Know Your Vitreomacular Interface Disorders
AT A GLANCE
- Anomalous posterior vitreous detachment, vitreomacular traction, vitreomacular adhesion, epiretinal membrane, lamellar holes, and full-thickness macular holes are types of vitreomacular interface disorders that often coexist because of their similar pathophysiology.
- Due to the commonality of vitreoretinal disorders and potential for associated sight-threatening sequelae, it is important that practitioners can accurately identify and differentiate these disorders.
Eye care practitioners routinely encounter vitreomacular interface disorders in clinical practice. These disorders, which include anomalous posterior vitreous detachment (PVD), vitreomacular traction (VMT), vitreomacular adhesion (VMA), epiretinal membrane (ERM), lamellar holes, and full-thickness macular holes (FTMH), often coexist because of their similar pathophysiology.
Due to the potential of significant sight-threatening sequelae, it has become increasingly important for practitioners to be familiar with the identification and management of these conditions. OCT provides a noninvasive, high-resolution means of visualizing the vitreomacular interface and a universal means of identifying and classifying these disorders.
ANATOMY OF THE VITREOUS
To understand vitreomacular disorders, it is important to be familiar with the anatomy of the vitreous body and the physiological changes that occur with age. The vitreous is composed of 98% water and 2% structural macromolecules and is the largest structure of the human eye.1,2 The vitreous is a clear, gelatinous body with a central core surrounded by an outer cortex composed of a dense collagen matrix.3 It is composed of type 2 collagen fibrils that are separated by water and hyaluronic acid.4 The vitreous is attached to the internal limiting membrane (ILM) of the retina at the vitreous base, optic disc, fovea, and retinal blood vessels.4
At birth, the vitreous is neatly arranged as a coherent, gel-like structure. As we age, the vitreous undergoes normal, age-related changes. Liquefaction of the vitreous body results in lacunae, or fluid-filled areas during a process known as synchysis.4,5 At the same time, the vitreous is decreasing in overall volume, resulting in syneresis, or anterior contraction of the vitreous body. There is a simultaneous breakdown of the collagen beam framework of the vitreous body and increase in fluid-filled spaces within the gelatinous body, resulting in separation of the posterior hyaloid of the vitreous from the retina (Figure 1). This insidious process usually begins perifoveally, with eventual detachment of the entire posterior vitreous cortex, including complete detachment from the optic nerve head and peripapillary region. Once the vitreous has separated from the optic nerve head, a clinically visible Weiss ring is present, indicating a complete PVD.

WHEN THINGS GO WRONG
An anomalous PVD occurs when vitreous liquefaction or contraction outpaces the detachment of the vitreous cortex. The International Vitreomacular Traction Study Group defines an anomalous PVD as a partial vitreous detachment with persistent attachment in the macular region.6 Various vitreomacular interface disorders manifest as a result of an anomalous PVD.7,8 VMA involves a perifoveal vitreous detachment and is synonymous with a stage 1 PVD or detachment of the vitreous in the perifoveal region. VMA is defined strictly by the anatomic features seen on OCT (Figure 2). The cortical vitreous is elevated above the retina, but there is no change to the retinal anatomy within a 3 mm radius of the fovea.

As PVDs evolve, residual cortical vitreous tissue may be left on the surface of the retina. Proliferation of this cortical vitreous debris can proliferate, resulting in ERM formation. ERMs are sheet-like membranes that develop superficially to the ILM of the retina (Figure 3). These structures are made up of glial cells and laminocytes (histiocytes), which expand and contract, resulting in anatomic changes (distortion) to the ILM.9 Traction imposed by the ERM can result in thickening of the underlying retina. Patients with ERM can be observed unless they are experiencing diplopia, metamorphopsia, or if their vision is 20/60 or less. It is appropriate to refer these patients to a retina specialist for possible intervention, including membrane peel with vitrectomy.10

