A Medical Optometrist’s Guide to MRI
AT A GLANCE
- If a visual field defect can’t be explained based on ocular presentation alone, additional testing, including an MRI, may be necessary in order to make a proper diagnosis.
- When ordering neuroimaging, create open communication with the radiologist and work together to improve the speed and accuracy of the diagnosis.
- MRI may be one of our best tools, but individual case evaluations determine the true necessity of this diagnostic device.
Neurovisual disorders are commonplace in my practice because I primarily serve a geriatric patient population that often presents with ocular disease and visual symptoms associated with neurologic disorders. An MRI is a critical part of diagnosing and developing a treatment plan for these patients. This article serves as a guide for when and how an optometrist should order an MRI.
WHEN AND WHY TO ORDER AN MRI
Below are some scenarios in which you would want to consider ordering an MRI (see also MRI Considerations).
MRI Considerations
Ordering an MRI is advisable when encountering any of the following:
VF Defects
- Unilateral or bilateral defects unexplained by ocular pathology
- Defects that respect the vertical midline
- Homonymous, quadrantanopia, or bitemporal defects
Optic Nerve Presentations
- Unilateral optic nerve disc edema with pain on eye movement, proptosis, suspicion or history of demyelination, or extraocular muscle restrictions
- Bilateral optic nerve disc edema
- Optic nerve disc pallor unexplained by ocular history
Unique Diplopia Presentations
- Young patients with a nonconcomitant deviation
- Skew deviation
- Internuclear ophthalmoplegia
- Pupil involvement
- Ptosis
- Pain
- Ocular trauma
Once You’ve Established That Imaging Is Needed:
- Confirm that MRI is indeed what is needed, or if magnetic resonance venography or magnetic resonance angiography would be better suited
- Determine the appropriate timeline (urgent vs routine)
- Decide whether you need to use contrast dye, and if so, ensure that the patient:
- Does not have a previous allergy to contrast dye
- Receives a creatine blood test first if they are 70 years of age or older and/or does not have a history of diabetes or renal insufficiency
- Identify any special protocols that may be necessary (eg, fluid-attenuated inversion recover, diffusion-weighted imaging, fat suppression)
- Check for factors prohibiting an MRI, including:
- Pacemaker
- Metallic implant or foreign body
- History of ocular foreign body, which requires an orbital x-ray prior to brain MRI
- Determine whether the patient’s weight or anxiety level will complicate the MRI. If so, alternative options include:
- Requesting an open MRI
- Working with the primary care physician to prescribe medication for anxiety
Visual Field Defects
If you are unable to explain a visual field (VF) defect based on ocular presentation alone, you may need to conduct testing, including an MRI, in order to make a proper diagnosis. The most common clinical findings involving a unilateral VF defect that may require an MRI include reduced visual acuity, reduced color vision, and an afferent pupillary defect. Bilateral VF defects often require an MRI, especially when showing respect to the vertical midline. Defects may initially appear glaucomatous in nature, but if the defect does not match the optic nerve examination, you will need to consider other potential diagnoses. In the following case, I ordered MRIs with and without contrast after identifying bilateral VF defects.
Case No. 1
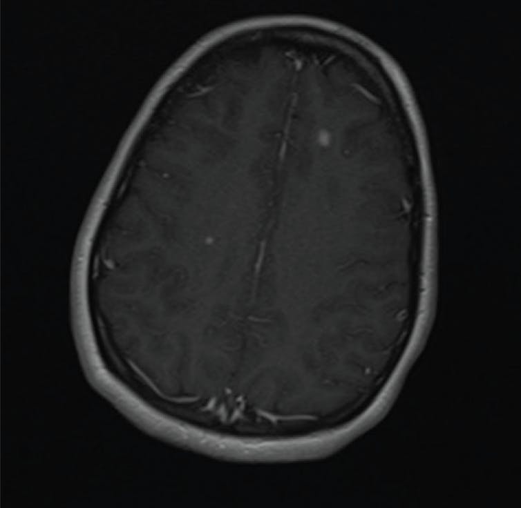
A 74-year-old female presented as a new patient and was already using topical drops to treat her glaucoma, with no other ocular complaints. Her 24-2 VF revealed a temporal defect in her right eye showing respect to the vertical midline (Figure 1). An MRI of the brain revealed “multiple bilateral extra-axial masses highly suspicious for sites of dural-based and extradural metastatic disease, including frontal bone involvement that resulted in substantial local mass effect” (Figure 2). It was later determined that her pancreatic cancer had metastasized to her brain.


