic Modalities
Common diagnostic modalities used to assess DR/DME include fundus photography (preferably widefield) with use of red-free filters to highlight vascular abnormalities and MAs, OCT, OCTA, FA, and newer tests such as color contrast threshold sensitivity testing and ffERG. OCT is the most sensitive test for detecting DME as well as response to treatment. Additionally, OCT is the sine qua non technology for detecting thinning of the inner, neural retina (ganglion cell complex and NFL), which is associated with diabetic neuropathy, including cardiac autonomic neuropathy that can threaten life. OCTA can demonstrate capillary dropout linked to worsening DR and foveal ischemia; FA remains the gold standard for assessing capillary perfusion and neovascularization, especially UWFA. In addition to the classic retinal vascular lesions seen in DR/DME, many patients have functional abnormalities (eg, color vision, visual field, contrast sensitivity, and electrophysiological deficits) that may precede these classic lesions and influence the diabetes treatment plan and surveillance interval.5
Treatment Considerations
Vision-threatening DR typically refers to PDR, severe NPDR, and CI-DME. PRP remains the mainstay of treatment for PDR, but anti-VEGF therapy has been shown to be noninferior and result in lower risk of CI-DME and better visual field/scotopic vision. Many retina specialists favor combination therapy for treating PDR. Anti-VEGF therapy also has been shown to cause regression of NPDR severity and significantly reduce the risk of developing PDR. Anti-VEGF therapy is now approved for the treatment of any level of DR with or without DME, though most retina specialists with whom the author has spoken are reserving its use for patients with DME and/or PDR and possibly severe NPDR. For DME, anti-VEGF therapy has become the mainstay treatment, with laser (used in non-central involve DME) and intravitreal steroids playing an important secondary role. Of note, DRCR.net Protocol V showed no statistically significant difference in outcomes over 2 years comparing treatment with anti-VEGF therapy, laser, or observation in patients with CI-DME and good visual acuity (20/25 or better, as is the patient here).6 Yet, the decision of treat versus observation, just as in the case presented, needs to be addressed on an individual basis and coexisting risk factors need to be taken into account, as does the severity of the NPDR.
KEY TAKEAWAYS
This case underscores several important considerations in managing patients with diabetes:
- BCVA is not always indicative of disease severity
- Improving metabolic control is not useful once NPDR severity is moderate or worse, and referral/treatment decisions should be based on disease severity; a corollary is that we should be asking patients about their long-term glucose control—not their current HbA1c, given the impact of metabolic memory; early, good control of diabetes is paramount to reducing the burden of complications and treatments; a multimodal diagnostic approach to DR may help eye care practitioners make better management and referral decisions.
- Treatment of NPDR has had a paradigm shift to a more proactive approach
Ready for another case?
- View all Collaborative Cases »
- Follow @collaborativeeye on Instagram for new cases.
ABOUT THIS SERIES
On the path from initial diagnosis to severe disease management, patients may encounter a number of eye care providers. The Collaborative Care Case Series was developed, with guidance from William Trattler, MD, and Diana Shechtman, OD, FAAO, to challenge clinicians' understanding of diagnostic and treatment conventions and advance knowledge of all eye care providers along the continuum.
Ready to Claim Your Credits?
You have attempts to pass this post-test. Take your time and review carefully before submitting.
Good luck!
Recommended
- Collaborative Case Reports
Collaborative Case #012: Best Management of a Visually Significant Cataract and a Nasal Pterygium
William Trattler, MD; Marilyn Zuniga, ODWilliam Trattler, MD; Marilyn Zuniga, OD - Collaborative Case Reports
Collaborative Case #011: Treating Irregular Astigmatism After Laser Vision Correction
William B. Trattler, MDWilliam B. Trattler, MD







