Allergy Management in Scleral Lens Wearers
The use of scleral lenses in the management of conditions including distorted corneal surface and ocular surface disease (OSD) has grown exponentially within the past decade.1 Having a systematic understanding of a patient’s baseline prior to lens wear, setting proper expectations, and anticipating possible complications are key in maximizing long-term success in a scleral lens practice.
Ocular allergy can be categorized into seasonal (<4 weeks in duration) or perennial (persistent or >4 weeks in duration) allergic conjunctivitis, atopic conjunctivitis, and vernal conjunctivitis.2 It is estimated that 95% of allergic eye disease is seasonal or perennial.2 For patients, complications from ocular allergies can negatively affect scleral lens wear, ultimately affecting visual function and quality of life.2,3
This article discusses allergy management in scleral lens wearers. Atopic and vernal conjunctivitis are considered advanced forms of ocular allergies,2,4 with more severe signs and symptoms than those types listed above; as such, these conditions will not be considered in this review.
ALLERGIC CONJUNCTIVITIS
Allergic conjunctivitis is a bilateral, self-limiting inflammatory process that is triggered by exposure to seasonal or environmental allergens.2-4 Patients present with varying severities of symptoms and signs, including itching, redness, tearing, burning, stinging, photophobia, papillary reaction, watery discharge and swollen or dry eyes. Treatment can include nonpharmacologic and pharmacologic approaches.2-4
Differential diagnoses for allergic conjunctivitis include infectious conjunctivitis, keratoconjunctivitis sicca (KCS) or dry eye, toxic conjunctivitis, blepharoconjunctivitis, contact lens-induced papillary conjunctivitis (CLPC) or giant papillary conjunctivitis (GPC), and floppy eyelid syndrome (FES).2-5 Although GPC can present in the absence of contact lens (CL) wear, this term is sometimes used synonymously with CLPC in referring to papillary reactions in CL wearers.
Complications of scleral lens wear in patients with ocular allergies can include general lens intolerance, edge awareness, ocular discomfort, dry eyes, increased itching, redness, burning or stinging, reduced wear time, increased lens surface deposits, poor front surface wetting, and fogging of vision.
KNOW THE BASELINE
A fundamental initial step in proper management of ocular allergies in scleral lens wearers is having a comprehensive understanding of the patient’s baseline. This requires obtaining a complete systemic and ocular history. If the patient has a history of allergies, how are they managed? Is the patient being seen by an allergist? Has the patient had formal allergy testing done in the past? During what time of year is he or she the most symptomatic?
Establishing proper care at baseline for patients who are susceptible to manifesting symptoms of ocular allergies is critical. In the absence of adequate systemic management, ocular symptoms and complications with scleral lens wear can be relentless and unwavering.
As part of a thorough baseline clinical examination, evert the eyelids to assess the upper tarsal conjunctiva. Lid eversion should be performed at baseline for all patients who are initiating scleral lens wear. If a slit-lamp camera is available, photodocument the patient’s conjunctiva at baseline both in diffuse white light and in blue light after instillation of sodium fluorescein. Clinically, assessing conjunctival morphology using fluorescein and blue light can yield higher severity gradings of papillary roughness compared with assessment using white light (Figure 1).6 Subsequent periodic photodocumentation of the patient’s conjunctiva can be compared against the baseline photos.

Be sure to assess the laxity of the eyelids as part of your initial examination. The prevalence of eyelid laxity is significantly higher in patient with keratoconus, the most common corneal ectatic disorder encountered in a specialty lens practice.7 FES is considered a severe form of eyelid laxity, and it is also associated with keratoconus and obstructive sleep apnea.7,8 Both general eyelid laxity and FES can induce papillary conjunctivitis due to the mechanical insult of the conjunctiva, which is worsened in scleral lens wear and can mimic ocular allergies.
FLOPPY EYELID SYNDROME
Several key features point to FES rather than eyelid laxity: long-standing history of nonspecific symptoms, including eye irritation, redness, spontaneous “flipping over” of eyelids, particularly when sleeping; increased body mass index; and a diagnosis of sleep apnea.7,8 Clinically, a severe papillary reaction or GPC and white mucoid discharge can be observed.7,8
Scleral lens wearers with true FES will present with symptoms similar to, but generally more severe than, those of allergic conjunctivitis.4,7,8 Although conservative therapies can be effective, patients with severe FES can have incessant complications with scleral lens wear including itching, discharge, redness, fogging of vision, and so on (Figure 2).4 In such cases, differentiating between FES and allergic conjunctivitis is crucial. If it is truly FES, not ocular allergies, and conventional therapies have failed, consider referring the patient to an oculoplastic specialist for consultation regarding a lid-tightening procedure.8

