The Missing Emmetrope
AT A GLANCE
- Only about 50% of Americans attend annual eye exams.
- A small percentage of the public is aware that a comprehensive eye exam can detect signs of systemic conditions such as high blood pressure, diabetes, autoimmune disorders, and thyroid disease.
- Because many vision-threatening eye diseases are age-related, the problem of ignoring primary eye care increases in older individuals.
Only about half of all Americans get annual eye examinations.1,2 Non–vision-corrected emmetropes, who by definition don’t need an update of their spectacle or contact lens prescriptions, are probably overrepresented among the half who don’t.
Because they can “see just fine,” non-corrected individuals don’t think an annual exam is needed. According to VSP, only 1% of the public is aware that a comprehensive eye examination can detect signs of systemic conditions such as high blood pressure, diabetes, autoimmune disorders, and thyroid disease.2
Ignoring the need for primary eye care is a problem for individuals of any age, but, given that most sight-threatening eye diseases are age-related, the problem becomes more urgent as people reach their 40s, 50s, and beyond. This is the hook we need to set in our emmetropic patients on those rare occasions when we do see them in our offices. Consider the following.
DISEASES OF AGING
Diabetes affects 13% of US adults. About 27% of people with diabetes—8.1 million Americans—do not know they have the disease.3 Although diabetes affects people of all ages, the risk of ocular complications such as diabetic retinopathy and cataracts increases with age, particularly for those who have experienced many years of poor glycemic control. Age-related macular degeneration, as its name implies, occurs mostly in older adults.
The prevalence of glaucoma also increases with age, especially among African Americans. About 3% of Americans have glaucoma. That rate is double (6%) among Black Americans age 69 years and older and quadruple (12%) among Black Americans older than 80 years.4 As we know, this silent thief has no symptoms until irretrievable vision loss occurs, so the earlier we can identify ocular hypertension and improve IOP control, the better.
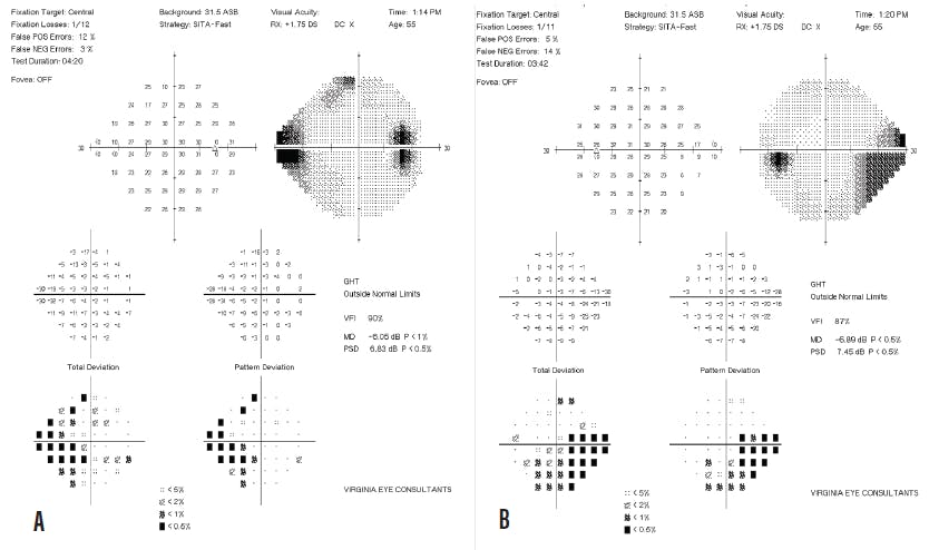
I recently saw a 55-year-old Black man, a patient who hadn’t returned for an eye exam in years. He came in because of blurry vision at near, which I had to explain to him was due to advanced glaucoma with visual field loss (Figure). I wish I had been able to detect and treat it earlier.

Spend even a few minutes perusing the group ODs on Facebook and you’ll find plenty of stories of optometrists who have caught other serious issues during a routine eye exam, including brain tumors, myeloma, stroke, pseudotumor, and carotid artery blockage. Clearly it would be better if we could get these reluctant patients—and nonpatients—into our offices on a more regular basis.
UNDERTREATED CONDITIONS
There are also several common ocular conditions that may not be adequately or appropriately treated in many individuals. For example, more than 38 million US adults have symptoms consistent with dry eye disease.5-7 These individuals may be using one or more of the numerous over-the-counter artificial tears or red-eye relievers that don’t address the underlying condition.
