Papilledema Associated With Meningioma
A 45-year-old Black female was referred to us for a second opinion on possible edematous optic nerves after being seen 1 week earlier. The patient reported having headaches that worsened over the past year. She denied trauma and changes to her vision; her ocular history was unremarkable. She also denied systemic medical issues and allergies and was taking only a daily multivitamin.
EXAMINATION FINDINGS
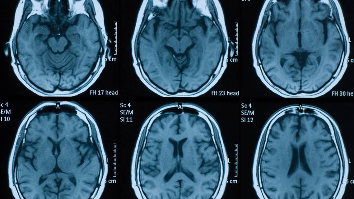
The patient’s entering VA was 20/20 OU. Her pupils were equal, round, and reactive to light, without afferent pupil defect. Extraocular motilities showed full range of motion OU, and the patient denied experiencing diplopia. Confrontation visual fields were full to counting fingers OU. Color vision was normal with Hardy-Rand-Rittler testing OU. The patient’s anterior segment was also normal for her age OU. IOP was 13 mm Hg OD and 14 mm Hg OS with rebound tonometry. Dilated fundus exam showed mild, bilaterally edematous optic nerves with edema worse in the superior and inferior sections of the optic nerves (Figure 1). OCT of the retinal nerve fiber layer showed mild edema of each optic nerve, confirming a diagnosis of papilledema (Figure 2). An MRI was ordered, which showed a contrast-enhanced mass near the superior sagittal sinus, consistent with meningioma (Figures 3 and 4). The patient was referred to neurosurgery for consult, where she underwent surgical resection of the meningioma.




PAPILLEDEMA AND INTRACRANIAL HYPERTENSION
Papilledema is optic nerve head edema secondary to raised intracranial pressure (ICP).1 Papilledema is caused by elevated ICP in the subarachnoid space in the brain, as well as surrounding the optic nerves, that has increased to a level that causes axoplasmic stasis in the optic nerves, ultimately leading to the optic nerve edema.1 The most common cause of papilledema is intracranial hypertension, reported in 67% of cases.1,2 Previous studies have reported that approximately 16% of cases of papilledema are secondary to intracranial masses, 7% due to intracranial hemorrhage, and 7% due to venous sinus thrombosis.2
Five pathophysiologic mechanisms for the development for intracranial hypertension have been described.3 It is possible for a patient to have a combination of the following causes of increased ICP:
1. Increase in intracranial volume (ie, mass, abscess, hemorrhage, and edema)
2. Decrease in intracranial space (ie, craniosynostosis)
3. Obstruction of the ventricular system
4. Increase in cerebrospinal fluid production
5. Decrease in cerebrospinal fluid absorption
It’s important to differentiate papilledema from other causes of elevated optic nerves, such as optic disc drusen, papillitis, or pseudopapilledema.3 We recommend using all tools and technologies available, which may include dilated optic nerve evaluation, OCT, B-scan ultrasound, fundus autofluorescence, and intravenous fluorescein angiography, when needed to make the correct diagnosis.
IMAGING AND WORKUP
In cases of ambiguous optic nerve edema or low clinical confidence in your diagnosis, it’s advisable to recommend rapid referral to a neuro-optometrist or neuro-ophthalmologist for a second opinion and appropriate papilledema workup. Once the diagnosis of papilledema is made, a timely workup involving neuroimaging and lumbar puncture is necessary to identify the underlying cause of the increased ICP.3 Recommended evaluation (assuming no contraindications) in cases of papilledema is urgent brain MRI, followed by magnetic resonance venography (MRV), and lumbar puncture with culture, cytology, and opening pressures.1 MRI allows identification of structural lesions (eg, masses, malformations, and hemorrhages) causing increased ICP.1 MRV allows evaluation of the cerebral venous system to check for obstructions causing increased ICP (ie, thrombosis, stenosis, or compression).1 Lastly, lumbar puncture not only allows measurement of elevated ICP, but can also help identify other possible causes of increased ICP that may not show up on MRI and MRV testing, such as inflammation or infections (ie, neurosyphilis).1
In our case, compression of the patient’s sagittal venous sinus by meningioma was the cause of her papilledema, as cerebrospinal fluid drainage was obstructed by the meningioma, resulting in increased ICP.
OUTLOOK FOR INTRACRANIAL MENINGIOMA
According to the World Health Organization, intracranial meningiomas are usually benign grade I tumors derived from meningothelial cells.4 They make up 15% of symptomatic intracranial masses and approximately 33% of all primary central nervous system tumors, and they show slow growth at approximately 14% per year for grade I lesions.4 Roughly 70% of meningiomas are symptomatic in nature, while 30% are asymptomatic,4 and 94% of patients with meningioma have solitary tumors.4 Unsurprisingly, the larger the meningioma size, the more likely the patient is to have symptoms.4
Contrast-enhanced MRI with gadolinium is often used in cases of meningiomas to help identify the location of the mass or masses and to measure their growth rates.4 Depending on the size and location of the meningioma, and the patient’s symptoms, the patient may be monitored by their neurosurgeon; in some cases, surgery may be warranted.4 Regardless, any case of central nervous system meningioma requires neurosurgical consultation.
THE ROLE OF OPTOMETRISTS
The US population is becoming more obese over time; therefore, cases of papilledema are expected to increase.5 Optometrists as primary eye care providers are well-positioned to encounter such cases, so it is important that we are prepared to confidently manage them. This case highlights two important learning points: 1) Even when patients potentially fit the profile for idiopathic intracranial hypertension, workup may uncover a different cause for papilledema, as in our case; and 2) it is crucial to use contrast when ordering an MRI in these cases, as it significantly increases the visualization of masses, such as meningiomas, which can easily be overlooked without contrast.
Ready to Claim Your Credits?
You have attempts to pass this post-test. Take your time and review carefully before submitting.
Good luck!
Recommended
- Neuro-Optometry
Horner Syndrome Secondary to Bullet Fragments
Catherine Hogan, OD, FAAO; Christopher J. Borgman, OD, FAAOCatherine Hogan, OD, FAAO; Christopher J. Borgman, OD, FAAO







