Pacifying a Parasite
A 26-year-old female presented with a 3-day history of blurry vision and dull pain in her left eye. She denied recent illness, trauma, or systemic symptoms. Her medical history was noncontributory, and she was not taking any medications. The patient recalled a similar episode in the same eye during childhood and reported being previously diagnosed with toxoplasmosis, although she did not receive formal treatment at the time.
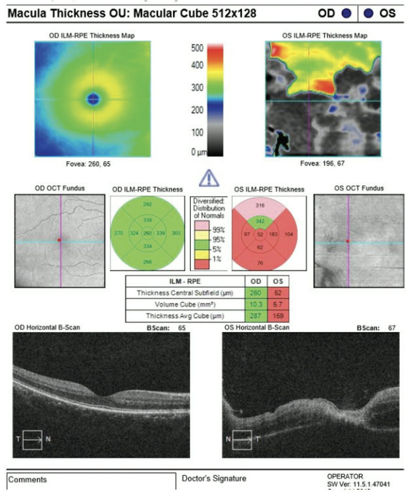
On examination, the patient’s VA was 20/20 OD and counting fingers at 5 feet OS. Her pupils were equal and reactive, with a trace relative afferent pupillary defect OS. IOP was 14 mm Hg OD and 13 mm Hg OS. Slit-lamp examination of the left eye revealed 2+ anterior chamber cell and flare, consistent with active anterior uveitis. Fundus examination of the left eye showed 2+ vitritis and a fluffy, white-yellow chorioretinal lesion inferotemporal to the macula with overlying hemorrhages. A pigmented chorioretinal scar was visible adjacent to the lesion (Figure 1). The right eye examination was unremarkable (Figure 2). OCT of the left eye demonstrated hyperreflectivity in the inner retina, shadowing, and underlying choroidal thickening (Figures 3 and 4). Serologic testing revealed elevated Toxoplasma gondii IgG and IgM antibodies, supporting active reactivation.




DIAGNOSIS, MANAGEMENT, AND FOLLOW UP
Based on clinical findings and a history of prior ocular toxoplasmosis, the patient was diagnosed with reactivated toxoplasmosis chorioretinitis OS. The characteristic lesion adjacent to a pigmented scar, along with positive serologies and ocular inflammation, were consistent with reactivation of latent infection.
The patient was started on oral trimethoprim-sulfamethoxazole (160 mg/800 mg) twice daily. Corticosteroids were withheld.
At her 1-week follow-up visit, her VA had improved to 20/60 OS, and the inflammation was noted as stable. She was prescribed oral prednisone 40 mg daily, to be tapered over 6 weeks, and antimicrobial therapy, to be continued for a full 6-week course.
Unfortunately, the patient was lost to follow-up.
DISCUSSION
Ocular toxoplasmosis is the leading cause of infectious posterior uveitis worldwide.1 It typically results from congenital or acquired infection with the protozoan Toxoplasma gondii. Following primary infection, the organism can remain latent in ocular tissue, with reactivation occurring months or years later, most often near prior scars. Studies show 30% to 50% of patients with ocular toxoplasmosis experience at least one recurrence, often within the first few years.2,3
Reactivation of toxoplasmosis chorioretinitis is characterized by focal necrotizing retinitis, vitritis, and sometimes anterior uveitis. The classic appearance—described as a “headlight in the fog”—reflects the white retinal lesion amidst dense vitreous inflammation.
Treatment typically includes antiparasitic agents such as trimethoprim-sulfamethoxazole in combination with systemic corticosteroids to reduce inflammation. Corticosteroids should only be started after antimicrobial coverage is initiated to avoid exacerbating infection.4
This case illustrates the importance of early recognition, tailored treatment, and timing of immunosuppressive therapy. When managed appropriately, patients can recover substantial visual function.
CLINICAL PEARL
In young immunocompetent patients with unilateral vision loss, vitritis, anterior uveitis, and a retinal lesion near a pigmented scar, reactivated ocular toxoplasmosis should be high on your differential. Early diagnosis and dual therapy with antimicrobials and corticosteroids are key to preserving vision. Reactivation occurs more frequently than many clinicians realize, underscoring the importance of maintaining suspicion in patients with compatible clinical findings and prior exposure.
Ready to Claim Your Credits?
You have attempts to pass this post-test. Take your time and review carefully before submitting.
Good luck!
Recommended
- Glaucoma
Rationalizing the Red: When RNFL Atrophy Is Not Glaucoma
Katherine Rachon, OD, FAAO, Dipl ABOKatherine Rachon, OD, FAAO, Dipl ABO







