Editorially independent content, supported with advertising by Astellas
GA Case Compendium: Challenges in Patient Education and Treatment Decision-Making for Geographic Atrophy
This Case Report is Interactive!
Strengthen your understanding of geographic atrophy by answering the challenge questions below.
Case Presentation
A 76-year-old Black female first presented to our clinic in 2016 for a comprehensive eye examination after being referred by her primary care provider. At that time, her best corrected visual acuity was 20/40 in her right eye and 20/25 in her left eye. She had multiple medium and large drusen in both eyes (Figure 1) and was diagnosed with intermediate dry age-related macular degeneration (AMD) and started on AREDS supplementation and routine monitoring.

By 2018, imaging revealed geographic atrophy (GA) in the right eye, marking a significant shift in her disease progression (Figure 2). Despite these findings, she had minimal subjective complaints about her vision (20/40 OD, 20/25 OS). She continued to slowly progress, and in early 2022, she underwent cataract surgery in the right eye, after which she expressed dissatisfaction with her postoperative vision. Although she had a mild improvement initially, she was soon dissatisfied as she perceived a decline in the right eye, attributing it to a poor surgical outcome, not fully understanding that it was due to her advanced AMD and GA progression. She relayed that her left eye, which did not have the surgery, was doing better.

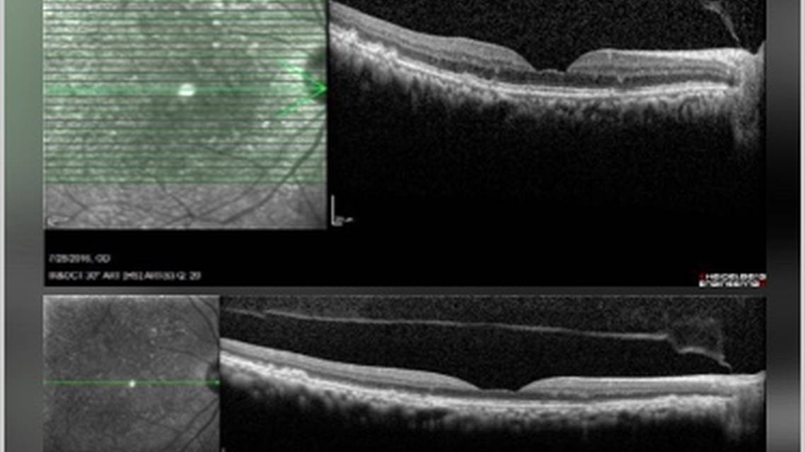
In 2024, she was seen for the first time under my care, presenting with progressive GA in the right eye and intermediate AMD in the left eye (visual acuity 20/40 OD, 20/40 OS) (Figures 3 and 4). During this visit, we discussed treatment options for GA, highlighting the primary goal of slowing GA progression and preserving visual function.


Clinical Findings & Disease Progression
Over the years, the GA in the patient’s right eye has advanced, and imaging shows increasing atrophic areas with hyperautofluorescence, characteristic of progression. Imaging from May 2025 is shown in Figures 5 to 7. The left eye remains high-risk, with large drusen and pigmentary changes, requiring close monitoring.



