Optometry’s Role in Open Globe Management
AT A GLANCE
- Ocular trauma is a leading cause of preventable blindness in developed countries.
- Typically, referral to an ophthalmologist or the emergency department is warranted for the management of an open globe injury.
- As a preventive measure, talk with patients during yearly eye exams and caution them on the importance of safety eyewear while performing high-risk activities.
Ocular trauma is a leading cause of preventable blindness in developed countries. After sustaining an eye injury, patients often present to their optometrist for guidance. It is important, then, for optometrists to be able to identify, or know when to suspect, an open globe injury, as these injuries carry the poorest prognoses, especially if not identified quickly. First things first, we need to know what we’re dealing with and how to classify our findings.
CLASSIFICATION
The ability to evaluate patients with ocular trauma and describe the injury to a referring physician reduces ambiguity about the status of the eye. Open globe injuries, as defined by the Birmingham Eye Trauma Terminology system, are full-thickness defects of the eye wall, cornea, and/or sclera.1 Open globe injuries are subdivided by their mechanism of action.
Blunt trauma to the eye wall, an inside-out mechanism, can cause a rupture due to an increase in IOP.1,2 Lacerations, an outside-in mechanism, are full-thickness defects created by a sharp or high-velocity object.2,3 Penetrating injuries have the same entry and exit wound. Perforating injuries have a different entrance and exit wound. Intraocular foreign bodies have an entrance wound and a retained foreign body.
EPIDEMIOLOGY
The main risk factors for ocular injury are young age, male gender, and failure to wear eye protection during high-risk activities.4,5 Fifty-eight percent of patients who sustain ocular injuries are under 30 years of age.5 In the United States, males are five-times more prone to ocular injuries than their female counterparts.4 Most injuries take place at home or in the workplace.4 Blunt and sharp objects, such as rocks, fists, scissors, and knives, are the most common culprits.4 Injuries among teenagers are most commonly secondary to BB guns or baseballs.4 Falls are the main cause of ocular injuries in older patient populations.6
VISUAL POTENTIAL
Ocular penetrating and perforating injuries often result in vision loss, defined as BCVA of 20/40 or worse.7 The chance of visual recovery post-injury can be calculated using the Ocular Trauma Score, which considers the material of the object, initial visual acuity, type of injury, presence of a relative afferent pupillary defect, retinal detachment, and/or endophthalmitis.8,9 Ruptured globe injuries with an initial VA of less than 20/200 carry a poorer prognosis.4,10 The Ocular Trauma Score is a helpful clinical tool for educating the patient on their potential visual function and for assisting in the clinical decision-making process.4,5
DETAILED HISTORY
Inquire about the mechanism of injury, time of injury, visual acuity before injury, and nature of the incident.2,3 In the setting of an intraocular foreign body, further details should be gathered regarding the physical characteristics of the object, the origin of the foreign body, and its speed, distance, and direction toward the eye.2,3 Note whether prescription glasses, sunglasses, or eye protection was used during the time of the incident. The overall condition of the patient should be documented, along with their systemic history and medications.3 If there is high suspicion of an open globe injury, consider performing a quick examination before taking a full history.
OCULAR EXAMination
The ocular examination can be done only if the patient’s vital signs are stable. Otherwise, refer the patient to the nearest emergency department. Because the most important predictor of final visual function is visual acuity, vision should be measured unilaterally with pinhole. If the patient is unable to open their eye, or has severe periorbital swelling, topical anesthetics and a lid retractor may be used to assess vision.2,3
A careful external examination of the periorbital area to evaluate for lacerations, enophthalmos, ecchymosis, emphysema, or numbness of the facial area is imperative.3 The pupils should be assessed for size, shape, response to light, and the presence or absence of a relative afferent pupillary defect. A gross assessment of the visual fields via confrontation and a careful slit-lamp exam (with minimal ocular manipulation) of the anterior segment is needed. Fluorescein should be used to identify defects and determine if eye wall lesions are Seidel-positive, revealing leakage of aqueous humor. A posterior segment exam is crucial to determine the extent of the patient’s injury and/or potential presence of an intraocular foreign body.3
Until an open globe injury has been ruled out, avoid IOP, gonioscopy, irrigation of the eyelids, or any procedure that potentially risks manipulating the eye or exerting pressure on the globe.
OCULAR FINDINGS
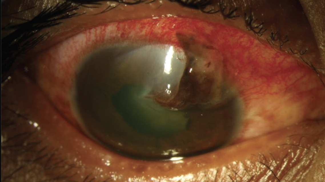
Signs of an open globe are extensive, including conjunctival pigmentation or chemosis, low IOP (relative to the fellow eye), conjunctival or scleral lacerations, bullous subconjunctival hemorrhage, shallow anterior chamber, hyphema, eccentric or peaked pupil, iridodialysis, lens dislocation, and vitreous prolapse or hemorrhage (Figures 1-3).2,11



TREATMENT
For open globe injuries, referral to an ophthalmologist or the emergency department is usually warranted. If an intraocular foreign body is present, leave it in place.2,3 Apply a Fox eye shield to prevent further injury or eye rubbing.2,3 Do not patch the eye. An immediate CT scan of the brain and orbits may be needed to rule out an intraocular foreign body or posterior rupture. Inquire about the time of the patient’s last meal and advise them to withhold from eating or drinking for the time being, as surgical intervention is often necessary.3,11
Assess the patient’s tetanus immunization history and refer for a booster dose if required.3 Discuss with the referring physician if prophylactic antibiotics should be administered. Antibiotic use will depend on how fast the patient can present to the referring physician. Antibiotics may be recommended to lower the chance of endophthalmitis, a devastating complication after open globe injuries that often requires prophylactic antibiotics.12,13 If needed, antiemetics can be given for nausea and vomiting in order to prevent expulsion of intraocular content.11
The optometrist’s role in open globe injuries is to ensure the patient’s vitals are stable, identify the mechanism of action, acutely treat/shield the patient if needed, and refer to an ophthalmologist emergently. Although surgical intervention may not be warranted in cases of poor visual potential, it is still prudent to refer the patient for globe closure and further management.
APPROACH WITH CAUTION
Ocular trauma cases should be approached calmly to help alleviate any anxiety the patient may have and allow for a proper eye exam. Such cases require a prompt, yet detailed, evaluation of the globe’s integrity. If an ocular exam cannot be performed due to patient cooperation or without risk of manipulating the eye, obtain a detailed history of the injury and monocular visual acuity, as this information may prove helpful not only in the treatment plan, but also in the prognosis following surgical intervention. Most importantly, establish working relationships with local ophthalmologists to help speed up the referral process and ensure timely treatment for the best results.
Prevention is key. Talk with patients during yearly eye exams and caution them on the importance of wearing safety eyewear while performing high-risk activities.
Ready to Claim Your Credits?
You have attempts to pass this post-test. Take your time and review carefully before submitting.
Good luck!
Recommended
- Cornea/Anterior Segment
EMPOWER - Corneal Health and the Relevance of Specialty Lenses
Jacob Lang, OD, FAAO, Dipl ABO; Diana ChuJacob Lang, OD, FAAO, Dipl ABO; Diana Chu - Cornea/Anterior Segment
Epi-Off Versus Epi-On: the Conversation Continues
Sam Rivet; Mitch Ibach, OD, FAAOSam Rivet; Mitch Ibach, OD, FAAO







