The Role of the Optometrist in the Evolving Management of Diabetic Retinopathy
Click here to proceed to your no-fee CE(CME) credit for this activity. To receive credit, you will need to log-in/register with Evolve Medical Education.
Diabetes is a growing epidemic, with more than 100 million US adults living with diabetes or prediabetes.1 Even still, upwards of 8 million Americans may be undiagnosed.1 Diabetes causes a number of troubling eye diseases such as diabetic retinopathy (DR), diabetic macular edema (DME), cataracts, and glaucoma, many of which can lead to irreversible blindness if not treated.2 Optometrists play a vital role in the diabetes care team. Not only are they on the frontline of diabetes diagnosis and patient education, they must know when DR or DME has progressed to the point of needing retinal specialist care. People with diabetes require annual eye exams, and many patients are lost to follow-up. The optometrist, in collaboration with other health care professionals, serve as first responders and act as a safety net, helping to ensure patients with diabetes receive the care they need and deserve. A partnership between optometry and retina is critical to successfully manage patients. The following roundtable brings together key opinion leaders in retina and optometry to discuss referral timing, practitioner communication, and how best to manage complex cases.
—Charles C. Wykoff, MD, PhD, FACS, Moderator
THE ROLE OF OPTOMETRY IN PATIENT EDUCATION
Charles C. Wykoff, MD, PhD, FACS: It’s well-known that the prevalence of patients with diabetes and diabetic retinopathy (DR) continue to increase globally. A 2016 report from the World Health Organization found that approximately 1 in 12 people worldwide have diabetes.³ Diabetes is associated with serious systemic comorbidities including DR, diabetic neuropathy, stroke, and coronary heart disease, angina, and myocardial infarction.4-9
We know from the Diabetes Control and Complication Trial that many of these comorbidities can be minimized by improved glycemic control; the risk of eye complications, kidney disease, and nerve disease can be reduced by 76%, 50%, and 60%, respectively.10 As much as half of blindness from DR could be prevented with earlier diagnosis, detection, and intervention.11
Much of this comes down to proper patient education. Providing high-quality care to patients with DR requires synergy between optometrists and retinal specialists, as optometrists are on the frontlines of diabetic eye care.12 How much time do you spend educating patients about blood sugar, blood pressure, and cardiovascular control?
Rebecca Miller, OD: During the exam, I ask patients how they are managing their diabetes in conjunction with their primary care doctor and how often they see them? I also ask how long they have been diagnosed, their current blood sugar count, A1C level, and when the last measurement was taken. If they’re hesitant with those answers, that tells me how well they are managing their condition.
When patients understand they have some control over their ultimate outcome, they engage more. When I see a new patient, I invest a little bit more time in that relationship because I understand how those factors will play into their overall vision. I share photos of more advanced DR to help facilitate their understanding and drive home the point that they don’t want to advance to that stage.
Steven Ferrucci, OD, FAAO: When I examine a patient with diabetes, I want to know a couple of things. Do they have type 1 or type 2, and how long have they been diagnosed? About 20 to 40% of people with type 2 diabetes already have DR at the time of diagnosis (Table).12-14 What is their overall control? Their answers give me an estimation of the likelihood that they’ll have DR and its stage.

Regardless of their diagnosis, I explain that patients with good blood sugar and blood pressure control are less likely to have diabetic eye problems. Good blood sugar and control can also prevent existing diabetic eye problems from worsening.15,16
Mrinali Gupta, MD: I find that actually pulling up the patient’s images and showing him/her their retinopathy, even if it’s just a few aneurysms, is helpful. When they actually see their images and the pathology, I find they come to understand the value of ophthalmic evaluation and management as well as the impact that they can have by improving their blood sugar and blood pressure control.
Allen C. Ho, MD, FACS: Both optometrists and ophthalmologists have the ear of our patients and the leverage to change behavior. Patients value their vision, and oftentimes it’s a lack of control over their underlying disease that’s impacting it. We can educate patients on A1C, the importance of seeing their primary care physician, and of closely monitoring their blood pressure. We can motivate patients to take simple, small steps, such as walking 15 minutes a day or cutting certain foods from their diet. These things will help them regain control and help their entire body.
Dr. Wykoff: Decreasing A1C by just 1% translates into a 50% reduction in risk of DR progression.17 We need to remind our patients that even small changes can have a big impact.
