Editorially independent content, supported with advertising by Astellas
Clinical Case Compendium: A Journey Through Detection, Treatment Initiation, and 2 Years of Active Complement Inhibition
This Case Report is Interactive!
Strengthen your understanding of geographic atrophy by answering the challenge questions below.
Case Presentation
I first saw patient, JT, a then 68-year-old white female, after she had cataract surgery in 2019. She arrived for a 1-month postoperative visit, during which she was found to have 20/20 UCVA, but during her dilated fundus examination, something unexpected was found. I noted she exhibited presence of diffuse, but subtle, small-to-medium sized drusen deposits along with pigmentary changes (Figure 1). Immediately there was a concern for age-related macular degeneration (AMD), although the patient had not been previously diagnosed.

Additional imaging was obtained that confirmed the presence of drusen in the context of an AMD diagnosis. Notably, the patient had a phenotype of drusen called reticular pseudodrusen (RPD). RPD are known to carry an increased risk for development of advanced AMD, particularly the development of geographic atrophy (GA). All AMD precautions, lifestyle, nutritional, and vitamin recommendations were discussed. It was suggested the patient be monitored at 6-month intervals.
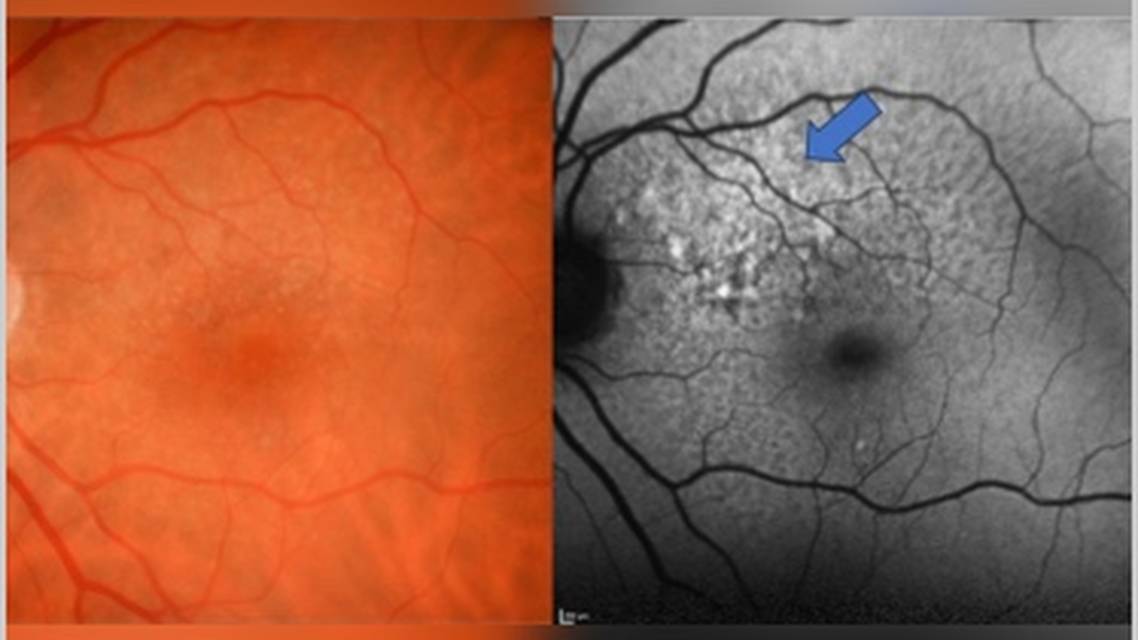
The patient went on to see other providers, and not long after in 2020, the OS began to develop small multifocal patches of GA. Despite JT’s diligence in following all recommendations, these patches increased in size and number over the years. By 2023, she had a large patch of coalesced GA superior nasal to her fovea, big enough to create a noticeable scotoma in her vision (Figure 2).

