The Future of Eye Care Is … Prevention
AT A GLANCE
- As technology and treatment evolve to allow early intervention and help prevent disease or progression, doctors must be willing to do their part and follow through on early findings and at-risk patients.
- Perpetually refining our understanding of the effect of timely treatment is essential for delivering cutting-edge eye care.
The concept of disease prevention has become a cornerstone of health care and a focus of all compassionate optometrists. Patient education based on family history, known genetic predisposition, or pre-existing comorbidity is now an everyday ritual for eye doctors. As technology and treatment evolve to allow early intervention and disease prevention or progression, doctors must be willing to do their part and follow through on early findings and at-risk patients.
Perpetually refining our understanding of the effect of timely treatment is essential for the delivery of cutting-edge eye care. This article offers a breakdown of some current and future technologies and treatments that help prevent the progression of different ocular diseases.
MYOPIA
Refractive care is the central tenant of optometry, and until recently, nearsighted correction had long been viewed strictly as a refractive disorder, overlooking the pathologies that are married to the condition. The earliest interventions can now help stave off a lifetime of disease risk by reducing axial length and slowing myopia progression. Identifying patients who will likely progress is the first step.1,2 Whether it be 0.05% atropine, orthokeratology, or center-distance multifocal lenses, multiple options exist, allowing a better fit for each of our patients.3
One new area of research that shows promise is repeated low-level red light therapy, with one study showing that two 3-minute sessions per day significantly slowed myopia progression.4,5
Myopia control is a growing frontier in optometry that is fully supported by extensive literature and should be integrated as such into all of our practice habits.3,6
OCULAR SURFACE DISEASE
With our understanding of the mechanisms leading to ocular surface disease and the armamentarium of treatments evolving for each pathway, identification and education at early stages have become more than possible.
Take, for example, evaporative dry eye, a mechanism at play in more than 85% of patients with dry eye, where meibomian gland dysfunction affects the lipid layer.7 Slit-lamp imaging and meibography are excellent teaching tools for patients who demonstrate early atrophy and morphological changes to the meibomian gland. One study revealed most children 4 to 17 years of age already show mild meibomian atrophy.8 If taken seriously by ODs, education regarding screen habits and foundational therapy can begin prior to symptom presentation. Meibomian gland dysfunction begins to exhibit changes prior to symptoms; using videography to demonstrate waxy production or complete obstruction can help change patient attention to foundational therapy, such as omega supplementation or lid warming therapy.
The new topical drop Miebo (perfluorohexyloctane ophthalmic solution, Bausch + Lomb) also fits nicely into the dry eye arsenal to augment the lipid layer of patients who have underlying meibum production issues.9
Demodex is another target to keep an eye on in patients who may have subclinical symptoms, and collarettes should be a key focus (Figure 1). Remember, Demodex has two varieties: folliculorum lives on the lashes, and brevis inhabits the meibomian glands, the differentiation of which may help with early intervention in chalazia cases.10,11

Time will tell, but with lotilaner ophthalmic solution 0.25% (Xdemvy, Tarsus Pharmaceuticals), we can now eradicate these lid mites and alleviate chronic blepharitis, collarettes, and lid erythema.12 Identification and education is key in caring for patients who may not otherwise talk about their symptoms; taking on their ocular surface disease at earlier stages will pay significant dividends in the long run.
KERATOCONUS
Keratoconus is another condition affecting younger patients, and is often uncovered during adolescence. Its prevalence is likely underreported in the literature, but has been estimated at about one in 500 to 3,000 people.13,14 Emergency visits, including corneal hydrops and corneal ulcers, are all too common for the patient with advanced keratonconus, but with proper identification and early treatment, we can intervene prior to a lifetime of ocular frustration (Figure 2).