GETTING AND KEEPING PATIENTS IN THE CLINic
Dr. Wykoff: In practice, we must assume it’s a matter of when, not if, a patient with diabetes will develop DR. Nearly all patients with diabetes will develop some form of DR within 15 years, and 80% of patients will develop stage 2 DR in that same timeframe.12,18 According to the Centers for Disease Control and Prevention, 30% of diabetics older than 40 have DR.1 Given long enough duration of diabetes, 60% of patients will develop proliferative diabetic retinopathy (PDR).12,19 How do you explain to a patient with a normal optical coherence tomography (OCT) that DR is a looming problem?
Dr. Ferrucci: Patients believe that if they see well, their eyes are healthy. I explain that diabetes affects the blood vessels of their eyes, causing leaking, bleeding, and other problems.20 Although their eyes look healthy today, they must be seen on a yearly basis21,22 to ensure no problems develop. Our goal is to catch the problem early because there are more opportunities to fix it; if we wait, it’s often too late.
Dr. Wykoff: Oftentimes patients present to us with neovascularization and DME. What can be done at the primary care level to get patients with diabetes into us before advanced disease develops?
Dr. Ho: Diabetes and diabetic eye diseases are a public health crisis. Half of our patients have preventable blindness.11 Studies suggest that adherence rates for annual eye exams range from 23 to 65%.23-26 The American Optometric Association’s 2018 American Eye-Q Survey found that nearly half of Americans don’t know if diabetic eye diseases have visible symptoms.27 The same survey found that more than one-third of Americans weren’t aware that a comprehensive eye exam was the only way to determine if their diabetes will lead to blindness.
We need to attack this issue in new ways, perhaps by leveraging technology. Multiple studies have provided evidence-based care interventions that rely on early referral for eye care with both prompt and appropriate interventions as the primary means of preserving and reducing the risk of vision loss in this patient population.12,28,29 Several studies have looked at the accuracy, feasibility, and cost of using telemedicine for DR screening and have found that it is cost effective and can overcome geographical, financial, and socioeconomic barriers to annual eye exams, thereby improving compliance.30-32 We need to think more creatively to prevent blindness in this patient population.
Dr. Miller: Some insurance plans offer patients a cash rebate if they get their annual eye exam. Those programs result in a huge influx of patients in my office. Yes, there is some upfront cost to these programs, but it saves money for the health care system as a whole by having patients evaluated and treated earlier.
Patients also aren’t aware of the scope of the problem. They don’t understand that diabetes can cause irreversible blindness; they think they can be treated and recover their vision. When a patient with a normal eye comes to me, I give them a simplified scale from 0 to 10, where 0 is no disease and 10 is blindness. There’s a big space in the middle where they may or may not notice a vision change, but the disease is starting to brew; that might be a 1 to 4 on the scale. If we catch it in time, we can treat it, but if it’s too far along on the scale, we can’t bring back their vision.
Framing it this way helps them understand that there’s a scale of stages without having to explain nonproliferative diabetic retinopathy (NPDR) and PDR; that is too much information for someone without retinopathy.
Dr. Wykoff: Multiple comprehensive studies have estimated that as many as 50% of patients are not receiving appropriate ongoing ophthalmic screening, whether they don’t come in for screening or they don’t come back for continued screening.26 How do we improve compliance?
Dr. Miller: Primary care doctors are realizing that patients are not being screened. On the optometry side, we need to ensure that we communicate exams that occur and exams that are missed to the primary care physician. Many primary care providers are doing fundus imaging in their office33,34 and either reading it themselves or sending them out for screening. Primary care physicians can be trained to read retinal images with acceptable accuracy for DR referral.33,34 That is helpful for the patient, but we need to emphasize that hemorrhages are not the only sign of DR. A lot of this is about patient education. Every doctor has to clearly explain the role the patient has in managing their disease.
THE ONGOING DEBATE OF RETINAL REFERRAL
CASE 1: No Need to Refer for Mild NPDR
Dr. Wykoff: There are many questions surrounding referrals and how that decision is made. Is it based upon systemic factors, local practice patterns, presence of some DR-associated finding such as DME, or severity of DR? What level of DR is needed for a referral? Dr. Ferrucci, please review your first case, and we’ll address some of these referral questions.
