Glioblastoma Multiforme
AT A GLANCE
- Glioblastoma, or glioblastoma multiforme (GBM), is a type of glioma or astrocytoma, an infiltrative cancer that invades nearby regions of the brain but rarely metastasizes to other parts of the body.
- Patients with GBM usually present with varying degrees of symptoms ranging from headache, confusion, memory loss, motor weakness, and vision loss.
- Current standard of care for GBM includes tumor resection with concurrent radiotherapy and chemotherapy.
- Optometrists are in a unique position to detect early signs of GBM, which can help in early diagnosis and increase survival rate.
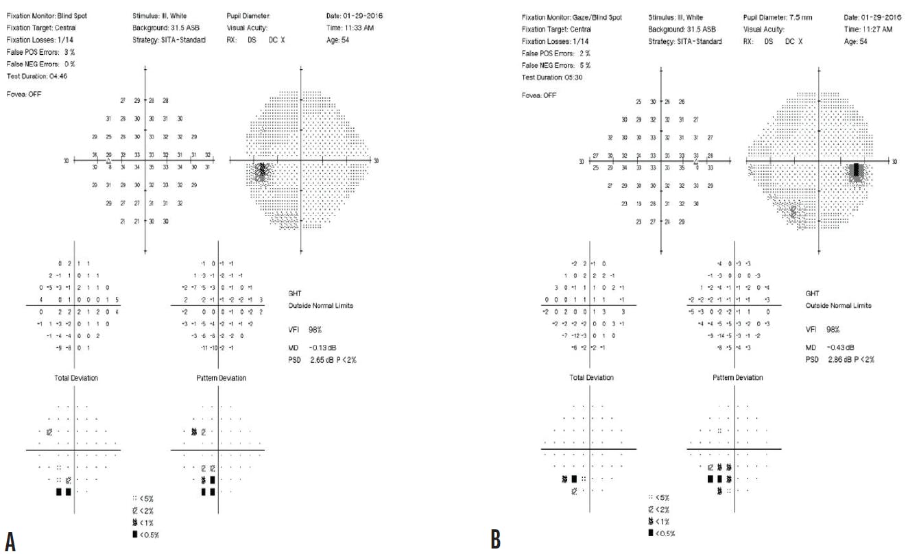
A 54-year-old White male presented complaining of progressive peripheral vision loss in his left eye lasting 2 months. Upon questioning, he reported having difficulty driving, headaches several times a week, issues with depth perception, and memory loss. He denied experiencing nausea, vomiting, or slurred speech. The patient’s ocular and medical history were unremarkable. His BCVA was 20/20 OU, and his pupils were round and equally reactive to light, without an afferent pupillary defect. Extraocular motilities were full and unrestricted. Confrontation visual fields were restricted inferiorly OU. Slit-lamp examination was unremarkable and IOP was 16 mm Hg OU. Dilated fundus examination revealed a small choroidal nevus OD. Automated visual field testing (24-2 SITA Standard) demonstrated a left homonymous inferior quadrantanopia (Figure 1).

COURSE OF ACTION
Given the presence of visual field defects with the patient’s neurologic symptoms, I immediately referred him to urgent care and neurology for imaging and evaluation to rule out stroke or a space-occupying lesion. A CT scan of his head was performed, which showed a cystic and solid lesion of the right cerebral hemisphere. An MRI of the brain with and without contrast was ordered for further evaluation. The MRI images showed a large, enhancing cystic lesion in the right parietal lobe and a solid, nonenhancing lesion in the right frontal white matter (Figure 2). Differential diagnoses included lymphoma, tumefactive multiple sclerosis, multifocal glioma, and metastasis. A PET scan was performed to rule out malignancy and metastasis.

Neurology immediately referred the patient to neurosurgery for a brain biopsy. The patient underwent right occipital craniotomy for tumour biopsy, which revealed a glioblastoma multiforme. The patient subsequently underwent tumour resection followed by radiation.
