Glaucoma Diagnosis, Treatment, and Scope: a Review
AT A GLANCE
- Several landmark glaucoma studies can guide ODs on how to effectively manage patients with glaucoma.
- With availability of ancillary testing such as visual fields, pachymetry, optic nerve photos, and OCT, evaluating retinal nerve fiber layer and ganglion cell complex is easier today than it has been in the past, leading to earlier detection and treatment.
- Ten states allow optometrists to treat ocular conditions using lasers, with more expected soon.
The role of the optometrist in glaucoma management is evolving as technology advances and our scope of practice expands. These changes stand to give us the opportunity to diagnose and manage a wider variety of ocular pathologies; however, depending on our previous training or experience in clinical settings, not all us feel totally comfortable managing this sight-robbing disease.
Ready or not, advanced curriculums in optometry programs, continuing education opportunities, an aging population, and changing regulations around practice scope are already leading to a need for a larger optometric role in glaucoma treatment. What’s more, about 3 million Americans have been diagnosed with glaucoma.1
Several landmark glaucoma studies can help guide ODs on how to effectively manage patients with glaucoma. It is important that we attempt to integrate the findings from these groundbreaking trials into our approaches to offering the most effective care.
EDUCATION AND GUIDANCE
The Ocular Hypertension Treatment Study evaluated patients who exhibited a certain ocular hypertension criterion (40- to 80-year-old patients with an IOP between 24 mm Hg and 32 mm Hg in one eye and IOP between 21 mm Hg and 32 mm Hg in the other eye) to determine who would be most likely to develop primary open-angle glaucoma over a 5-year period. Pachymetry was shown to be a powerful predictive factor of conversion, along with age, vertical and horizontal cup-to-disc ratio, pattern standard deviation, and IOP.2 Ultimately, it showed that glaucoma conversion was cut in half when IOP was lowered by 20%.3
The Early Manifest Glaucoma Trial showed the benefit of lowering IOP in patients with early glaucoma; specifically, there is a 10% reduction of risk of conversion for every 1 mm Hg of IOP reduction. This study also displayed slower progression when reducing IOP by 25% in cases of known glaucoma and showed that age, exfoliation, bilaterality, higher baseline IOP, worse mean deviation, and repeatable disc hemorrhages were all risk factors for glaucoma progression.4
The Collaborative Normal Tension Glaucoma Study evaluated how lowering IOP affects patients with normal-tension glaucoma. The results showed that lowering IOP by 30% was beneficial to slowing progression, and that women, migraine patients, and those with disc hemorrhages were shown to be at risk for a faster rate of progression.5
The Advanced Glaucoma Intervention Study evaluated more advanced cases, including patients on maximum medical therapy who were not reaching their treatment goals. The study compared trabeculectomy versus argon laser trabeculoplasty (ALT) and showed that patients whose IOP was consistently under 18 mm Hg had minimal visual field changes from baseline.6
GLAUCOMA TESTING
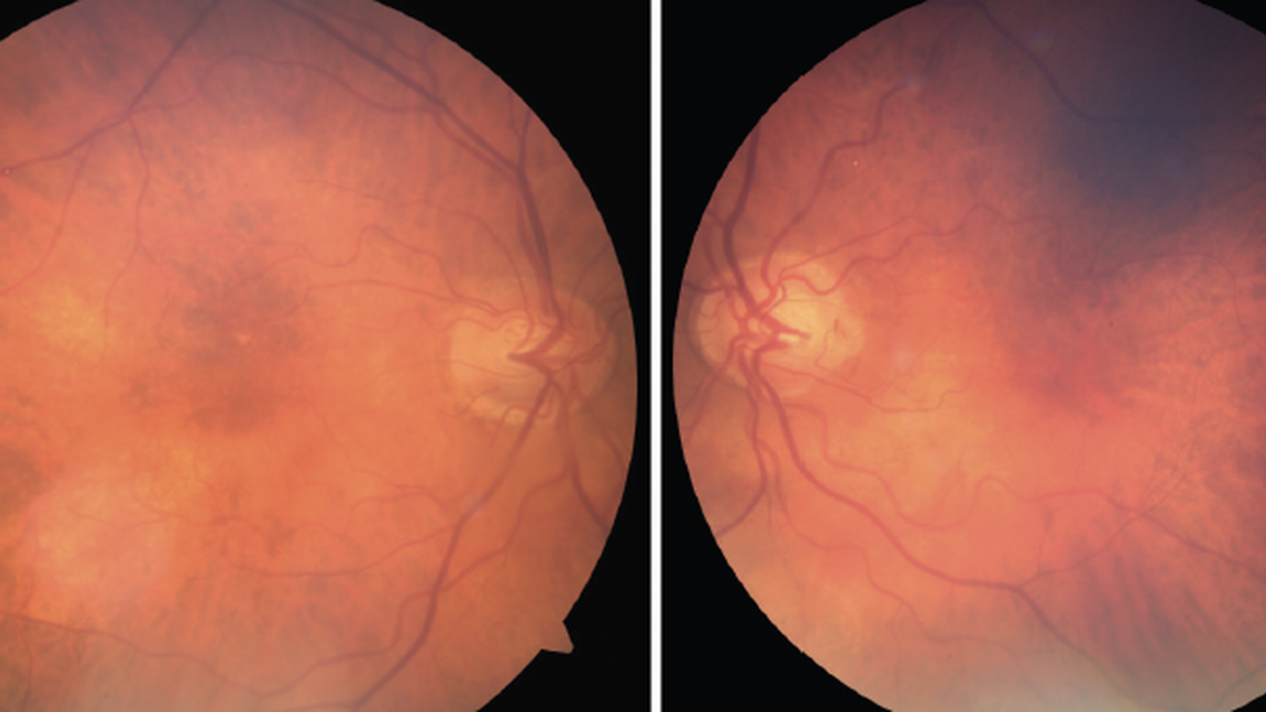
As primary eye care providers, we are aware of the complexity of glaucoma and how challenging it can be to diagnose. Availability of ancillary testing, such as visual fields, pachymetry, fundus photography of the optic nerve (Figure 1), and OCT has made evaluating retinal nerve fiber layer (RNFL) and the ganglion cell complex (GCC) easier now than ever before, leading to earlier detection and treatment.