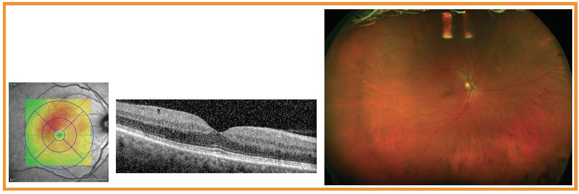
Dr. Ferrucci: Our first case is a 72-year-old male who has had type 2 type diabetes for about 15 years. His last A1C was 7.7, which is a little high, but not horrible. His vision is excellent, at 20/20 in each eye. During his annual diabetic eye exam, we see some tiny hemorrhages on the imaging (Figure 1). His OCT is pretty normal; nice foveal pit, and no obvious DME. We diagnosed this patient with mild NPDR. This patient could be well cared for in the optometric setting with patient education on the importance of good blood pressure and blood sugar control, and there’s no need for a retinal specialist referral. I recommend sending a letter to the primary care physician explaining that they’ve been examined and show early signs of DR. I think this is a very common patient in the optometric practice.

Dr. Miller: I agree. This is a patient with minimal retinopathy and no DME. I think it’s reasonable to keep seeing that patient annually and refer them if their disease progresses.
CASE 2: Is it Clinically Significant DME?
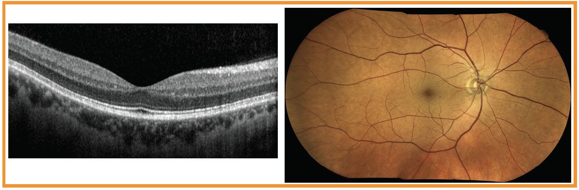
Dr. Wykoff: Our next case is a patient I saw in December 2019 who was 20/25 OU. The OCT in the right eye shows a small intraretinal cyst in the cross-sectional image through the fovea with some mild thickening just superior/temporal to the fovea (Figure 2). Do you consider this clinically meaningful DME? The color fundus photograph (Figure 2) shows mild intraretinal hemorrhages and scattered cotton wool spots. In my opinion, this patient is in a gray zone for a referral. Many of our optometry colleagues would continue to monitor this patient because the patient is asymptomatic, but others would refer for retinal evaluation. How would you manage this patient?

Dr. Miller: I think it depends on their A1C blood sugar control, and how long ago the patient was diagnosed. I’d watch this patient closely for 6 months and refer if there are any changes. The question is, how quickly will this patient progress? Sometimes diabetic eye disease advances rapidly, but other times it takes years to develop. We need to be ahead of it rather than behind it.
Dr. Wykoff: Figure 3 shows the fellow eye in the same patient. On the OCT, we see a central cyst and a mild swelling. How do you define this? While there is definitely center-involving DME and vision is not normal, the vision is relatively preserved. How would you consider managing this patient? Where should this patient be seen in follow-up?

Dr. Ho: I’d follow this patient with an allied eye care provider, but I’d want to see them initially over time. We have new information from the literature that says we don’t have to jump to treat patients with good vision and some mild structural edema. The Diabetic Retinopathy Clinical Research Network (DRCR.net) Protocol V trial recommends observation as a strategy to consider in patients with center-involved DME and good central vision.35
Protocol V was conducted at 91 sites in the United States and Canada between November 2013 and September 2016. The study enrolled more than 700 patients with center-involved DME and a visual acuity (VA) of 20/25 or better who were randomly assigned to either aflibercept (n = 226), laser (n = 240), or observation (n = 236). The rate of vision loss of 5 or more letters did not significantly differ between the three groups at 2 years.35 The average VA was 20/20 2 years later, just as it was at baseline. Their vision doesn’t always decline and sometimes the edema improves on its own.
Dr. Wykoff: I initially observed this patient. I brought this patient back about 6 weeks later, and vision in the left eye had deteriorated to 20/30 and they were now symptomatic. We started treatment. After three monthly anti-VEGF injections, the fovea normalized, and the edema resolved. I’ve stopped injections and have moved to observation since then.
Dr. Ferrucci: As an optometrist, if I have a patient with center-involved DME, even if their vision is good, I usually recommend a referral just to hear the retinal specialist’s opinion.
Dr. Miller: I also like to refer for any disease that is center-involved. Even if the decision is to observe, I’d rather the patient be observed by a retinal specialist. If the patient can establish a relationship with a retinal specialist they trust early on, it makes any treatments down the road easier to take on.
