Complex Management of a Patient With a Coinfection
AT A GLANCE
- Ocular syphilis can occur in up to 18% of patients with syphilis, at any stage, and affect any ocular structure.
- Coinfection with HIV, which occurs in 27% to 50% of cases, can increase the severity of syphilitic disease.
- Close monitoring and comanagement are vital in patients with neurosyphilis.
Syphilis is a systemic infection caused by the spirochete Treponema pallidum. It can be transmitted by sexual contact, vertical transmission from mother to fetus, blood transfusions, and breaks through the skin.1 Syphilis is categorized by four stages: primary, secondary, latent, and tertiary. Ocular or neurologic involvement can occur at any stage and can affect any ocular structure. Ocular syphilis can occur in up to 18% of patients with syphilis.1
In certain populations, coinfection with HIV occurs in 27% to 50% of cases.2-4 This coinfection can heighten the transmissibility of syphilis and can increase the severity of syphilitic disease. Coinfected individuals are more likely to present with earlier and more severe ocular involvement, especially of the posterior segment, likely attributed to the increased severity of immunosuppression.1,2,5-7
Some authors have reported panuveitis to be the most common presenting sign in this population,3 whereas others have reported optic neuritis without panuveitis to be the most common.1 Decreased visual acuity and visual field loss may occur when optic neuritis is present. Despite coinfection with HIV, visual acuity improves when syphilis is treated appropriately.1,2
SEROLOGIC TESTING CONSIDERATIONS
Anti-treponemal serologic titers, such as fluorescent treponemal antibody (FTA-ABS) and microhemagglutination (MHA), are sensitive and specific for syphilis at all stages of the disease. Lipid antigen tests, such as venereal disease research laboratory (VDRL) or rapid plasma reagin (RPR), are more useful for assessing active disease and monitoring treatment. Patients with higher RPR titers (>1:32) and those who are infected with HIV and have lower CD4 cell counts have a greater likelihood of neurosyphilis.8
Coinfection with HIV can increase false positives and negatives.5,7 Therefore, patients should also undergo testing for HIV simultaneously. The Centers for Disease Control and Prevention recommends lumbar puncture with cerebrospinal fluid (CSF) analysis in patients with signs of neurosyphilis.4 Neuroimaging with MRI may also be helpful.7
Some authors have proposed maintaining a low threshold for syphilitic treatment due to the high incidence of false negatives and confounded serologic results in the coinfected population.5
TREATMENT
The mainstay of treatment for systemic syphilis infection is penicillin G. Patients allergic to penicillin may need doxycycline or ceftriaxone instead. Despite promising case reports of resolution of neurosyphilis with oral doxycycline treatment,9,10 no controlled ocular studies have suggested that this is an effective alternative. There are even more limited studies on treatment in coinfected individuals. Instead, desensitization to penicillin is recommended.2,11
FOLLOW-UP
Patients with neurosyphilis should be monitored with lumbar puncture every 6 to 24 months.2,7 If the CSF VDRL score does not decrease, retreatment may be indicated. Serologic RPR should be repeated every 4 months to monitor the efficacy of treatment and flag the need for retreatment.2,11
CASE PRESENTATION
History
A 57-year-old White man presented with acutely blurred vision in his right eye, specifically when reading small print. He had no light perception visual acuity and complete nerve pallor in his left eye with chronic optic nerve atrophy due to orbital cellulitis related to methicillin-resistant Staphylococcus aureus with extension to the frontal lobe. For treatment of the orbital cellulitis, he had previously undergone ethmoidectomy, conjunctivoplasty with symblepharon release, and repair of the upper left canaliculus.
The patient had a documented history of right internal carotid artery occlusion and subsequent thrombolysis. He is also under treatment for AIDS and chronic hepatitis B. He reported a documented allergy to penicillin.
Examination
On initial examination, the patient’s BCVA was 20/160 OD. He was known to have had 20/20 BCVA OD prior to this visit. Pupils showed no relative afferent pupillary defect on reverse pupillary testing, and, as expected, there was no direct response to light in the left eye. There was no restriction of extraocular motilities, and the patient’s visual field was full to finger counting in the right eye.
Anterior segment evaluation revealed signs of ocular surface disease in both eyes. The patient’s left cornea was opacified with band keratopathy, and the left lower lid is mildly entropic. Tonometry was normotensive in both eyes with distorted mires in the left eye.
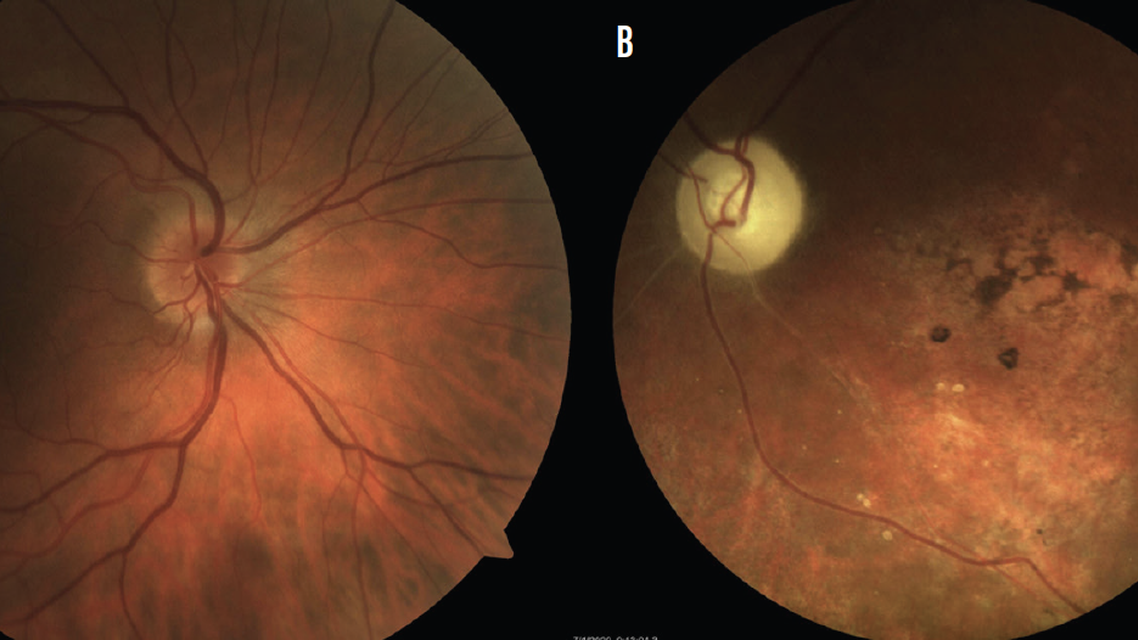
Posterior segment examination revealed mild nasal elevation of the optic nerve in the right eye. It appeared congested with vascular tortuosity, although no cotton wool spots or retinal hemorrhages were noted. Mild pigmentary changes were present in the macula, but no edema was noted. There was a stable retinal lesion in the superior temporal arcades that may represent an old retinal event. Left eye findings included atrophy of the optic disc and retina (Figure 1).

