Papilledema or Pseudopapilledema?
AT A GLANCE
- Although papilledema is often due to idiopathic intracranial hypertension, it may also be the result of a brain mass; thus, it is important to ask the patient open-ended questions.
- Performing ancillary tests for additional guidance and keen observation of the optic nerve is critical in managing these cases.
- When in doubt, always err on the side of caution and make any necessary consultations and referrals.
Papilledema is arguably one of the most concerning findings to encounter during a routine ocular examination. Even if the patient is not experiencing symptoms, intervention may be necessary. Differentiating true papilledema from pseudopapilledema may seem like an intimidating task, but by discussing the case below of a patient with asymptomatic bilateral disc edema, we will reveal important clinical pearls for tackling these tricky cases.
THE CASE
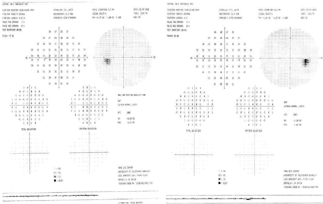
A 22-year-old female presented for a routine examination at the university eye clinic. Her ocular and systemic histories were unremarkable. Her VA was correctable to 20/20 OU. She passed a screening visual field test, and her IOP was 18 mm Hg OD and 19 mm Hg OS. On fundus examination, her optic discs showed bilateral elevation (Figure 1), prompting concern for optic disc edema. Given the lack of vision reduction, visual field loss noted on the screening test, and subjective change in vision, papilledema or pseudopapilledema were particularly suspected.

DIAGNOSTIC STEPS
When faced with a possible diagnosis of papilledema, consider the key steps below.
Step 1. Take a Thorough History
Be sure to take a case history to thoroughly cover these areas. Although papilledema is often caused by idiopathic intracranial hypertension (IIH), it may also be the result of a brain mass, so it is important to ask the patient open-ended questions, such as: “Have you noticed any recent changes with yourself?” The Idiopathic Intracranial Hypertension Treatment Trial (IIHTT) is the largest prospective study of IIH (n = 165). The most common symptoms that participants in the trial presented with were headache, transient vision loss, back pain, pulsatile tinnitus, and dizziness.1
In the trial, 75% of participants presented to the study site with a distinct pattern of visual field defects.2 They had either isolated or a combination of enlarged blind spot and localized nerve fiber layer defects, such as nasal step and arcuate defects. Only 12% of patients presented with clear visual fields; however, our impression is that clear visual fields are common with mild papilledema. It is worthwhile to note that about half of the patients enrolled in the IIHTT study presented with moderate to severe papilledema, whereas optometrists more often see mild papilledema. Therefore, a clear visual field should not exclude the possibility of papilledema. Our patient’s visual field did not show any defects (Figure 2).

Another important history component is the use of certain high-risk medications. Many medications have been linked to IIH, including oral contraceptives, isotretinoin (Accutane, Roche), estrogen, lithium, vitamin A derivatives, medications in the tetracycline family, and others.3 It is also critical to consider your patient’s demographics to rule IIH in or out. Demographics in the IIHTT showed that patients were primarily female, an average of 29 years of age, and had a mean elevated body mass index (BMI) of 39.9 kg/mm2.1
Our patient was asymptomatic for headache, nausea, recent medication changes, diplopia, back pain, tinnitus, and tingling extremities. Her BMI was 29.2 kg/mm2, which lies at the high end of the overweight range, and she reported a recent weight gain of about 15 pounds over the past year.
Step 2. Perform Ancillary Testing
Diagnosing papilledema versus pseudopapilledema can be challenging when a comprehensive examination is normal, apart from the optic nerve appearance, as in the case of our patient. However, additional testing can help to differentiate true papilledema.
B-scan ophthalmic ultrasonography has been considered the gold standard for detecting disc drusen. The hyperreflective lesion of drusen becomes apparent in the B-scan image, even if it is buried deep in the disc, which is indicative of optic disc drusen and pseudopapilledema. Despite its powerful diagnostic ability with drusen, its limited application to other conditions makes it less prioritized in private optometric offices, so not many are equipped with B-scan ultrasonography. Instead, they are often fitted with threshold visual field analyzers and spectral-domain OCT (SD-OCT) machines.
Despite its robust capability, SD-OCT alone is not diagnostic in differentiating papilledema from pseudopapilledema.4 The line scan does not reach deep enough to expose the buried disc drusen. Retinal nerve fiber layer (RNFL) analysis, however, can help judge the possibility of papilledema. With the stagnation of axonal flow due to congestion, true papilledema is likely to present with RNFL values that exceed the normative database, which was the case in our patient (Figure 3).