From 2020 to 2023, while treatment for GA did not exist, the patient was educated regarding the presence of her quickly progressive GA and the possibility of treatment in the near future. When intravitreal complement inhibition was FDA approved in 2023, the patient was sent back to me, this time for me to see her at our retina specialty clinic, Charles Retina Institute. This visit was specifically made to discuss initiation of treatment to slow down her GA, and the patient was well educated and prepared to have the conversation. Being familiar with JT’s case, knowing her GA had progressed quickly in the last 3 years, and observing high-risk characteristics such as RPD and hyperautofluorescence surrounding her GA on fundus autofluorescence (FAF) (Figure 3), I believed she was a strong candidate for complement inhibition. We discussed pros and cons of treatment including the increased risk to develop macular neovascularization (MNV). The patient elected to pursue treatment, and she received her first injection of complement inhibition in May 2023.

The following month, after a single injection for GA, the patient returned for a follow up, and OCT revealed the patient had developed MNV (Figure 4). This finding was discussed with the patient, and the decision was made to now treat with anti-VEGF to decrease MNV activity. The patient did well with two monthly anti-VEGF injections and her OCT demonstrated significant anatomical improvement (Figure 5). The decision was next made to resume complement inhibition treatment, alternating injections with anti-VEGF when needed.


The patient has been undergoing treatment for both GA and exudative AMD in her left eye for 2 years now. The OS has had a total of 10 injections of complement inhibition and 11 injections of anti-VEGF. She has been seen essentially every month in our clinic since she began treatment. And this is just the treatment burden for her OS! The OD is also receiving injections of complement inhibition without development of MNV. The patient continues to have GA progression, but notably a slowing of disease progress can be seen when compared to pretreatment imaging (Figure 6). While it is impossible to know where an individual patient’s natural history would take them, experience suggests the extent of her disease would be much greater at this time without treatment.

Summary/Clinical Take-Home
The patient is now only 73 years old, truly in the younger spectrum for our GA patients. The future remains uncertain. Will she ultimately have a functional loss that prohibits her from activities such as driving? I don’t know for sure, but at this time, we are slowing the disease and buying as much time as possible with functional central vision. We now have 2 years of real-world experience with complement inhibition. We have walked alongside our patients in their GA journeys, counseling them regarding their options, respecting their decisions, and either observing the natural course of the disease, or fighting to shift that course with treatment. While the journey is not an easy one, it has certainly been rewarding for many to be able to combat the disease and slow its progression.
For Additional Information:
1. Fleckenstein M, Mitchell P, Freund KB, et al. The progression of geographic atrophy secondary to age-related macular degeneration. Ophthalmology. 2018;125:369-390.
2. Flores R, Carneiro Â, Tenreiro S, Seabra MC. Retinal progression biomarkers of early and intermediate age-related macular degeneration. Life. 2021;12(1):36.
3. Khanani AM, Patel SS, Staurenghi G, et al. Efficacy and safety of avacincaptad pegol in patients with geographic atrophy (GATHER2): 12-month results from a randomised, double-masked, phase 3 trial. Lancet (London, England). 2023;402(10411):1449-1458.
ABOUT THIS SERIES
Newly available treatment options for geographic atrophy (GA) have the potential to change the prognosis for long-term eye health. However, their newness also raises important practical questions, including about who should be referred and when. The Geographic Atrophy Clinical Case Compendium was developed, with guidance from Carolyn E. Majcher, OD, FAAO, FORS, and Julie Rodman, OD, MSc, FAAO, to demonstrate real-world patient encounters and the impact of treatment on the clinical course.
Ready to Claim Your Credits?
You have attempts to pass this post-test. Take your time and review carefully before submitting.
Good luck!
Recommended
- Geographic Atrophy Case Compendium
GA Case Compendium: Challenges in Patient Education and Treatment Decision-Making for Geographic Atrophy
Roya Attar, OD, MBA, DHARoya Attar, OD, MBA, DHA - Geographic Atrophy Case Compendium
GA Case Compendium: Rapid Loss of Vision Associated With Geographic Atrophy
Mary Beth Yackey, ODMary Beth Yackey, OD - Geographic Atrophy Case Compendium
GA Case Compendium: Simultaneous Development of Geographic Atrophy and Wet AMD in a Patient Lost to Follow-up
Roya Attar, OD, MBA, DHARoya Attar, OD, MBA, DHA







