Glaucoma Suspect Identified: Now What?
AT A GLANCE
- A diagnosis of open-angle glaucoma suspect is established by the presence of a consistently elevated IOP, a suspicious-appearing optic nerve, or an abnormal visual field.
- Appropriate baseline testing for a glaucoma suspect includes IOP, optic nerve exam, OCT, visual fields, and angle assessment.
- If a diagnosis of glaucoma is not confirmed with baseline testing, periodic follow-up is needed to monitor for conversion.
A 64-year-old woman comes into the office because she broke her glasses. During the course of her examination, a certain outlier identifies her as being at risk for the development of glaucoma. What is that outlier, and what are the next steps in this common patient care scenario?
GLAUCOMA SUSPECT DEFINED
An excellent definition of glaucoma suspect is found in the American Academy of Ophthalmology’s Preferred Practice Guidelines for primary open-angle glaucoma (POAG) suspect: “A diagnosis for [POAG] suspect is established by the presence of one of the following conditions: a consistently elevated [IOP], a suspicious-appearing optic nerve, or abnormal visual field.”1
In other words, clinicians must be hyperaware of the triad of nerve, field, and IOP. When an outlier in one or more of those areas is found, further investigation is warranted.
RISK FACTORS FOR CONVERSION
Identifying a patient as a glaucoma suspect and assessing his or her risk of future glaucomatous damage is a clinical judgment based on analysis of the patient’s clinical findings and risk factors.
Several clinical findings are considered risk factors for the development of glaucoma. Elevated IOP is the leading risk factor for the development of glaucoma and the only risk factor in which alteration has been proved to reduce the risk of disease progression. Risk factors involving the status of the optic nerve include increased cup-to-disc ratio, presence of optic disc hemorrhages, thinning of the retinal nerve fiber layer (RNFL), and RNFL defects.
Other ocular findings that increase one’s risk of developing glaucoma include thin central corneal thickness, lower corneal hysteresis, the presence of pseudoexfoliation, and the presence of visual field defects.
In addition to these clinical findings, there are several other aspects of a patient history that increase an individual’s risk of developing glaucoma, including increased age, a positive family history of glaucoma, or a personal history of certain systemic medical factors including conditions involving vasospasm (such as migraine headaches and Raynaud syndrome), systemic hypotension, obstructive sleep apnea, diabetes, cardiovascular disease, and smoking.
CASE PRESENTATION
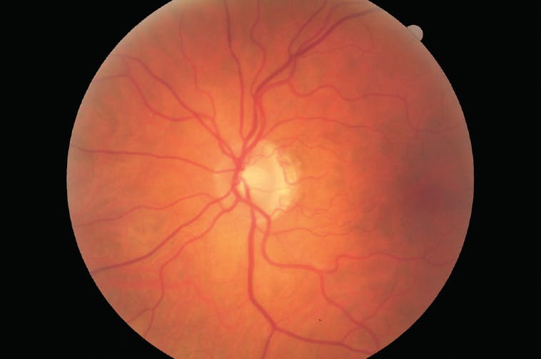
The 64-year-old woman mentioned at the beginning of this article has IOPs of 24 mm Hg OD and 20 mm Hg OS. Her refractive error is +2.50 OD and +2.75 OS with reduced BCVA secondary to visually significant nuclear sclerotic cataracts, graded NS2. Her Van Herick angle is graded at 3 OD and OS. Her frequency doubling screening visual field is unremarkable. Cup-to-disc ratio is 0.4/0.5 OD and OS (Figures 1 and 2).


The outliers in this presentation include IOP, angle, and mildly enlarged cup-to-disc ratio with vertical elongation.
WHAT ARE THE NEXT STEPS?
The first step after identifying a patient as a glaucoma suspect is to ensure that the patient is properly educated on this finding and on its significance. Providing patients with appropriate education on the nature of their findings should help to ensure that they understand the importance of returning for follow-up care to complete both baseline testing and future follow-up testing to monitor for progression.
