Geographic Atrophy Case Compendium
Newly available treatment options for geographic atrophy (GA) have the potential to change the prognosis for long-term eye health. However, their newness also raises important practical questions, including about who should be referred and when. The Geographic Atrophy Clinical Case Compendium was developed, with guidance from Carolyn E. Majcher, OD, FAAO, FORS, and Julie Rodman, OD, MSc, FAAO, to demonstrate real-world patient encounters and the impact of treatment on the clinical course.
Articles 1-10 of 10
- Geographic Atrophy Case Compendium
GA Case Compendium: Challenges in Patient Education and Treatment Decision-Making for Geographic Atrophy
Roya Attar, OD, MBA, DHARoya Attar, OD, MBA, DHA - Geographic Atrophy Case Compendium
GA Case Compendium: Collaborative Care to Improve Patient Adherence to Therapy
Damon Dierker, OD, FAAODamon Dierker, OD, FAAO - Geographic Atrophy Case Compendium
Clinical Case Compendium: Setting Expectations and Patient Education in Geographic Atrophy Management
Steven Ferrucci, OD, FAAOSteven Ferrucci, OD, FAAO - Geographic Atrophy Case Compendium
Clinical Case Compendium: A Journey Through Detection, Treatment Initiation, and 2 Years of Active Complement Inhibition
Jessica Haynes, OD, FAAOJessica Haynes, OD, FAAO - Geographic Atrophy Case Compendium
GA Case Compendium: Rapid Loss of Vision Associated With Geographic Atrophy
Mary Beth Yackey, ODMary Beth Yackey, OD - Geographic Atrophy Case Compendium
GA Case Compendium: Simultaneous Development of Geographic Atrophy and Wet AMD in a Patient Lost to Follow-up
Roya Attar, OD, MBA, DHARoya Attar, OD, MBA, DHA - Geographic Atrophy Case Compendium
GA Case Compendium: Image Findings Suggesting Risk of Geographic Atrophy Progression
Julie Rodman, OD, MSc, FAAO, FORSJulie Rodman, OD, MSc, FAAO, FORS - Geographic Atrophy Case Compendium
GA Case Compendium: The Optometrist as Advocate for the Patient with Geographic Atrophy
Damon Dierker, OD, FAAODamon Dierker, OD, FAAO - Geographic Atrophy Case Compendium
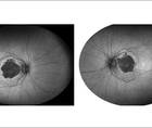
GA Case Compendium: Identifying High-Risk Biomarkers for Geographic Atrophy Development and Multimodal Imaging Strategies for Early Detection
Carolyn Majcher, OD, FAAO, FORSCarolyn Majcher, OD, FAAO, FORS - Geographic Atrophy Case Compendium
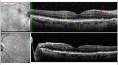
GA Case Compendium: Multimodal Imaging for Following Geographic Atrophy Over Time
Julie Rodman, OD, MSc, FAAO, FORSJulie Rodman, OD, MSc, FAAO, FORS 




