DISCUSSION
Glioblastoma, also known as glioblastoma multiforme (GBM), is a type of glioma or astrocytoma, a cancer that forms from star-shaped cells in the brain called astrocytes.1,2 GBM is infiltrative and invades nearby regions of the brain, but rarely metastasizes to other parts of the body. Primary glioblastomas, which tend to be more aggressive, are the most common form of glioblastoma (90%) and tend to affect older patients. Secondary glioblastomas typically progress from lower-grade astrocytic tumors and evolve over time. These are more common in younger patients and are usually located in the frontal lobe.3
Gliomas are the most commonly occurring form of brain tumor. GBM is the most malignant form of glioma, causing 3% to 4% of all cancer-related deaths.4 The World Health Organization defines GBM as a grade IV cancer characterized by malignancy, mitotic activity, and predisposition to necrosis.5,6 Optometrists are in a unique position to detect early signs of GBM, which can help in early diagnosis and increase the survival rate.
Patients with GBM usually present with varying degree of symptoms ranging from headache, confusion, memory loss, motor weakness, and seizures. Other symptoms include hearing and vision problems, personality changes, imbalance in gait, and incontinence.7 Symptomatology varies based on tumor location.
Optometrists encounter patients presenting with headaches on a daily basis, making it critical to recognize when headaches may be related to brain tumors. Emergent brain imaging should be performed on patients with red flag symptoms (see Red Flag Headache Symptoms).
Red Flag Headache Symptoms
The headache symptoms below are red flags that warrant emergent imaging.9
- Frequently waking up in the morning with a headache
- Headache that wakes a person up at night
- Headache pain that changes as the person changes position
- Headache pain that does not respond to standard pain relievers
- Headache accompanied by weight loss, increased pressure in the back of the head, dizziness, seizures, hearing loss, weakness or numbness on one side of the body, and uncharacteristic moodiness and anger.
Ocular symptoms of glioblastoma are similar to symptoms associated with other space-occupying lesions, which can include blurred vision, visual field loss, spatial neglect, cranial nerve palsies, optic disc edema or atrophy, relative afferent pupillary defect, and gaze-included nystagmus.
Getting a detailed history is crucial for these patients, particularly a thorough review of symptoms, including any weight loss, dizziness, muscle weakness, headache, or loss of appetite. In many cases, visual field loss may be the only manifestation without presence of other neurologic symptoms. Visual field testing may prove useful for early detection and monitoring clinical signs of progression because up to 50% of patients with lesions in the optic nerve pathway show visual field loss.8 In fact, one study of two GBM cases found that visual field testing predated MRI by months.8 Thus, new or worsening visual field defects may indicate signs of tumor progression in GBM and should prompt further investigation.
TREATMENT AND PROGNOSIS
The current standard of care for GBM includes tumor resection with concurrent radiotherapy and chemotherapy. Complete resection is impossible due to the glioblastoma’s capacity to invade surrounding brain tissue.9 After surgery, radiation therapy is used to kill leftover tumor cells and to attempt to prevent recurrence. GBM is the deadliest form of brain tumor, with a more than 90% mortality rate at 5 years. Factors that affect survival rate include older average age of onset, tumor location, and poor current understandings of the tumor pathophysiology.4
There is a desperate need to identify new therapies to prevent and treat GBM. The development of proteomic, genetic, and epigenetic tools may one day improve survival rates.10 As a disease with a poor prognosis, GBM treatment should aim at preserving and even improving the quality of life of the patient and the caregiver.
OUR ROLE
As primary eye care providers, it is important to obtain a detailed history on any patient who presents with headaches or unusual symptoms that indicate neurologic involvement. It is imperative to obtain diagnostic testing, such as visual fields, to help identify any neurologic visual field deficit and coordinate with the primary care provider to order neuroimaging in a timely manner. Early diagnosis, localization, and management of space-occupying lesions is critical to patient survival.
Ready to Claim Your Credits?
You have attempts to pass this post-test. Take your time and review carefully before submitting.
Good luck!
Recommended
- Neuro-Optometry
Papilledema Associated With Meningioma
Rick Savoy, OD, MPH; Christopher J. Borgman, OD, FAAORick Savoy, OD, MPH; Christopher J. Borgman, OD, FAAO