It has been postulated that 25% to 35% of the damage to retinal ganglion cells caused by glaucoma occurs prior to showing any visual field deficit.7 Serial OCT scans are useful in diagnosing those early glaucoma cases that may fall under pre-perimetric glaucoma by helping quantify the state of the RNFL and GCC. Initially, emphasis was put on evaluation of the RNFL and its relation to glaucoma; however, studies show that roughly 50% of RGCs are found in the macular region.8 Therefore, measurement of the GCC, which is made up of the RNFL, the ganglion cell layer, and the inner plexiform layer, is thought to be more effective than evaluating RNFL alone in diagnosing early glaucoma (Figures 2 and 3).7


Although it’s nice to rely on newer technology, careful interpretation of the results is important for clinicians to reduce errors. OCT, for example, may display some pitfalls if you are not careful at assessing the results, and clinicians can be led to misdiagnose if they only assess OCT printouts by color. Scan quality, artifacts, interscan variability, and patient demographics related to the systems normative-database are all important considerations to keep in mind when looking at a patient’s scans.
When attempting to correlate potential glaucomatous damage with OCT and visual field, historically, Humphrey visual fields (HVF) 24-2 (Figure 4) or 30-2 testing have been the method of choice. It is also postulated that approximately 16% of patients with glaucoma may present without defects on 24-2 alone but will show glaucomatous changes on a 10-2.9 Therefore, HVF 10-2 may be a good choice when relating GCC functional damage to structural changes, as in our example of a 78-year-old White male patient (Figure 5).


TREATMENT MODALITIES
Drops
Historically, eye care providers have leaned on topical medications as first-line treatment for glaucoma, and new classes of glaucoma medications continue to emerge, the latest being rho kinase inhibitors (ROCKS) and nitric oxide (NO)-donating compounds. ROCKS, which includes netarsudil ophthalmic solution 0.2% (Rhopressa, Alcon) and a newer combination medication, netarsudil/latanoprost ophthalmic solution 0.02/0.005% (Rocklatan, Alcon), decrease IOP by increasing outflow through the trabecular meshwork. NO-donating molecules, such as latanoprostene bunod ophthalmic solution 0.024% (Vyzulta, Bausch + Lomb), are thought to lower IOP by relaxing the trabecular meshwork.
Laser
Beyond traditional pharmaceutical options, which can pose a compliance problem, interventions such as selective laser trabeculoplasty (SLT), ALT, and laser peripheral iridotomy, can be a great option for many patients with glaucoma. Recent studies suggest that laser could be used earlier in the glaucoma management timeline. In fact, the Laser in Glaucoma and ocular Hypertension Trial (LiGHT) study demonstrated that SLT should be considered as first-line treatment for patients with open-angle glaucoma or ocular hypertension, given its favorable safety profile and efficacy.10
Surgical
Comanagement with a surgical center provides an opportunity to use microinvasive glaucoma surgery (MIGS) to help lower or maintain adequate control of IOP, either as a standalone procedure or in conjunction with cataract surgery. The categorization of MIGS constitutes a group of surgical interventions that share similar characteristics, including minimal disruption to the ocular tissue while offering an effective IOP-lowering effect. These interventions usually carry a better safety profile and faster recovery time than traditional surgery.
Sustained-Release Drug Delivery
In 2020, the FDA approved the first sustained-release implant for managing open-angle glaucoma or ocular hypertension, bimatoprost 10 mcg (Durysta, Allergan), a prostaglandin analog.11 This implant is a biodegradable, solid polymer that is injected into the anterior chamber with a preloaded sterile applicator. The intracameral implant slowly dissolves, releasing medication directly to target tissue and showing effective IOP reduction for more than 90 days. This option attempts to combat issues with long-term topical drop instillation, such as allergic reactions or noncompliance.
CHANGE IS ON THE HORIZON
Optometrists in every state have therapeutic privileges when it comes to managing glaucoma, but legislature in some states specify guidelines for when optometrists must refer patients to a glaucoma specialist for care. At the time of publication, optometrists in 10 states are permitted by law to treat ocular conditions using lasers; however, lawmakers in other states are expected to grant this privilege to their optometrists soon.
Our armamentarium for glaucoma management is vast, with opportunity for further expansion on the horizon. Technological advances in OCT, more accessible continuing education platforms, and ongoing scope expansion provide us with more tools than ever. Let’s make sure we’re prepared to practice within this evolving landscape.
Ready to Claim Your Credits?
You have attempts to pass this post-test. Take your time and review carefully before submitting.
Good luck!
Recommended
- Glaucoma
Rationalizing the Red: When RNFL Atrophy Is Not Glaucoma
Katherine Rachon, OD, FAAO, Dipl ABOKatherine Rachon, OD, FAAO, Dipl ABO







