Editorially independent content, supported with advertising by Astellas
GA Case Compendium: Simultaneous Development of Geographic Atrophy and Wet AMD in a Patient Lost to Follow-up
This Case Report is Interactive!
Strengthen your understanding of geographic atrophy by answering the challenge questions below.
Case Presentation
A 67-year-old Caucasian woman presented in October 2019 for a comprehensive eye examination, referred by her primary care physician. Her ocular history was unremarkable. Medical history was notable for hypertension controlled with medication and sleep apnea, for which she reported use of a continuous positive airway pressure (CPAP) device. She was not experiencing any specific visual complaints at the time.
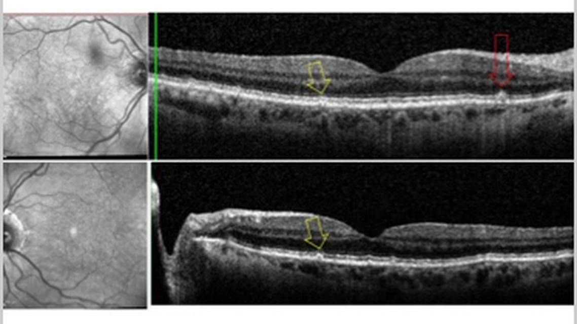
The patient's entering BCVA was 20/30 OD and 20/40 OS, improving to 20/25 OU with refraction. Anterior segment examination revealed early cataracts OU and mild signs of dry eyes. Fundus examination showed signs of hypertensive retinopathy and early age-related macular degeneration (AMD) with the presence of small drusen and mild retinal pigment epithelium (RPE) changes in both eyes. Baseline imaging with optical coherence tomography (OCT) confirmed these findings (Figure 1).

The patient was educated about AMD and its risk factors, including the potential for progression to advanced forms. The importance of monitoring vision regularly was emphasized and AREDS2 supplements and their potential role in slowing AMD progression were discussed. The patient was scheduled to return for a follow-up in 6 months.
However, the patient was lost to follow-up for nearly 4 years. She returned in August 2023, citing COVID-19 concerns as the reason for failing to follow up. She presented with complaints of worsening vision in her right eye, which she suspected was due to her cataracts. Her BCVA had declined to 20/60 OD and 20/30 OS.
Fundus examination and OCT revealed progression to advanced AMD in both eyes. In the right eye, there were small-to-large sized drusen with pigment changes and subretinal pigment clumping with overlying scant subretinal fluid, indicative of macular neovascularization (MNV). In the left eye, small-to-large sized drusen with pigment changes were observed, along with multiple areas of geographic atrophy (GA) lesions (Figure 2).

The patient was diagnosed with wet AMD in the right eye and GA in the left eye. The patient was educated about the different forms of advanced AMD now present in her eyes and treatment options for each. The risks and benefits of anti-VEGF therapy for the right eye were discussed as well as that the importance of treatment is preserving vision. For the left eye with GA, the potential of complement inhibition therapy was explained in detail, as was the importance of early intervention to preserve remaining retinal tissue and her visual function.
The patient was referred to a retina specialist for further evaluation and management of both conditions and given a follow-up appointment in our clinic in 3 months. The importance of adhering to the follow-up schedule and promptly reporting any visual changes was strongly emphasized.
She was seen by a retina specialist and received treatment with intravitreal anti-VEGF injections for the right eye. For the left eye, the retina specialist recommended close monitoring of the GA lesions, with consideration for complement inhibition therapy based on the rate of progression and impact on the patient’s visual function.
At her 3-month follow-up visit, the right eye, treated for wet AMD with ongoing intravitreal anti-VEGF injections, showed improvement with VA reaching 20/50. OCT imaging confirmed stabilization of subretinal fluid and reduction in a pigment epithelial detachment (Figure 3). The left eye with GA was being monitored for progression and had a VA of 20/40. Fundus examination revealed well-demarcated areas of RPE and outer retinal atrophy. OCT imaging of the left eye demonstrated expanded areas of choroidal hypertransmission, indicating progression of RPE loss, along with thinning of the outer nuclear layer and disruption of the ellipsoid zone in areas of GA (Figure 3).

