Editorially independent content, supported with advertising by Astellas
GA Case Compendium: Collaborative Care to Improve Patient Adherence to Therapy
This Case Report is Interactive!
Strengthen your understanding of geographic atrophy by answering the challenge questions below.
Case Presentation
A 74-year-old female presented for an annual dilated examination.
- She reported longstanding blurry vision, greater in the right eye than left, but with no recent changes.
- She denied having any recent history of ocular discomfort or itching.
- She was diagnosed with early age-related macular degeneration (AMD) approximately 7 years prior (Figure 1). Approximately 4 years ago, she was diagnosed with geographic atrophy (GA) secondary to AMD in both eyes, with subfoveal involvement OD and without subfoveal involvement OS.

At the time of her diagnosis, no FDA-approved treatment was available. She continued to be seen every 6 months for follow-up. Approximately 2 years prior to this visit, evidence of disease progression was noted and the decision to refer to a retinal specialist for consideration of complement inhibition (recently approved) was made (Figure 2). She started therapy for her left eye a few months later and has been receiving regular therapy since. The retina specialist deemed the right eye to be too advanced to benefit from therapy. She continues to take AREDS2-based supplements faithfully. Ocular history was remarkable for prior LASIK OU, pseudophakia s/p Nd:YAG laser capsulotomy OU, epiretinal membrane (ERM) OU, multiple choroidal nevi OS, and type 2 diabetes with no retinopathy OU. The rest of her medical history was non-contributory.

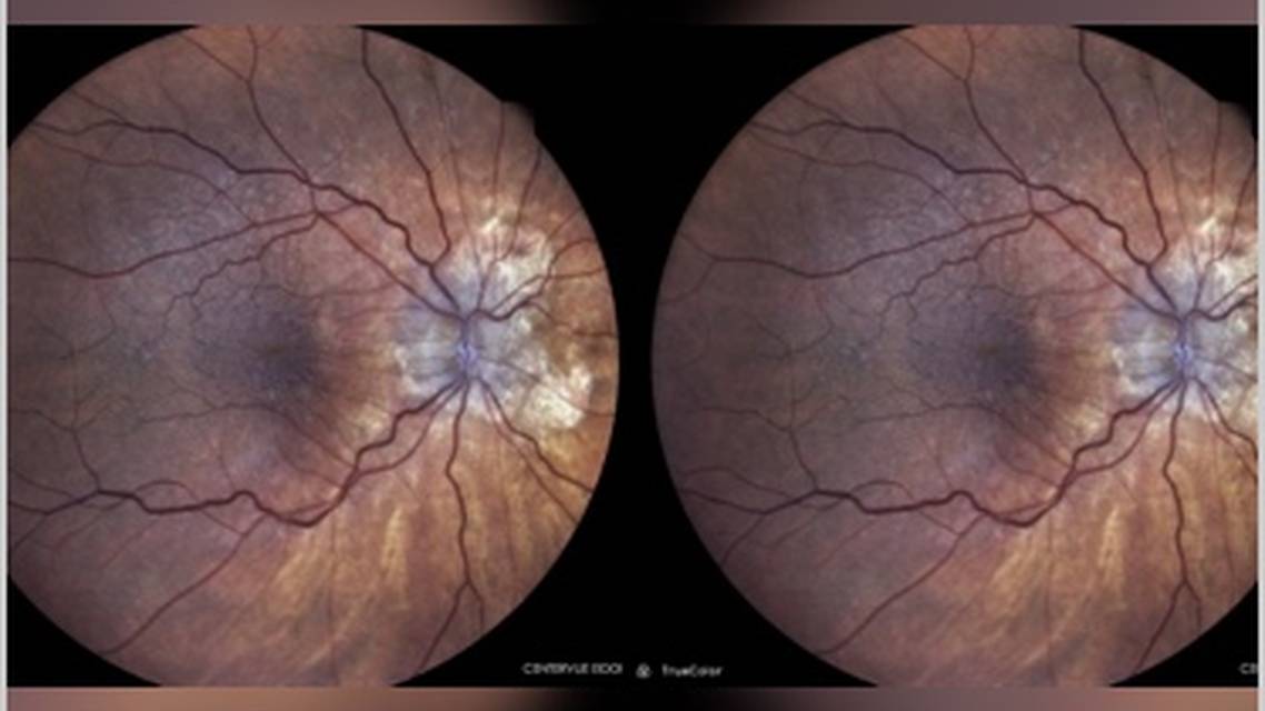
The patient’s BCVA was 20/200 OD and 20/30 OS at the most recent visit. This was unchanged compared to her acuity at the time of her referral to the retinal specialist 2 years prior. Examination of the anterior segment revealed mild lash collarettes bilaterally, normal-appearing LASIK flaps, no evidence of ocular surface staining, and well-centered posterior chamber IOLs with open capsules OU. Ophthalmoscopy revealed healthy-appearing optic nerves with prominent peripapillary atrophy OU. In the right eye, there was a large area of GA centered on the fovea. In the left eye, there were two parafoveal areas of GA with only minimal progression compared to the previous visit. There was no evidence of subretinal fluid or hemorrhage OU. Stable epiretinal membrane (ERM) OU and choroidal nevi OS were noted. There was no evidence of diabetic retinopathy OU. Color photography confirmed the clinical impression of minimal progression of her GA OS (Figure 3). OCT angiography (OCT-A) confirmed the absence of macular neovascularization OU (Figure 4). Typical choroidal hypertransmission defects were noted OD>OS, as well as inner retinal changes consistent with ERM OU. Of interest, the scanning laser ophthalmoscope (SLO) obtained during the OCT-A imaging clearly demonstrated the well-circumscribed areas of GA OU and the absence of subfoveal involvement OS.