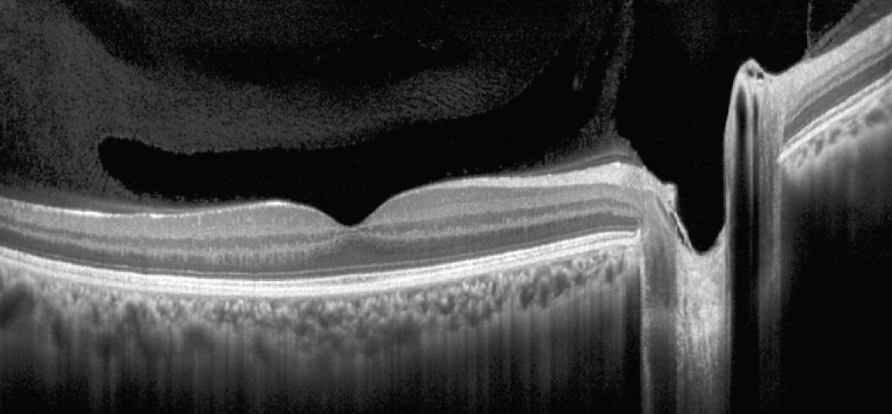
ERM and anomalous PVD may result in extended periods of vitreous contraction leading to VMT. VMT occurs when the posterior cortical vitreous partially separates from the retina and causes anteroposterior traction at the fovea.11 The tractional forces result in anatomic obscuration of the retina and may cause intraretinal pseudocyst formation and other complications, including retinal thickening, distortion, or neurosensory detachments (Figure 4).6 VMT is most common in the elderly population and in women, due to age-related vitreous changes and vitreous liquefaction associated with declining post-menopausal estrogen levels.12

VMT can be classified by the width of the vitreous attachment; focal VMT is defined as < 1,500 µm, and broad VMT is defined as > 1,500 µm. It is important to comment on the size of the VMT, as broad VMT is more likely to result in overall retinal thickening and intraretinal schisis, whereby focal VMT is associated with pseudocyst formation, foveal elevation, and FTMH formation.6
VMT is also categorized by the presence or absence of other comorbidities. An OCT with only VMT and no other pathology is termed isolated VMT, whereby an eye with VMT and other abnormalities is termed concurrent VMT. Treatment for VMT includes observation, pars plana vitrectomy, ocriplasmin (Jetrea, Inceptua), and/or pneumatic vitreolysis.
Progressive vitreoretinal traction may result in episodes of significant and firm traction on the macula, resulting in anatomic changes to the fovea. When there is complete disruption of all layers of the neurosensory retina, a FTMH may result. FTMH is defined as a full-thickness foveal defect from the ILM to the RPE allowing for direct communication between the vitreous and the subretinal space (Figure 5). FTMHs are classified based on size and presence and/or absence of VMT. Holes measuring < 250 mm at the narrowest point of separation on OCT are considered small, whereas holes measuring > 250 mm to < 400 mm are considered medium, and those > 400 mm are large.6 FTMHs should be referred to the retina specialist for possible ILM peel with pars plana vitrectomy.

It is important to dynamically scroll through all OCT images on a particular patient with suspected macular hole, as oftentimes the abnormal foveal contour is not full thickness in nature. OCT makes it easier to identify partial-thickness holes, which are classified as lamellar holes or pseudoholes. Lamellar macular holes will exhibit an irregular foveal contour, a defect in the inner fovea, and intraretinal splitting while maintaining the integrity of the photoreceptor line. A lamellar hole can be described as tractional or degenerative, both of which have distinct characteristics. A tractional lamellar hole will have an ERM, a foveoschisis, and will take on a mustache appearance (Figure 6). A degenerative lamellar hole has an irregular foveal contour, foveal cavitation with round edges, loss of foveal tissue, round edges, and may exhibit epiretinal proliferation, which can be seen on OCT as a dense, homogenous tissue superficial to the ILM. Macular pseudoholes are also partial-thickness holes with heaped foveal edges, concomitant ERM with central opening, no loss of retinal tissue (Figure 7).13


KNOW WHAT TO LOOK FOR
Given the commonality of vitreoretinal disorders and potential for associated sight-threatening sequelae, it is important that practitioners can accurately identify and differentiate these disorders. Ancillary testing, such as OCT, has played a critical role in the diagnosis, classification, and management of these conditions.
Ready to Claim Your Credits?
You have attempts to pass this post-test. Take your time and review carefully before submitting.
Good luck!