The patient was further educated about her condition, with particular emphasis on GA. It was explained that while central visual acuity often remains stable until GA affects the fovea, other visual functions such as reading speed and low-light vision may be impacted earlier. The patient's OCT images were used to demonstrate the expansion of GA lesions since her previous visit, even over this short period.
The patient was further advised that the goal of GA treatment is to slow progression and preserve remaining visual function, rather than reversal of existing damage. The risks of deferring treatment were emphasized, including the potential for faster GA progression and earlier foveal involvement. Despite this comprehensive education, the patient opted to defer treatment for GA, citing that she had not noticed a change in her vision. The findings and the patient's decision were communicated to the retina specialist, and the patient was instructed to continue follow-up with both clinics.
Unfortunately, the patient missed her scheduled 3-month follow-up in February 2024. It was later discovered that she had been referred for and underwent cataract surgery in her left eye. The patient was most recently seen in June 2024, with visual acuity improved to 20/25 in both eyes. However, despite the improved acuity in the left eye after cataract surgery, the patient reported persistent blurry vision in her left eye. Updated OCT imaging revealed further expansion of GA lesions in the left eye, while the wet AMD in the right eye had resolved (Figure 3). This visit underscored the disconnect between visual acuity measurements and functional vision in GA, as well as the potential risks of interrupting consistent follow-up and deferring treatment.
During this visit, the patient was again educated on the progressive nature of GA and the importance of timely intervention. A referral back to the retina specialist was made to reassess eligibility for GA treatment, emphasizing the need for prompt evaluation given the disease progression. This case illustrates the complex and often unpredictable course of AMD management, highlighting the critical need for patient education, regular monitoring, and coordinated care between optometrists and retina specialists.
Summary/Clinical Take-Home
This case underscores several critical points:
1. Importance of Close Monitoring and Continuous Patient Education:
- Regular follow-up appointments are crucial in managing AMD, particularly for early detection of GA. The extended gap in care (nearly 4 years) resulted in undetected progression to advanced AMD in both eyes, including the development of GA in the left eye.
- Early detection of GA is vital, as current treatments aim to slow progression rather than reverse existing damage. Consistent monitoring can help identify GA in its early stages when intervention may be most effective.
- Close monitoring allows for timely interventions which significantly impact the patient's visual prognosis, especially in preventing or delaying foveal involvement in GA.
- Patient education and re-education by all eye care providers are crucial in the management of patients with any stage of AMD, including those diagnosed with GA. This is even more important when the patient doesn’t “perceive a problem.”
- Patient education should be an ongoing process, not a one-time event, as patient understanding and perception may change over time. When educating patients, it is essential to use multiple approaches (verbal explanations, visual aids, take-home materials) to ensure comprehensive understanding. Patient education should cover the nature of AMD and GA, potential progression, treatment options, and the importance of follow-up care.
2. Coexistence of Wet AMD and GA:
- This case illustrates how AMD can progress differently in each eye of the same patient. The patient presented with both wet AMD and GA simultaneously, emphasizing the complex and heterogeneous nature of AMD progression.
- Management strategies differ significantly between wet AMD and GA, necessitating a tailored approach for each eye.
3. Visual Acuity and AMD Progression:
- While the patient's vision had declined, particularly in the right eye, it's important to note that visual acuity alone is not always indicative of AMD progression or GA development.
- GA can progress significantly before affecting central visual acuity, especially when lesions are extrafoveal. This case highlights the need for comprehensive examinations and imaging studies to detect and monitor GA progression, even when visual acuity changes may be subtle.
4. Disconnect Between Visual Acuity and Functional Vision in GA:
- This case highlights the potential discrepancy between measured visual acuity and a patient's functional vision, particularly in GA.
- Despite maintaining relatively good visual acuity, the patient experienced persistent visual complaints and functional vision loss.
- Visual acuity alone may not capture the full extent of visual impairment in GA, as it primarily assesses foveal function.
- GA can significantly impact other aspects of vision before affecting central acuity, including contrast sensitivity, reading speed and fluency, low-light vision, and visual adaptation to changing light conditions
- Understanding this disconnect is crucial for patient education and managing expectations, clinical decision-making regarding treatment initiation, and assessing treatment efficacy beyond visual acuity improvements.
5. Emerging Therapies for GA:
- The case highlights the evolving landscape of AMD treatment, particularly the advent of complement inhibition therapies for GA.
- Early identification of GA allows for timely consideration of these new treatment options, potentially slowing lesion growth and preserving visual function.
- Patient education about new GA treatments is crucial, as it will improve adherence to follow-up schedules and prompt reporting of visual changes.
- By staying informed about current treatment options, utilizing appropriate imaging technologies, and maintaining strong collaborative relationships with retina specialists, optometrists can significantly contribute to preserving visual function in patients with GA.
This case emphasizes the unpredictable and progressive nature of AMD and the importance of regular eye examinations, particularly in monitoring for GA development and progression. Even in the absence of significant visual symptoms, patients with AMD should undergo comprehensive eye exams with appropriate imaging to monitor for disease progression. Early detection of GA allows for timely intervention and patient education, potentially preserving vision and quality of life. The case also underscores the need for close collaboration between optometrists and retina specialists to ensure optimal patient care in the face of evolving treatment options for both wet AMD and GA, while considering the full spectrum of visual function beyond visual acuity alone.
ABOUT THIS SERIES
Newly available treatment options for geographic atrophy (GA) have the potential to change the prognosis for long-term eye health. However, their newness also raises important practical questions, including about who should be referred and when. The Geographic Atrophy Clinical Case Compendium was developed, with guidance from Carolyn E. Majcher, OD, FAAO, FORS, and Julie Rodman, OD, MSc, FAAO, to demonstrate real-world patient encounters and the impact of treatment on the clinical course.
Ready to Claim Your Credits?
You have attempts to pass this post-test. Take your time and review carefully before submitting.
Good luck!
Recommended
- Geographic Atrophy Case Compendium
GA Case Compendium: Challenges in Patient Education and Treatment Decision-Making for Geographic Atrophy
Roya Attar, OD, MBA, DHARoya Attar, OD, MBA, DHA - Geographic Atrophy Case Compendium
GA Case Compendium: Collaborative Care to Improve Patient Adherence to Therapy
Damon Dierker, OD, FAAODamon Dierker, OD, FAAO - Geographic Atrophy Case Compendium
GA Case Compendium: Image Findings Suggesting Risk of Geographic Atrophy Progression
Julie Rodman, OD, MSc, FAAO, FORSJulie Rodman, OD, MSc, FAAO, FORS