It is important to stress the seriousness of the findings, while also emphasizing that the condition can be managed with appropriate care and follow-up exams and thus should not be scary to the patient.
A comprehensive glaucoma workup includes evaluation of IOP on several occasions at different times of the day, optic nerve evaluation with photographic and OCT documentation, visual field testing, and angle assessment.
IOP
IOP has circadian variation, and it also fluctuates day to day; thus, it is important to obtain multiple IOP measurements at various times of day in patients you suspect are at risk of developing glaucoma. This will give you the best picture of these patients’ true IOP range. Documenting the highest IOP, or Tmax, is a helpful metric in differentiating POAG from normal tension glaucoma.
Optic Nerve
Optic nerve head assessment with fundus biomicroscopy and photos is critical. The clinician should evaluate the optic nerve size and cup-to-disc ratio, with particular attention to whether the nerve obeys the ISNT rule.
The ISNT rule states that, in normal eyes, neuroretinal rim thickness follows the pattern of inferior > superior > nasal > temporal. The ISNT rule is often “disobeyed” in glaucoma, and this finding should arouse suspicion.2 In evaluating disc size, a small amount of cupping may be significant in small discs, whereas large discs may look suspicious and still be physiologic. An increased cup-to-disc ratio or a difference in cup-to-disc ratio of 0.2 between the eyes should increase suspicion for glaucoma.
Furthermore, the clinician should be careful to evaluate the optic nerve for disc hemorrhages and RNFL defects. Detection rates for disc hemorrhages have been found to be surprisingly low on clinical examination alone, but they are much more frequently detected on review of optic nerve photos.3 Patients with ocular hypertension with a disc hemorrhage more frequently developed glaucomatous visual field defects than patients with ocular hypertension without a disc hemorrhage.4
Glaucomatous RNFL loss can be diffuse or localized in the form of a wedge-shaped defect. Localized RNFL defects are observed in ~20% of glaucomatous eyes and are usually located in the inferior temporal and superior temporal regions. Localized RNFL defects are often easier to uncover in early glaucoma because defects often widen as the disease worsens. The use of a red-free filter can enhance one’s ability to pick up RNFL defects.5
OCT
OCT is an excellent tool for evaluating risk in a glaucoma suspect. Most OCT instruments can evaluate both the RNFL and ganglion cell layer and compare patients to a normative database. Most instruments will divide the RNFL and ganglion cell layer into sectors and assign a green color to sectors that fall into the category of 5% to 100% of age-matched controls, yellow for 1% to 5%, and red for less than 1%. Care must be taken in dealing with high myopes or high hyperopes, as most databases do not include these patients.
Patients with an RNFL thickness of less than 79 µm or a between-eye difference of more than 9 µm must be evaluated closely.6,7 Regarding ganglion cell layer analysis, a between-eye asymmetry greater than 5 µm or an asymmetric pattern across the temporal horizontal raphe must be investigated further.8
Visual Fields
Evaluating visual function with standard automated perimetry is helpful for detecting visual field loss and for monitoring the rate of visual field change over time. Visual field testing may be unremarkable in early glaucoma. A study by Wollstein et al found that RNFL loss of approximately 25% in the superior and inferior quadrants is necessary for a detectable visual field defect to occur.9
One of the most commonly performed visual field tests is the Humphrey (Carl Zeiss Meditec) 24-2 visual field, which tests 54 points (each 6° apart) in the central 24°, except for nasally where it extends 30°. The downfall of this test pattern is that it tests only 12 points within the central 10° of the visual field and thus lacks detailed information from this area. This means that glaucoma suspects presenting with initial parafoveal scotomas may not be detected with this test pattern. It is for this reason that the 10-2 visual field pattern, which tests 68 points (each 2° apart) in the central 10°, is a good option in addition to the standard 24-2 visual field pattern in monitoring patients for glaucoma conversion.10
Angle Assessment
Assessing the anatomy of the anterior chamber angle is required as part of the evaluation of glaucoma suspects in order to determine whether the angle is open or closed and to rule out the presence of secondary causes of glaucoma. Assessing the anatomy of the anterior chamber angle with at least one subjective (gonioscopy) and one objective (OCT angle, Scheimpflug imaging, B-scan) method is recommended.