Dr. Gupta: I agree. I tend to observe these patients, if their VA is 20/20 or 20/25 and have well-controlled disease. I still like to see these patients sooner rather than later (ie, not waiting until their vision drops), because I find that its helpful to have met them and built some rapport before they reach the point where they need interventions. The first injection can be a huge psychological burden for patients. For some, the anxiety is worse than the injection itself. It’s nice to have met them and had that first conversation about what could happen if their disease progresses to and get them prepared and establish a relationship before such interventions are necessary.
CASE 3: Uncontrolled A1C but Good Vision
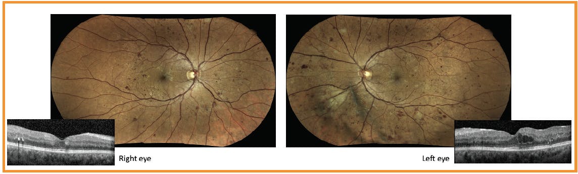
Dr. Ferrucci: Our next case is a 44-year-old male who has had type 2 diabetes for about 15 years. His A1C was not as well controlled at 10, but he has relatively good vision at 20/25 each eye. His right eye (Figure 4) shows extensive hemorrhaging in all four quadrants, but the OCT looks good; there doesn’t appear to be any DME. The left eye, however, has more advanced problems (Figure 4), with additional hemorrhaging and venous beading nasally to the optic nerve. The OCT shows very close to center-involved DME.

The patient has severe NPDR in both eyes, but it’s more obvious in the left eye. I recommend referring this patient to a retinal specialist for consideration of treatment for DME and DR.
Dr. Wykoff: This case is an excellent example of a topic in DR that is being actively studied and debated in the retina community. How do you manage patients with moderately severe to severe NPDR, either without DME or with minimal DME, and very good vision? Also, how does the presence or absence of DME change how you think about his patient?
Dr. Gupta: I think of DME as a manifestation of the overall DR process. When a patient comes in with visually significant center-involved DME and 20/30 or worse VA, the decision is simple—we treat them. There are a number of different opinions in our field on how to treat DR without DME or without significant DME, especially in light of recent studies. The DRCR.net Protocol S studies were quite compelling in terms of the utility of anti-VEGF therapy, not only in treating PDR but in reversing DR. Older studies on anti-VEGF therapy in DME have likewise shown improvements in the DR step scores with injections.
Protocol S evaluated intravitreal ranibizumab (n = 191) or panretinal photocoagulation (PRP; n = 203) as a treatment for PDR, with long-term results at 5 years.36 The study found that severe vision loss or serious PDR complications were uncommon with PRP or ranibizumab; however, the ranibizumab group had lower rates of developing vision-impairing DME and less visual field loss, especially early on.
The question is, at what point do you initiate treatment? Is it when the DR is mild, moderate, or severe? I don’t know anyone who treats mild NPDR. Some of our colleagues treat moderate and severe, and some don’t treat until the retinopathy becomes PDR. In my opinion, I treat patients with severe NPDR that is progressing, patients with a great deal of ischemia that I’m concerned about, or patients with poor disease control.
Dr. Wykoff: PANORAMA, the phase 3 trial that enrolled 402 patients, is the only study in the anti-VEGF era that randomized patients with moderately severe to severe NPDR to sham or two different dosing frequencies of anti-VEGF injections.37 Through 1 year, 60 to 80% of patients receiving aflibercept experienced ≥ 2 improvements in DR severity levels compared to about 15% in the sham arm (Figure 5). The improvements were overall maintained through year 2.37

A secondary analysis of PANORAMA showed that through 2 years, approximately 58% of sham-treated eyes developed PDR or center-involved DME, thresholds often used to initiate treatment versus approximately 20% of patients on anti-VEGF dosing (Figure 6). Supporting this finding, the RISE/RIDE and VISTA/VIVID studies showed anti-VEGF treatment significantly slows DR progression.38,39 There is also literature to suggest that even among eyes with NPDR without DME, there may be reduced visual function and quality of life as DR severity worsens that can be measured on a population basis.40-43 How do these data inform practice?

Dr. Ho: I would have a discussion with these patients about treatment. You have to consider their comorbidities and demands of those visits on top of the monthly treatment you’re recommending. Will they continue treatment? Anti-VEGF therapy is a consideration for these eyes with severe disease alone, but it’s a much easier sell if they have DME and severe disease.
