November/December 2021

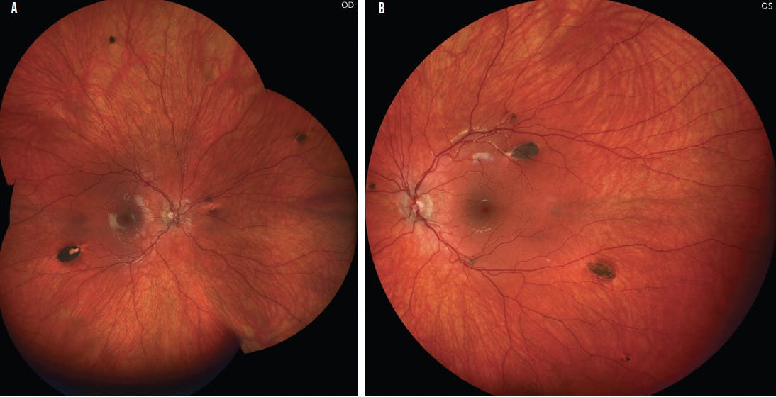
Familial Adenomatous Polyposis

Trust your gut.
Familial Adenomatous Polyposis
Completing the pre-test is required to access this content.
Completing the pre-survey is required to view this content.

Ready to Claim Your Credits?

You have attempts to pass this post-test. Take your time and review carefully before submitting.

Good luck!

Register

We're glad to see you're enjoying Modern Optometry…
but how about a more personalized experience?

Register for free