Other notable findings:
- Type 2 diabetes mellitus (non-insulin dependent, 10 years).
- No diabetic retinopathy in either eye.
- HbA1c fluctuating, peaking at 7.9% (2021), improving to 6.3% (2023), and stabilizing at 7.0% (2024).
- At risk for glaucoma.
- No family history, but vascular disease and age contribute to risk.
- Mixed-type cataract in the left eye.
- Visually significant, but the patient refuses surgical intervention.
In addition to routine monitoring, she was evaluated by a retina specialist, who confirmed continued progression of her GA lesions and discussed available treatment options aimed at slowing further retinal degeneration. Despite these discussions, she declined treatment, citing concerns about invasive procedures and uncertainty regarding potential benefits.
Discussion of Treatment Options and Patient Reluctance
Despite comprehensive discussions on GA treatments, both in our clinic and with a retina specialist, the patient has declined intervention, believing her vision has remained stable despite worsening imaging findings. Her reluctance stems from personal experiences and fear of further visual deterioration—concerns heightened by her husband’s avoidance of cataract surgery due to her outcome. This scenario underscores how negative surgical experiences shape patient attitudes toward future interventions and influence medical decision-making within households.
Although the patient refused treatment at this time, she still wants to maintain her independence and improve her remaining vision. For her specific needs, additional strategies were discussed, including:
- Referral for low vision rehabilitation to help maintain independence as GA advances.
- Continued AREDS II supplementation.
- Strict systemic control (diabetes, blood pressure, lipids) to mitigate progression.
- Routine monitoring via OCT, autofluorescence imaging, and functional assessments.
Her reluctance highlights the psychosocial complexities of GA management, where fear, misinformation, and previous medical experiences shape patient decision-making more than clinical evidence alone.
Another critical challenge in managing patients with AMD and GA is the need for repeated education, both for the patient and their family or caregivers. AMD is more prevalent in older adults, many of whom have multiple chronic conditions and are under the care of multiple specialists. These patients are likely undergoing various treatments simultaneously, which can make prioritizing eye health difficult. Additionally, age-related cognitive decline or memory issues may impact treatment adherence, requiring consistent reinforcement of recommendations over multiple visits.
Caregivers and family members play an essential role in decision-making and adherence to follow-ups. In this case, the husband’s reluctance toward treatment influenced the patient’s hesitation, demonstrating the need to educate those close to the patient. Clarifying misconceptions, reinforcing the importance of monitoring, and providing written instructions can improve engagement and long-term adherence. Despite the challenges of repeating information, it remains vital to continue following these patients closely, ensuring they understand that AMD progression is gradual but persistent, and proactive care can help preserve functional vision.
Summary/Clinical Take-Home
This case underscores the challenges in educating patients about GA, particularly in those who fear medical interventions due to prior negative experiences. While clinical evidence strongly supports early intervention to slow disease progression, psychological and social factors play a pivotal role in treatment adherence.
For such patients, education must go beyond technical explanations, focusing on:
- Addressing fears associated with previous treatments.
- Providing reassurance about the goals of GA management.
- Emphasizing preservation of function rather than restoration of vision.
- Navigating family and household influences in treatment decision-making.
- Continuously reinforcing key information, even when patients forget or hesitate.
- Engaging caregivers and family members to build a support system for treatment adherence.
Continuous patient-centered discussions, caregiver involvement, and proactive reassurance may improve treatment adherence while ensuring informed decision-making about GA management.
ABOUT THIS SERIES
Newly available treatment options for geographic atrophy (GA) have the potential to change the prognosis for long-term eye health. However, their newness also raises important practical questions, including about who should be referred and when. The Geographic Atrophy Clinical Case Compendium was developed, with guidance from Carolyn E. Majcher, OD, FAAO, FORS, and Julie Rodman, OD, MSc, FAAO, to demonstrate real-world patient encounters and the impact of treatment on the clinical course.
Ready to Claim Your Credits?
You have attempts to pass this post-test. Take your time and review carefully before submitting.
Good luck!
Recommended
- Geographic Atrophy Case Compendium
GA Case Compendium: Collaborative Care to Improve Patient Adherence to Therapy
Damon Dierker, OD, FAAODamon Dierker, OD, FAAO - Geographic Atrophy Case Compendium
GA Case Compendium: Rapid Loss of Vision Associated With Geographic Atrophy
Mary Beth Yackey, ODMary Beth Yackey, OD - Geographic Atrophy Case Compendium
GA Case Compendium: Simultaneous Development of Geographic Atrophy and Wet AMD in a Patient Lost to Follow-up
Roya Attar, OD, MBA, DHARoya Attar, OD, MBA, DHA