CASE 4: When to Refer
Dr. Wykoff: Figure 7 shows a patient with predominantly peripheral lesions associated with diabetic retinopathy. Is this clinically meaningful, and would you refer this patient for consideration of treatment?

Dr. Miller: The central area looks healthy, but you can see diabetic changes in the periphery. That’s what some studies are starting to show us; if we’re not looking at the periphery, we could be missing a significant portion of disease.44 Lesions in the periphery are highly relevant, with a much higher rate of progression to PDR and worsening of their DRSS.45 That’s an important message for optometrists. We need to perform a yearly dilated fundus examination with thorough central and peripheral retinal evaluation. I am changing my practice pattern as a result of these studies, which will benefit our patients.
Dr. Wykoff: When you see patients with hemorrhages predominately in the periphery, how do you manage them, and do you consider a wide-field fluorescein angiogram (FA)?
Dr. Gupta: I do, yes. The angiogram can be very instructive. Often the central retina looks fine, but you’ll start to see large areas of peripheral nonperfusion and vascular leakage using wide-field or ultrawide-field angiography. Several studies have shown that these far peripheral angiographic features correlate with an increased risk of progression to neovascularization and that if you have a ton of peripheral ischemia, you’re more likely to develop macular ischemia.46-48 I like to get an angiogram in these patients, and if I see those kinds of findings, I tend to watch closely.
Dr. Ferrucci: We are starting to realize how important the periphery is, and it’s changing the way we practice. I strongly consider doing ultra-wide fluorescein to look for peripheral ischemia. It’s important to take a look in the periphery, not just the posterior area pole.
CASE 5: Recent Vision Changes
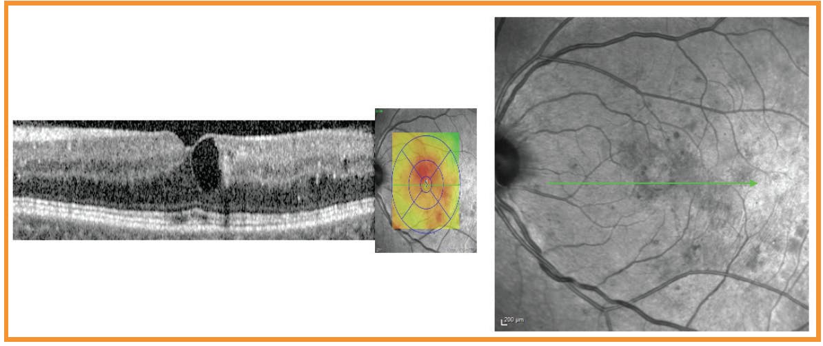
Dr. Wykoff: Our next patient is a 53-year-old female with type 2 diabetes. Her current HbA1c is 7, but by report her blood sugar was poorly controlled for years until recently. Both eyes are 20/50. In this right eye, there is some temporal swelling, and your clinical examination is notable for scattered intraretinal hemorrhages without neovascularization of the disc (NVD) of visible neovascularization elsewhere (NVE). (Figure 8). Would you refer this patient?

Dr. Miller: Considering her vision is 20/50, I’m curious if that is typical VA for her or if it has recently decreased. Even something as basic as an Amsler grid can be helpful to understand how much distortion a patient is experiencing. I have an OCT but don’t have an OCT-angiography (OCT-A). This patient would likely benefit from OCT-A imaging. If their vision has recently decreased or they have some distortion, then I’d likely refer.
Dr. Wykoff: This patient says their vision has slowly decreased over the past several months. They report distortion of their vision as well (Figure 9). Wide-field fluorescein angiography identifies extensive retinal nonperfusion throughout the far and midperiphery with large areas of capillary dropout. OCT-A shows large areas of retinal nonperfusion in the macula with substantial enlargement of the foveal-avascular zone. Do you use OCT-A in the clinic?

Dr. Ho: I use OCT-A when I want to identify reasons for vision decline that are out of sync with clinical findings. In this case, the OCT-A did show disorganization. It reflects the idea that diabetic eye disease is a vascular problem, but there’s also an associated neurovascular problem as well. In other words, there are multiple pathophysiologic mechanisms that assault vision in diabetic patients.