GOAL OF MANAGEMENT
The goal of management of ocular allergies in scleral lens wear is to minimize symptoms in order to maximize lens tolerance and optimize visual function. Achieving this goal means implementing preventive measures and preparing for acute exacerbations. Following are some steps that can be taken to realize success with scleral lens wear in patients with ocular allergies.
Set Appropriate Expectations
Scleral lens patients with inflammatory conditions including ocular allergies are more susceptible to midday fogging (MDF), a phenomenon whose exact etiology is unknown. It occurs when particulate matter accumulates in the lens reservoir between the scleral lens and the cornea (Figure 3A).9 Educating your patients regarding the possibility of MDF with lens wear is vital in setting proper expectations. MDF can be managed by using high-viscosity filling agents in the tear reservoir to retard accumulation of debris (Figure 3B) or by replenishing the device by removing and reapplying it.9

Optimize the Fit
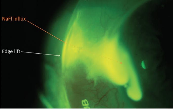
Edge lift or loose haptics can allow more rapid influx of debris into the tear reservoir. Evaluate for sources of debris influx with fluorescein with the scleral lens in place (Figure 4). Consider using toric peripheral curves to best align the haptics to prevent more rapid onset of MDF.

Mechanical irritation from an ill-fitting or flat-fitting haptic can also exacerbate papillary reactions, worsening allergic symptoms.5
Optimize Front Surface Wetting
Consider using a lens material with lower Dk to maximize front surface wettability. Also consider adding HydraPEG coating (Tangible Science).
Recommend re-plasma treatment for lenses every 6 months, or more frequently if needed.
Optimize Lens Hygiene
Several steps can be taken to optimize lens hygiene.
- Instruct patients to use a nightly lens cleaner with a rub-and-rinse step to loosen and remove debris.
- Implement a hydrogen peroxide–based disinfection system. Lens wearers using hydrogen peroxide solutions show greater reduction in lid papillae and symptoms compared with wearers using multipurpose solutions.10
- Consider having patients use more abrasive cleaners such as Progent (Menicon) periodically or incorporating the use of a weekly enzymatic cleaner such as Boston One Step Liquid Enzymatic Cleaner (Bausch + Lomb).
Eliminate Exposure to Preservatives
Preservatives in contact lens solutions and ophthalmic medications are proinflammatory and can exacerbate allergic symptoms.10 Switch all ophthalmic medications to preservative-free formulations whenever the option is available.
Recognize the Influence of Glaucoma Medications
In general, ophthalmic drops for treatment of glaucoma are proinflammatory and can potentiate ocular allergies.11 Consider altering the patient’s drop regimen to minimize the ocular allergic response. In severe cases, consider alternatives to drops such as laser or microinvasive glaucoma surgery.
Treat Concurrent Dry Eye
Dry eyes can increase inflammation and worsen symptoms in patients with ocular allergies.3 Distinguish and treat each condition separately to maximize therapy and minimize symptoms.
Use Pharmacologic Treatment
Consider initiating maintenance systemic medications such as an oral antihistamine.3 Topical allergy drops such as mast-cell stabilizers are also great as maintenance therapy. Dual-acting antihistamine/mast-cell stabilizer drops should also be considered.3
Topical cyclosporine has been clinically proven to be effective in treatment of allergic conjunctivitis and can be used for long-term therapy as well.12
Steroid ophthalmic drops should be reserved for acute exacerbations or for patients with moderate to severe ocular allergies.3
Use Nonpharmacologic Measures
Encourage allergen avoidance when practical.3 Patients can implement various environmental exposure reduction methods including dust/mold/animal dander control measures (eg, allergy protection pillow and mattress covers), proper ventilation and air filtration, and washing hair prior to going to bed.3
Applying cold compresses to the eyelids for 5 to 10 minutes at a time, as needed, may relieve some symptoms, especially itching. The instillation of over-the-counter, preservative-free lubricating drops can also provide soothing relief,3 but avoid use of gel drops or drops with oil ingredients with scleral lens wear, as this can cause blur.
Plan Ahead
See patients with ocular allergies just before their most symptomatic months, which tend to be during spring or autumn.2
ARM YOURSELF WITH KNOWLEDGE
When you encounter scleral lens wearers with a history of ocular allergies, having a concrete understanding of the patient’s history prior to initiating lens wear, setting appropriate expectations, recognizing patterns of symptoms, analyzing the influence of the lens design and fit, managing concurrent conditions, and closely monitoring results can lead to success for both the scleral lens practitioner and patient.
There is much to be learned regarding the influence of scleral lens wear on patients with ocular allergies—and vice versa—the influence of ocular allergies on scleral lens wear. With the upsurge in popularity of scleral lens wear, further studies will undoubtedly unveil more information.
Ready to Claim Your Credits?
You have attempts to pass this post-test. Take your time and review carefully before submitting.
Good luck!