Fluorescein angiography of the right eye showed leakage of the optic disc, mild retinal staining just outside the superior temporal vascular arcade, and no macular leakage (Figure 2). Threshold visual field testing showed a mild central depression, and optic nerve OCT documented mild elevation of the retinal nerve fiber layer (RNFL). Color vision with HRR plates was also reduced.

Further Testing
Magnetic resonance angiography/venography of the brain revealed signs of old vascular insults. MRI of the brain revealed chronic ischemic vessel disease and left optic nerve atrophy. Further neuroimaging of the orbits was inconclusive, with nonspecific mild enhancement surrounding the optic nerve sheath. CT imaging of the brain and orbits was not significant for acute findings.
Blood labs showed an elevated erythrocyte sedimentation rate of 28 mm/hr and C-reactive protein of 38 mg/dL, for which the patient was urgently referred to neuro-ophthalmology. His viral load was undetectable and CD4 counts were high. His VDRL syphilis serology was also elevated at 1:256.
Management and Results
This unique case was comanaged with infectious disease and neuro-ophthalmology. Given the patient’s penicillin allergy, treatment with oral doxycycline 200 mg twice daily was initiated immediately upon confirmation of the diagnosis of syphilis during coordination of treatment.
There are no trials demonstrating the efficacy of oral doxycycline monotherapy for the treatment of syphilis, and desensitization to penicillin is still the standard of care. The patient was admitted for penicillin desensitization therapy and administration of intramuscular penicillin 24 million units/day for 14 days, which was successful in treating his active syphilitic disease. Oral doxycycline treatment was continued throughout this period.
The patient was monitored for resolution of his optic nerve edema and improvements in his visual acuity. Two weeks after treatment, his VA had improved to 20/50 OD. Dilated examination showed mild improvement in the appearance of the optic nerve edema, although a central visual field defect was still present.
Six weeks after treatment, the patient’s VA had improved to 20/25 OD, the visual field defect had almost resolved, and average RNFL thickness had decreased, demonstrating resolution of the optic nerve edema. Eight weeks after treatment, average RNFL thickness was stable and macular OCT showed a low signal in the interdigitation zone, consistent with clinically mild pigmentary changes in the macula (Figures 3 and 4).


By 3 months after treatment, the patient’s VA was stable at 20/20 OD and the optic nerve edema had completely resolved. Visual field with a 10-2 protocol was also full. Dilated fundus examination revealed stable pigmentary changes in the macula, likely causing a mild reduction in contrast sensitivity. There was a fourfold decrease in the RPR titer from 1:256 to 1:64.
CLOSE MONITORING IS VITAL
This patient’s infectious disease specialist is comanaging his case, and he is being followed every 3 months in our ophthalmology clinic. This case highlights the importance of close monitoring and comanagement in patients with neurosyphilis.
Ready to Claim Your Credits?
You have attempts to pass this post-test. Take your time and review carefully before submitting.
Good luck!
Recommended
- January/February 2022 ISSUE
What Is the Optimal Pupil Size?
Charles Roseman, OD, FAAO; Jay S. Pepose, MD, PhDCharles Roseman, OD, FAAO; Jay S. Pepose, MD, PhD - Contact Lenses
Where Do Specialty Contact Lenses Fit Into the Evolving Medical Optometry Practice?
Stephanie Frankel, ODStephanie Frankel, OD