When you have a relatively featureless fundus in a diabetic, it can be just as dangerous as a patient with diffuse hemorrhages and severe NPDR. I do much less FA than I used to. I do OCT-A to understand macular perfusion. The OCT-A is a more valuable tool for me than FA is right now when assessing central macular perfusion.
Dr. Gupta: We’re still learning about how to apply OCT-A. Its utility varies depending on what disease you think the patient has, whether it’s age-related macular degeneration (AMD) or DR. I primarily use OCT-A on diabetic patients whose vision doesn’t fit with what I’m seeing clinically, on patients who have a featureless fundus, or in patients who have clear ischemic type of features on the OCT. Fundus photography remains the fastest method of imaging patients.
Dr. Ferrucci: I do use OCT-A because I’m in a hospital setting and see many patients with diabetes and AMD. I find it the most useful in diabetics who don’t have edema on the standard OCT, but whose VA has reduced to 20/50 or so. Those patients tend to have a bigger than average foveal avascular zone indicating macular ischemia on the OCT-A. Although I find it helpful in my setting, I agree that it might not add much to a community optometric practice that sees a wide array of patients and perhaps not much disease. However, if that practice has a large diabetic population, or AMD, OCT-A is certainly something to consider.
COMMUNICATION CHALLENGES BETWEEN DISCIPLINES
Dr. Wykoff: Coordinating care remains a significant challenge, particularly in regard to communication. Preferences are highly individualized; some physicians would like more communication and other physicians prefer less. Our next case addresses issues related to communization between disciplines.
CASE 6: Referral Back to the Optometrist
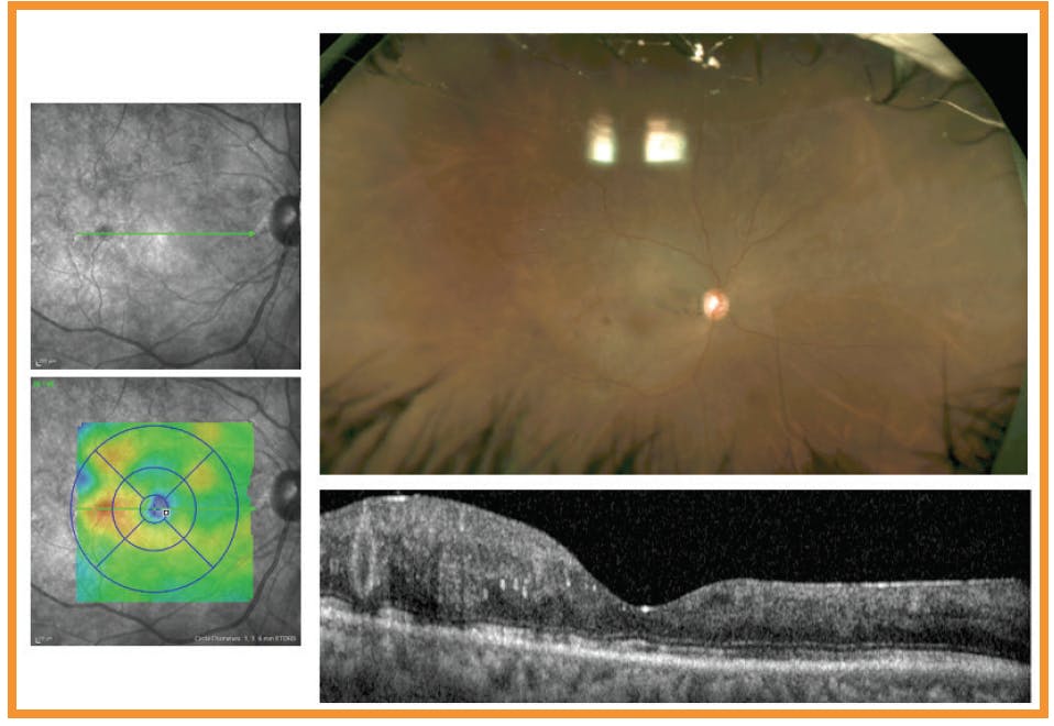
Dr. Wykoff: This patient is a 43-year-old female with type 2 diabetes and 20/25 VA (Figure 10). At first glance, she appears to have a relatively-featureless retina, but upon closer inspection, one sees extensive neovascularization involving much of the posterior pole with an attached hyaloid face. There is no DME. Wide-field angiogram confirms extensive neovascularization (Figure 10).

