Persistent Fetal Vasculature
AT A GLANCE
Persistent fetal vasculature (PFV) is a congenital anomaly of the hyaloid vasculature that occurs when the embryonic vascular network fails to regress completely.
Wide variability in the clinical presentation of PFV can make diagnosis challenging. The anomaly has been classified into three main categories: anterior PFV, posterior PFV, and combined anterior and posterior PFV. Common findings on clinical examination of an asymptomatic patient include persistent pupillary membranes, Mittendorf dots, and Bergmeister papilla.
The management of PFV is based largely upon the patient’s visual potential. Options include observation, nonsurgical approaches, and surgical intervention.
Since 1997, the terms persistent posterior fetal fibrovascular sheath of the lens, persistent hyperplastic vitreous, persistent tunica vasculosa lentis, ablation falciform, and congenital retinal septum have been gradually replaced by the term persistent fetal vasculature (PFV).1-4 First reported in 1818 by Cloquet,PFV is a congenital hyaloid vasculature anomaly that occurs when the embryonic vascular network fails to regress completely.1,2
The human fetal vascular system develops during approximately the third week of gestation. The system arises from the optic nerve head and extends through the central vitreous to support the development of the lens and anterior segment of the eye.1,2 Regression via apoptosis and macrophage activation of the fetal vasculature system enables the eye to develop a clear optical pathway by which light can reach the retina after the eye has fully formed.1,2 This normal regression of the fetal vasculature is typically completed just before birth. It leaves behind Cloquet canal, also known as the hyaloid canal and Stilling canal.1,3 Abnormalities in the regression/involution pathway can produce different clinical manifestations of PFV.1,2
DIAGNOSIS
What triggers PFV is unknown, but several signaling pathways (proto-oncogenes, tumor suppressor genes, neogenin) have been implicated.1-3 Most cases of PFV are considered sporadic. Some familial forms have been identified but are considered more rare than sporadic forms.1,2
The prevalence of PFV appears to be greater than originally thought; the anomaly has been associated with approximately 5% of cases of childhood blindness in the United States.1 PFV seems to affect boys and girls equally.3 Approximately 90% to 95% of cases are unilateral, and 5% to 10% are bilateral.1,2 Bilateral PFV usually occurs in patients who have another congenital syndrome such as Norrie disease, Aicardi syndrome, trisomy 13 or 15, Walker-Warburg syndrome, or Dandy-Walker malformation.1,2 Perinatal infection, metabolic disease, and maternal cocaine use have also been linked to PFV.2
Wide variability in the clinical presentation of PFV can make diagnosis challenging.1,2 The anomaly has been classified into three main categories: anterior PFV (25% of cases), posterior PFV (12% of cases), and combined anterior and posterior PFV (63% of cases).1 Eyes with anterior PFV may have leukocoria, a shallow anterior chamber, engorged iris vessels, a retrolental membrane, cataract, hypotony, glaucoma, and/or ciliary process elongation.1-3 Eyes with posterior PFV may have an optic nerve hyaloidal stalk, optic nerve hypoplasia, vitreous traction, a retinal proliferative membrane, retinal folds, and/or retinal detachment.1,2 Combined PFV includes both anterior and posterior PFV findings.1,2 Patients with any form of PFV may have microphthalmia.2
On clinical examination, common findings of an asymptomatic patient include persistent pupillary membranes, Mittendorf dots (small circular opacities on the posterior lens capsule), and Bergmeister papilla (a membranous lesion attached to the optic disc from incomplete hyaloid artery regression).1
PFV may show up incidentally on neuroimaging (computed tomography or MRI), which may prompt a referral to an eye care provider for confirmation.1 Although not required for the diagnosis of PFV in most cases, computed tomography and/or MRI may sometimes be used in conjunction with ultrasonography for diagnosis and differential diagnoses such as retinoblastoma.1-3
MANAGEMENT
Intravenous fluorescein angiography can facilitate the visualization and localization of retinal avascular areas that may benefit from laser photocoagulation.2 Ultrasonography can assist in the evaluation of posterior pole involvement in eyes with media opacities or retrolental membranes.2 OCT may be used to evaluate retinal traction, retinal membrane formation, foveal integrity, and structural photoreceptor disruption, which may be associated with poorer visual outcomes.2 OCT angiography can reveal abnormal blood flow patterns in the retinal vessels of eyes with PFV.2
Treatment is based largely upon the patient’s visual potential. Options include observation, nonsurgical management (eg, refractive error correction, amblyopia treatment, polycarbonate spectacle lenses for protection, low vision consultation), and surgical intervention to address cataracts, glaucoma, retrolental membranes, vitreous opacities, intraocular hemorrhage, and retinal traction/detachment.1,2 There are no definite indications for surgical intervention.
CASE EXAMPLE
A 24-year-old male presented for an annual eye exam. He stated that the vision in his right eye had always been poor but that it had recently become blurry. He said the vision in his left eye was normal.
The patient’s drug regimen consisted of buspirone for the treatment of major depressive disorder. He reported no drug allergies. His grandmother had a history of glaucoma, but his family medical history was unremarkable. The patient did not smoke or use illicit drugs but occasionally drank alcohol.
Upon examination, the patient’s UCVA was counting fingers at 3 feet OD and 20/20 OS. Pinhole testing produced no improvement in the right eye. Confrontation visual field testing proved impossible in the right eye because of poor vision but was full to counting fingers in the left eye. Extraocular motility was full OU. A cover test of the right eye revealed a constant esotropia of 30.00 prism diopters. Pupil testing found a white pupil that responded poorly to light and an afferent pupillary defect in the right eye and a normal pupil in the left eye. Stereopsis testing showed suppression of the right eye. The patient’s BCVA did not improve in the right eye with a subjective manifest refraction but was 20/15 OS with a minimal spectacle prescription. >
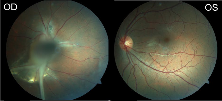
An examination found a moderately dense cataract OD and a normal anterior segment OS. Rebound tonometry with an iCare tonometer (Icare USA) was 19 mm Hg OU. A dilated retinal examination revealed retinal folds and an optic nerve stalk that extended from the optic nerve face to the posterior lens in the right eye, consistent with PFV. The appearance of the retina in the left eye was normal (Figure 1). Ultrasonography showed elevation of the PFV immediately anterior to the optic nerve in the right eye (Figure 2).


The patient was informed of his congenital ocular findings of PFV and the poor prognosis for visual improvement with surgical intervention. He sought and received an opinion from a local cataract surgeon, who also recommended against intervention. The patient is being monitored yearly with dilated examinations and has received a prescription for polycarbonate spectacle lenses.
TIMELY DIAGNOSIS AND TAILORED CARE
Early recognition and accurate diagnosis of PFV are essential to guide appropriate management, which should be tailored to the individual patient’s visual potential and overall ocular health. While surgical intervention may be considered in select cases, many patients—particularly those with longstanding, unilateral involvement—may be best served with conservative management and regular monitoring. As illustrated by the case presented, patient education and coordinated care remain central to long-term outcomes in PFV.
Ready to Claim Your Credits?
You have attempts to pass this post-test. Take your time and review carefully before submitting.
Good luck!