Optic Nerve Disc Edema
Bilateral optic nerve disc edema prompts urgent neuroimaging to rule out space-occupying lesions via MRI and venous sinus congestion via magnetic resonance venography (MRV, a type of MRI study that provides images of veins without the surrounding tissue). Unilateral disc edema can also prompt neuroimaging based on clinical presentation (see MRI Considerations).
Case No. 2
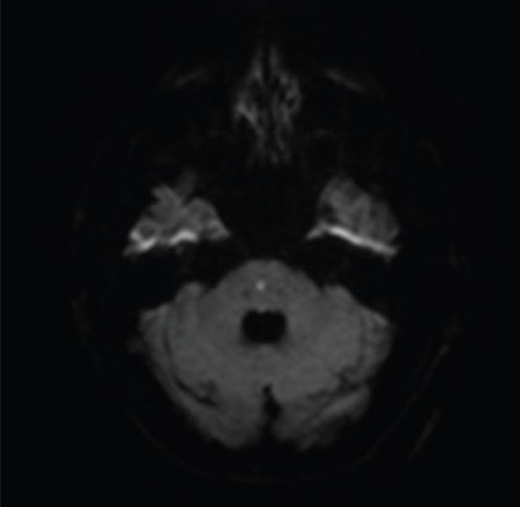
A 25-year-old female presented with complaints of soreness and missing parts of her vision in her left eye. Findings in her right eye were normal, but her left eye showed reduced visual acuity, an afferent pupillary defect, reduced color vision, pain on eye movement, and subtle optic nerve disc edema (Figure 3). I ordered an MRI of her brain with and without contrast, which revealed “multiple lesions exhibiting contrast enhancement suggesting active phase of demyelination” (Figure 4). Additionally, MRI of the orbits revealed “enhancement of the intraorbital segment of the left optic nerve, indicating active demyelination in the setting of multiple sclerosis.”


Binocular Diplopia
Most diplopia cases in my practice are ischemic in nature and occur secondary to poorly controlled cardiovascular disease. I do not order an MRI in these cases unless the patient’s disease progresses or does not self-resolve by 90 days. I occasionally see diplopia that does not match the typical ischemic risk factor profile, and I order an MRI with certain presentations (see MRI Considerations).
The following case examples highlight a patient with diplopia for whom I ordered an MRI of the brain with and without contrast.
Case No. 3
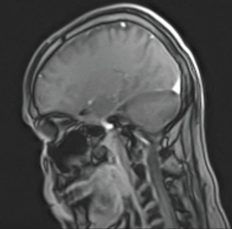
A 39-year-old male presented with symptoms of diplopia when looking to the left. Examination showed a constant left esotropia that corrected with 8 base out prism in the primary gaze and 14 base out in the left gaze. He had a nonconcomitant deviation consistent with a left sixth nerve palsy. MRI revealed “multiple T2 and FLAIR hyperintense lesions in the subcortical and periventricular white matter with a large more conglomerate region of T2 hyperintensity in the left frontal subcortical white matter suspicious for demyelinating disease/multiple sclerosis” (Figure 5). I referred this patient for a neurology consultation, which indeed revealed a diagnosis of multiple sclerosis.

Case No. 4
A 60-year-old male presented with diplopia after being discharged from the hospital with a normal CT scan of the brain and poor control of his cardiovascular disease. Examination revealed a very large vertical skew deviation, lack of superior oblique isolation on the Parks-Bielschowsky Three Step Test, and binocular torsion complaints. I asked the radiologist to focus on the brain stem in the MRI, which revealed a “tiny acute infarct in the central aspect of the pons” (Figure 6).