I discussed various treatment options with the patient including PRP and anti-VEGF injections. I treated the patient with four anti-VEGF injections over 6 months, and the leakage from the vascularization resolved. Vision was stable without DME. I plan to continue managing this patient, knowing that their PDR is likely to recur. At what point should this patient resume co-management with the referring optometrist?
Dr. Ho: Communication is key; we try and gather all the information when we see a patient from the referring eye care provider, to their primary care provider, to their endocrinologist. Those are the most important three. We’ll add on the other care providers as well, such as cardiology, if they have that information. This case is an example of the power of anti-VEGF therapy when used consistently in transforming the prognosis and the clinical features of the disease. Communicating with the doctors and the diabetic care team is very important. These communications not only improve coordinated patient care but also help satisfy important quality metrics for eye care providers and other medical care team members as well.
Dr. Wykoff: What do you tell the patient about coordinated care transfer before sending them to a retinal specialist?
Dr. Miller: I tell them that their diabetes has started to impact the health of their eyes, and that we need to act quickly. I explain that I’m sending them to a retinal specialist who is going to do a thorough dilated exam, some imaging that’s additional to what I have in the clinic and lay out a treatment plan. The retinal specialists may not initiate treatment at the first visit, but their disease is not going to go away, and we need to control it as quickly and effectively as possible.
I let them know that I’ll continue to play a role in their routine care; I’ll plan to see them yearly for their vision and other ocular health concerns. The retinal specialist is going to manage the diabetic care from here. We work as a team and exchange progress notes from each visit.
Dr. Wykoff: Unfortunately, this patient was lost to follow-up and did not return to see me again for 2.5 years (Figure 11). Despite reviewing imaging together and specific education about the importance of consistent follow-up delivered by me and my team focusing on the chronic and uncurable nature of this disease process, the patient thought she no longer needed treatments or follow-up. Sadly, the VA in this eye deteriorated from 20/25 to counting fingers and now required surgical intervention.

Dr. Miller, I like the point you made about telling the patient you’ll continue to see them. The more safety nets we have for these patients, the better. Many patients with diabetes are overloaded with clinical visits, but we still must encourage patients to come in for every visit needed and do all we can to make sure they are not lost to follow-up. Annual appointments with optometrists help ensure patients aren’t lost, even if they continue to see a retinal specialist regularly. It adds another layer of protection to prevent these disasters that unfortunately happen all too frequently because of noncompliance.
In Protocol S, just 66% of patients completed treatment through 5 years.36 Patients who did not complete the trial were more likely to have worse VA and more advanced DR at baseline. While PRP is not a cure, as through 5 years in Protocol S at least one additional PRP session was administered in 51% of patients, it is impressive and clinically meaningful that 49% of patients who received PRP did not require additional treatment for their PDR through 5-years, with the caveat that patients did receive anti-VEGF dosing for DME as needed. After year 2, just 11% of PRP eyes required additional laser. In comparison, the anti-VEGF arm received a mean of 19.2 injections through 5 years, including a mean of about three injections per year in years 2 through 5.
Dr. Ho, you were a senior author on a recent excellent manuscript looking specifically at noncompliance in patients with PDR following PRP or anti-VEGF injections. A total of 2,302 patients with PDR were followed for 4 years. Twenty-five percent were lost to follow-up for over 1 year.49 Have these data changed your practice patterns? How do we keep patients coming back to clinic to receive the care they need?
Dr. Ho: We have callbacks for patients who miss their appointments, but it’s still not good enough. We need to address this through telemedicine, through soldiers on the ground, and by creating an ecosystem with a safety net where they come into an eye care provider for annual exams. I think the example of an incentive payment to patients with diabetes to have an annual eye exam is creative, out of the box thinking.
Dr. Miller: Patients with diabetes also have an increased risk of glaucoma and early cataract development.50,51 DR is the biggest cause of blindness, but patients must understand it’s not the only way diabetes can affect their eyes. We need to ensure that we are following the comprehensive ocular health to preserve and protect the patient’s vision.
PEARLS TO MANAGING COMPLEX PATIENTS WITH DIABETIC EYE DISEASE
Dr. Wykoff: Our next case discusses the management of diabetic eye disease with visually significant cataracts.