As part of our visit, I was able to share images obtained today, 2 years earlier, and photos obtained at the time of her AMD diagnosis approximately 7 years prior. I explained to the patient that the progression of her atrophy was minimal OS and encouraged her to continue receiving complement inhibition therapy under the direction of the retina specialist. I encouraged her to continue her ocular supplements, and we agreed to observe her mild Demodex blepharitis. A report was sent to the primary care physician and the comanaging retina specialist. A follow-up visit was scheduled for 1 year.
Summary/Clinical Take-Home
This case is important for many reasons. If a decision is made to refer to a retina specialist for evaluation and possible treatment of GA, the patient should be pre-appointed for routine follow-up by the optometrist. Patients still require routine eye care for refractive needs, management of common conditions such ocular surface disease and glaucoma, screening for diabetic retinopathy, and counseling regarding their chronic sight-threatening retinal condition. With current therapies for GA only being able to slow and not reverse the disease, reviewing the progression, or lack thereof, with the patient and family can potentially improve adherence to therapy. Patients need to be counseled that continued visual loss is possible. In this case, the images demonstrate that untreated GA can progress relatively quickly, with no evidence of GA at baseline OD (Figure 1) to severe subfoveal disease in just a few years (Figure 2). This case is also remarkable for the lack of significant progression in her eye receiving therapy for nearly 2 years. She has been able to continue to enjoy reading and using the computer without the need for any visual aids beyond spectacles. Finally, the use of multimodal imaging in the management of AMD, and GA in particular, is highlighted with the SLO images providing complimentary information obtained by fundus photography. The size of the GA lesions and location relative to the fovea are clearly demonstrated with OCT technology.
ABOUT THIS SERIES
Newly available treatment options for geographic atrophy (GA) have the potential to change the prognosis for long-term eye health. However, their newness also raises important practical questions, including about who should be referred and when. The Geographic Atrophy Clinical Case Compendium was developed, with guidance from Carolyn E. Majcher, OD, FAAO, FORS, and Julie Rodman, OD, MSc, FAAO, to demonstrate real-world patient encounters and the impact of treatment on the clinical course.
Ready to Claim Your Credits?
You have attempts to pass this post-test. Take your time and review carefully before submitting.
Good luck!
Recommended
- Geographic Atrophy Case Compendium
GA Case Compendium: Challenges in Patient Education and Treatment Decision-Making for Geographic Atrophy
Roya Attar, OD, MBA, DHARoya Attar, OD, MBA, DHA - Geographic Atrophy Case Compendium
Clinical Case Compendium: Setting Expectations and Patient Education in Geographic Atrophy Management
Steven Ferrucci, OD, FAAOSteven Ferrucci, OD, FAAO - Geographic Atrophy Case Compendium
GA Case Compendium: Simultaneous Development of Geographic Atrophy and Wet AMD in a Patient Lost to Follow-up
Roya Attar, OD, MBA, DHARoya Attar, OD, MBA, DHA