Step 3. Analyze the Optic Nerve
Careful analysis of the optic nerve is critical. Spontaneous venous pulsation (SVP) is a palpitation in the central retinal vein that pulsates with the heartbeat. It occurs when there is a delicate balance between intracranial pressure and IOP, but when intracranial pressure far exceeds IOP, SVP diminishes. The presence of SVP is a strong indication of normal intracranial pressure, which our patient did not possess.
In addition to SVP, optometrists should pay attention to several key features of the optic nerve (Figure 4). Obscuration of the disc margin commonly occurs with both papilledema and pseudopapilledema. Also, look at the color tone of the optic disc, as papilledema often presents with a hyperemic tone. The disc edema can also displace the retina, leading to concentric or horizontal retinal folds known as Paton lines. Careful observation of our patient’s optic disc showed several characteristic findings of papilledema.

MANAGEMENT
Although threshold visual fields were clear, our patient’s demographics, RNFL on OCT, and the detailed analysis of the disc led to the diagnosis of papilledema. She was promptly referred to neurology for further testing. MRI was performed to rule out a space-occupying lesion, and magnetic resonance venography was performed to rule out cerebral venous sinus thrombosis, which is correlated with intracranial hypertension5 and is potentially life-threatening. Magnetic resonance venography should be performed in all cases of suspected papilledema.
Our patient’s imaging was negative, and she refused a confirmatory lumbar puncture, despite recommendations. Nevertheless, a diagnosis of presumed IIH was given. She was placed on acetazolamide 1,000 mg daily, with gradual recovery over a few months.
ADVANCES IN OCT TECHNOLOGY
Advances in diagnostic technology that can distinguish papilledema are promising. The latest generation of OCT, including swept-source OCT and enhanced-depth imaging OCT (EDI-OCT), are often still cost-prohibitive; however, they bring more accurate diagnostic capabilities. Chang et al at the University of California, Los Angeles, neuro-ophthalmology team showed a comparable diagnostic accuracy of EDI-OCT versus B-scan ultrasonography in distinguishing between papilledema and pseudopapilledema.6
The Optic Disc Drusen Studies Consortium, formed by a group of American neuro-ophthalmologists, recommends the use of EDI-OCT to look for particular signs of optic disc drusen, such as hyperreflective margin and the presence of hyporeflective core.7 OCT angiography (OCTA) can potentially assist in diagnosis. Ghandhi et al reported loss of peripapillary microvasculature evidenced on OCTA;8 however, our impression of the usefulness of OCTA is mixed. Segmentation error appears to be common due to significant elevation of nerve tissue, which makes its application a bit tricky.
DON’T HESITATE TO REFER
It can be intimidating to navigate a case of bilateral optic disc edema in the setting of an asymptomatic patient during routine primary care examination. In distinguishing papilledema from pseudopapilledema, case history, assessment of clinical data, and analysis of the optic nerves are key. Performing ancillary tests for additional guidance and keen observation of the optic nerve is critical in managing these cases. Highly suspicious cases require prompt imaging. Depending on logistical hurdles, such as scheduling, emergency room referral may be necessary to rule out intracranial lesions. Even in less suspicious cases, always err on the side of caution and make any necessary consultations.
Ready to Claim Your Credits?
You have attempts to pass this post-test. Take your time and review carefully before submitting.
Good luck!
Recommended
- Glaucoma
Rationalizing the Red: When RNFL Atrophy Is Not Glaucoma
Katherine Rachon, OD, FAAO, Dipl ABOKatherine Rachon, OD, FAAO, Dipl ABO