TREATMENT
Once all baseline testing has been performed, a diagnosis of glaucoma may be made by the clinician, provided enough evidence exists, and treatment started. If not enough evidence exists, monitoring the patient for change over time is a reasonable option. If progressive changes to the optic disc, RNFL, or visual field are seen subsequently, a diagnosis of glaucoma can then be made and treatment begun.
The primary goal of therapy is to slow visual deterioration so that the patient experiences no symptoms from the disease during his or her lifetime.
Treatment for glaucoma involves lowering IOP by either pharmacologic means, laser, or surgery. Historically, IOP-lowering drops have been the first-line treatment for POAG and ocular hypertension; however, it is now common practice to offer selective laser trabeculoplasty (SLT) as a first-line treatment in patients with early to moderate stages of disease.11
There are several advantages to choosing SLT as a first-line treatment. It removes the barrier of topical therapy cost and eliminates issues with topical therapy compliance and with adverse reactions to long-term topical therapy, such as worsening of ocular surface disease (see “First-Line Treatment Options for Glaucoma” for a more in-depth discussion of this topic).
The decision to initiate treatment should take into account factors other than just clinical findings. The patient’s mental status and level of comprehension of the disease process and treatment recommendations, the patient’s overall health and life expectancy, the risk of side effects of treatment, and the financial burden associated with the recommended treatment are all worth consideration. It is also important to include the patient in the decision-making process regarding when to initiate treatment, particularly in the event that the decision to treat is not clear-cut.
BACK TO OUR PATIENT
In our patient’s case, we elected to monitor her after establishing baseline values with testing. After several visits, we determined that her Tmax was 26 mm Hg OD and 23 mm Hg OS. Average IOPs were in the low to mid 20s OD and low to mid teens OS. Her OCT showed progression of the supratemporal RNFL in the right eye from a baseline thickness of 102 µm to 85 µm after several visits (Figure 3). The TSNIT graph on OCT also showed change in the ST sector in the right eye (Figure 4). Similar findings were seen in the left eye. Gonioscopy revealed scleral spur in all quadrants.


We made a diagnosis of POAG but noted that, although the angles were narrow, there was no iridotrabecular contact.
With this diagnosis in hand, and after discussion with the patient, we elected for cataract surgery plus goniotomy with the Kahook Dual Blade (New World Medical) due to her visually significant cataracts and narrowing angle.
EDUCATION IS KEY
There are many factors that increase one’s risk of developing glaucoma. It is our role as optometrists to identify when these risk factors are present in our patients and to then perform the appropriate clinical testing to assess the severity of risk (low, moderate, or high). After initial risk assessment and baseline testing, follow-up testing must be performed to monitor for progressive glaucomatous change over time.
This process is usually not completed in a single office visit, which is why proper patient education regarding the nature of the condition is so important. Your patients must be informed of the severity of their condition, the treatment options (including your treatment recommendations), and the risks associated with not treating the condition (including the risk of permanent vision loss).
When your patients understand their disease state and their treatment options, they are best equipped to make informed decisions in the management of their glaucoma, and they will be more inclined to comply with a mutually agreed-upon treatment or management plan.
The authors extend special thanks to Austin Lifferth, OD, for his help in identifying references.
Ready to Claim Your Credits?
You have attempts to pass this post-test. Take your time and review carefully before submitting.
Good luck!
Recommended
- Glaucoma
Rationalizing the Red: When RNFL Atrophy Is Not Glaucoma
Katherine Rachon, OD, FAAO, Dipl ABOKatherine Rachon, OD, FAAO, Dipl ABO