Other Findings That Warrant an MRI
Acute Pupillary Changes. Anisocoria requires careful evaluation, and a pupil-involved third nerve palsy investigation should include magnetic resonance angiography (MRA) of the circle of Willis to rule out an aneurysm. MRA is a type of MRI study that provides images of arteries without the surrounding tissue. The third nerve can be compressed by an aneurysm, which would be revealed on an MRA.
Central Retinal Artery Occlusions. When I diagnose this condition, I refer patients to the emergency department for a stroke evaluation, including an MRI of the brain to rule out a corresponding cerebrovascular accident.
Optic Nerve Disc Pallor. When unexplained by ocular history, an MRI should be considered to rule out a compressive etiology.
Proptosis. Bilateral cases are often signs of Graves orbitopathy, and unilateral cases can have many differential diagnoses.
Ptosis. Although there are many differential diagnoses, neuroimaging should be considered if there is concern of third nerve involvement. MRI should be used to rule out compression on the eyelid and MRA to rule out compression on the third nerve.
HOW TO ORDER AN MRI
Before you take the plunge and order your first MRI, there are a few things you can do to make the process a bit easier. First, familiarize yourself with your local radiology department protocols (see MRI Considerations). A written order with an approved diagnosis code is always required. Train your staff to assist in prior authorizations and to be available for peer-to-peer review with insurance companies. Although CT scans may be more cost-effective, MRI is the superior study for many diagnoses that optometrists investigate, including tumors, soft tissue change, ischemia, and demyelination.
I encourage you to view the MRI images yourself in addition to reading the radiologist’s interpretation. Become familiar with the three image planes (axial, coronal, and sagittal).1 Images are characterized by their longitudinal relaxation time (ie, T1 vs T2); T1 is longitudinal relaxation, or spin-lattice, and T2 is transverse relaxation, or spin-spin. T1-weighted images show the orbits and cerebrospinal fluid as dark, and T2-weighted images show the orbits and cerebrospinal fluid as bright.2
Additional techniques can be employed to obtain high image quality. The use of gadolinium dye enhances views and diagnosis of soft tissue changes, and fluid attenuated inversion recovery images show abnormalities as bright and improves visibility of demyelination. Diffusion-weighted imaging, a type of MRI, improves sensitivity for detecting acute strokes.2 Finally, fat suppression can be applied to both T1 and T2 images to suppress normal adipose tissue signal and provide enhanced views of the optic nerve.3
COMMUNICATION IS KEY
In addition to providing an applicable diagnosis code, I recommend providing details from your examination to the radiologist. For example, if you see a bilateral right homonymous VF defect, instruct the radiologist to carefully review the left side of the occipital lobe.
One of the best things about working with patients who have neuro-optometric disorders is that we can often accurately predict where we’ll find the pathology. Create open communication with the radiologist and work together to improve the speed and accuracy of the diagnosis. Also communicate those findings to the patient’s primary care physician. As optometrists, we may be able to provide a diagnosis for the patient’s visual symptoms, but it is best to approach the management and follow-up as a team.
We all evaluate VF defects, optic nerve disc edema, diplopia, proptosis, afferent pupillary defects, and ptosis that do not require MRI. MRI may be one of our best tools, but individual case evaluations determine the true necessity of this diagnostic route. Frequent exposure to neurovisual disorders will improve the optometrist’s comfort and confidence with ordering an MRI.
Ready to Claim Your Credits?
You have attempts to pass this post-test. Take your time and review carefully before submitting.
Good luck!
Recommended
- Glaucoma
Rationalizing the Red: When RNFL Atrophy Is Not Glaucoma
Katherine Rachon, OD, FAAO, Dipl ABOKatherine Rachon, OD, FAAO, Dipl ABO