CASE 7: Managing DME and Ocular Comorbidities
Dr. Ho: A 21-year-old female who had blurry vision for a month was recently diagnosed with insulin-dependent type 1 diabetes. She’s now on an insulin pump and has good control. Her A1C was 12 and is now down to 6.5. That should raise a flag for all of us that, if there was sudden tight control, that there could be an exacerbation of a variety of diabetic complications including DR.52
A widefield fundus on her left eye shows scattered hemorrhages in all quadrants and the periphery, some cotton wool spots, probable macular edema, and no obvious neovascularization (Figure 12). The disc looks pretty clear. The vitreous is clear. Her vision is 20/80, and the OCT shows clear center-involved DME. We need to treat her edema and manage the systemic variables before initiating cataract surgery. Cataract surgery is not an emergency, therefore I offered anti-VEGF therapy to this patient.

One month later, she’s 20/20 and has better control (Figure 13). Could she have cataract surgery now? The nerve on the OCT is a bit concerning. I’d like to follow her a bit longer and she how she does. The cataract may be a moot point since she’s 20/20.

Dr. Wykoff: What is the referral pattern for a patient with mild to moderate DR who needs cataract surgery?
Dr. Ferrucci: In a perfect world, if we have a patient who has DME, we want to get that treated before proceeding with cataract surgery. However, if they have moderate or worse NPDR, I also think it makes sense to get a retinal consult before proceeding with a cataract surgery to ensure everything is stable. In most cases, cataract surgery is not an emergency and postponing for a couple of weeks is not a big deal.
CASE 8: NPDR with 20/20
Dr. Gupta: Our next case is a 59-year-old man with a history of NPDR in both eyes. He had a 20-year history of type 2 diabetes, which was well controlled. The widefield FA showed severe NPDR with lots of major vessels with significant leakage. I monitored them closely and repeat the FA 6 months later; he had progressed to PDR. Interestingly, the area that had vascular leakage at baseline showed capillary drop-out 6 months later.
I repeated the FA 6 months later and the PDR improved a bit after laser, but it was still present. He had severe ischemia, and it was rapidly progressing at each visit. Addition retinal areas that had vascular leakage on the prior FA now showed capillary drop-out. His vision was still 20/20, and we decided to do monthly anti-VEGF injections for a year, both to treat the PDR and also to try to treat the other aspects of diabetic retinopathy–namely, vasculopathy and subsequent vascular dropout with progressive retinal nonperfusion. The improvement was significant. Treatment regressed the PDR, resolved almost all the retinopathy, and resulted in no further progression of retinal nonperfusion.
I’ve had a handful of patients like this, and many times they are compliant and respond quite well to anti-VEGF therapy. I think this case shows the value of the FA, especially the widefield FA, and also highlights the importance of considering ischemia, nonperfusion, and how our anti-VEGF therapies can be useful for other aspects of this condition besides just DME.
Dr. Ho: This is a beautiful example of the power of widefield angiography to help us understand how anti-VEGF therapy can remodel and maybe re-establish some areas of nonperfusion.
Dr. Wykoff: The field is talking a lot about how OCT-A may be replacing part of our FA imaging data, especially for the posterior pole. But a limitation of OCT-A is the inability to visualize leakage. With OCT-A, we can image flow or no flow and maybe slow flow, but we cannot image vascular leakage, a biomarker of VEGF-induced break-down of the blood retinal barrier.
Dr. Miller: These cases are fantastic examples of what we need to be looking at. Images like this are an opportunity to educate patients on the importance of treatment and the role they play in the management of their diabetes.
CONCLUSION
Dr. Ferrucci: It’s important for optometrists to consider referring earlier. Years ago, I would wait until a patient showed signs of proliferation to refer. But based on some of these newer studies and the cases we’ve discussed, it shows that sooner referrals might regress DR. That is an important message to optometrists.
Dr. Wykoff: I echo that thought. We as retina specialists would much prefer to see a patient and decide in collaboration with the patient that they do not need interventional treatment at this time than see a patient much later in the disease process. When patients get close to a threshold for which treatment may be considered, I think it is very reasonable to obtain at least a one-time consultation with a retina specialist to make sure all options are available to the patient. It is important for us all to continue to strive towards a collaborative relationship, maintaining clear communication about both short-term and long-term comanagement plans.
I appreciate all of your insights. Thank you.
Ready to Claim Your Credits?
You have attempts to pass this post-test. Take your time and review carefully before submitting.
Good luck!