Further, during the spring and fall (and for some, throughout the year), ocular allergy has a huge impact on quality of life for many people. Allergic conjunctivitis affects as much as 40% of the North American population.8,9 Who better to educate and treat people with these conditions than an optometrist?
GETTING PATIENTS IN THE DOOR
When these missing emmetropes finally make an appearance in our offices, we have the opportunity to evaluate their eye health and overall health and potentially interest them in sunglasses, aesthetic treatments, or presbyopia correction. Perhaps some of these patients with dry eyes or allergies would benefit from treatment or are candidates for nonsurgical treatment of blepharoptosis. Some may need a referral for cataract surgery, corneal collagen crosslinking, or other ophthalmic care that we can comanage.
Marketing to people who don’t know they need your services is a challenge. Below are some strategies that have been proven to work.
Educate
People don’t know what they don’t know. Take advantage of local media opportunities, health fairs, and other forums to educate the public about the reasons why eye exams are important even for those who don’t wear glasses. According to the American Optometric Association’s American Eye-Q Survey, 72% of respondents who don’t use corrective eyewear said they would be more likely to get an eye exam if they knew that diseases could be detected during an exam.1 Optometrists have the potential to identify more than 270 systemic diseases during a comprehensive eye exam.10
Lead With News They Want
A general “take care of your health” message won’t resonate with everyone. Your advertising and social media posts should focus on seasonal topics such as ocular allergies and summer sun, and offer solutions to age-related problems such as baggy eyelid skin or presbyopia. Take advantage of public awareness months to promote workplace wellness, eye safety, children’s vision, etc.
In our practice, we are already telling patients that presbyopia-correcting eye drops will be an option in the near future (see Presbyopia Drops Are Coming). This new category of eye drops will have the potential to bring many missing emmetropes in the 40-to-60-year age range into our offices. Take the time now to hone your messaging about this new path for your aging patients.
Presbyopia Drops Are Coming
A topical presbyopia treatment option could have the potential to motivate emmetropes to make an appointment for an eye exam. These drops will likely be a great choice not only for emmetropes who have never worn glasses, but also for post-LASIK emmetropes and for pseudophakes who have good distance vision with monofocal IOLs but would like better near vision. Several drops are in various stages of development (Table).

As these drops become available, pharmaceutical companies will likely invest heavily in TV commercials and other direct-to-consumer marketing to bring awareness to presbyopia and the new treatment options.
In general I think we can expect huge demand from emmetropes for these presbyopia-correcting drops. After all, half of all people 40 to 59 years old—the key demographic for these drops—are emmetropes.1
1. Vitale S, Ellwein L, Cotch MF, et al. Prevalence of refractive error in the United States, 1999-2004. Arch Ophthalmol. 2008;126(8):1111-1119.
Mine Your EHR
Use your electronic health records system to plan targeted internal marketing campaigns. Although this will predominantly reach current patients, you may also attract patients like the one I mentioned earlier, the man with glaucoma who had skipped coming in to see me for several years. You may also reach your existing patients’ friends, partners, and colleagues through word of mouth.
Use Your Existing Patients
Do your current patients know all the services you provide? Have you asked your patients about their family history of diseases and tried to determine how many may be genetically based or inherited? Glaucoma is a great example. Wolfs and coauthors found that the first-degree relatives of glaucoma patients have a 22% lifetime risk of developing glaucoma themselves, in comparison to a 2.3% risk for relatives of healthy controls.11 Asking questions of your existing patients is an opportunity to address unmet needs.
Be Creative With Social Media
Because social media posts are easily shared, liked, and commented on, they are a great way to educate and build awareness—and buzz—about new treatments.
ENHANCING QUALITY OF LIFE
Ultimately, I want patients to know that coming to our offices can enhance their quality of life. We can help them look good, feel good, and see well. Those are things that even emmetropes won’t want to miss.
Ready to Claim Your Credits?
You have attempts to pass this post-test. Take your time and review carefully before submitting.
Good luck!
Recommended
- Contact Lens Fiscal Review for a Successful Q1
Managing Margins Without Sacrificing Care
Kriti Bhagat, OD, FAAOKriti Bhagat, OD, FAAO - Contact Lens Fiscal Review for a Successful Q1
2025 Year-End Contact Lens Clinical Review
Neena James, ODNeena James, OD