Although technology analyzing corneal profile, pachymetry, and posterior float (ie, an Oculus Pentacam) would be helpful for picking keratonconus out of a lineup, the condition can be accurately diagnosed with a retinoscope. From there, it’s not enough to tell a patient about the hand they’ve been dealt and to quit rubbing their eyes; we have to educate them about the importance of early treatment with corneal crosslinking and its over-95% success rate.15
A new nonsurgical approach being investigated is the use of topical drops containing copper sulfate, known as IVMED-80 (Glaukos), which harnesses the cornea’s own self-repair abilities to induce crosslinking.16 Genetics play a large role in keratonconus, and the CLEK study found a 13.5% positive family history in those diagnosed with keratoconus.17 AvaGen’s genetic testing tool that was used to help screen family members and those considering refractive surgery is no longer available. This is an important reminder that as genetic tests become more accessible, we need to embrace and incorporate them in the clinic to provide the best patient care.
With keratoconus, severe complications can arise quickly, especially in patients whose eye care providers aren’t willing to collect a detailed family history, establish a baseline, or monitor for progression.
GLAUCOMA
Glaucoma care is one arena where structure and function are closely monitored at early stages. Although improvement in eye care has lowered the rate of blindness in diagnosed glaucoma, 50% of patients with glaucoma remain undiagnosed in developed countries.18,19 Thus, we tend to screen heavily for any patient who carries any risk, which can be time-consuming and a burden on those who may possess only physiologic characteristics of glaucoma. In effect, we screen 20% of our patients to find the 2%.20
The future of glaucoma care may be guided by genetic testing to help identify those at the greatest risk and tailor an approach based on genetic susceptibility. One recent study nearly tripled the known risk loci by looking at a sample size of more than 600,000 people. The study offered hope for the integration of genetic testing to a field that struggles to identify late presenters who have the greatest risk of going blind.21,22
Most childhood glaucomas have a well-defined genetic locus and are more easily defined with genetic testing; however, primary open-angle glaucoma is not caused by a single gene mutation, but rather a more complex gene variant that can include multiple genetic loci.23 Watch for these developments to blossom, as further patterns common to primary open-angle glaucoma allow conferred risk to be identified, hopefully encouraging the inclusion of glaucoma risk in direct-to-consumer testing.
For those patients who need early intervention to lower IOP, adherence can be a detriment to effective treatment.24 The iDose TR (Glaukos), an intracameral travoprost implant, offers a novel way to extend the duration of IOP lowering, helping patients eliminate costly and complicated drop schedules and promoting successful treatment.25
DIABETES
Identifying patients with diabetes earlier who are at the greatest risk of retinopathy progression can help develop cadence for follow-up and prevent conversion to advanced forms of retinopathy and ocular complications. Multimodal imaging including OCT and OCT angiography has allowed better understanding of structural retinal health when assessing retinopathy, but objective functional decline when assessing vision is an area that could help enhance our understanding of who is at the greatest risk of progression.
ERG technology is now accessible to our practices and even comes in a handheld portable unit, such as the RETeval device (LKC Technologies), which can lead to earlier detection of diabetes at the greatest risk of progression.26 The RETeval creates a diabetic retinopathy score by evaluating pupil response and ERG results. Applying this threshold, along with structural findings from examination and imaging, is one way we can start to detect the earliest progressors and prevent vision loss.27
Take, for example, a patient who presented initially for a diabetic evaluation and was found to have mild nonproliferative retinopathy (Figure 3). The 6-month follow-up interval that was set was not enough to monitor his progression based on structure alone. He returned as an emergency 4 months later with vitreous hemorrhage and proliferative changes (Figure 4). With better sensitivity for objective screening using ERG, this patient would have been recalled earlier, allowing for detection of his retinal progression.


AGE-RELATED MACULAR DEGENERATION
With the arrival of monoclonal antibodies that inhibit the complement pathway, such as pegcetacoplan injection (Syfovre, Apellis Pharmaceuticals) and avacincaptad pegol intravitreal solution (Izervay, Iveric Bio), we are seeing the exciting integration of treatments to slow progression to a late-stage, devastating form of age-related macular degeneration (AMD). However, long before this aging population reaches a threshold for treatment, optometrists are reviewing multimodal imaging and initiating proper management as the retina starts to show early signs of disease.
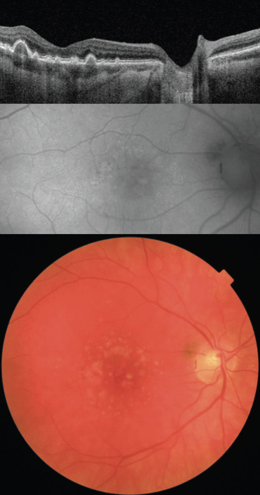
AREDS2 vitamins are routinely recommended for those with AMD (Figure 5). As far as potential supplementation to prevent inception, observational studies have long pointed to the protective nature of omega-3-rich diets in preventing AMD, but systematic reviews of studies including omega-3 have fallen short of finding a strong connection between the two.28,29

A group of researchers recently uncovered a key finding that shows how patients with AMD have lower peripheral retinal levels of docosahexaenoic acid, which is instrumental in the formation of long-chain polyunsaturated fatty acids and protective elovanoids.30 The study also found that women have lower levels of retinal docosahexaenoic acid later in life and are at greater risk of AMD. Although additional studies are needed, especially with attention to individual components of omega-3 in different disease staging, our role as optometrists in early AMD intervention and recommendation should always include lifestyle considerations, dietary recommendations, and nutritional education for our patients.31,32
prevention is key
Earlier intervention can have a lifetime of benefits for our patients. Taking advantage of technologies we currently have and guiding our patients to proper treatments is the gold standard of care, especially when we know disease can be slowed or prevented in its infancy.
Looking to the future of optometry, accepting new technologies as they come to market is something we all need to set our sights on, as we step forward into an exciting new horizon for eye care.
Ready to Claim Your Credits?
You have attempts to pass this post-test. Take your time and review carefully before submitting.
Good luck!







